Найти в Дзене

Тотальная работа на диоксиде циркония, этапность и изменения в конструкции

Как и обещали, попробуем описать выполнение работы с точки зрения техника, может быть, это будет слишком сложно, но, возможно будет интересно Начальный алгоритм работы при работе на имплантатах: 1) Снятие слепков 2) Подготовка индивидуальной ложки и трансфер-чеков 3) Дополнительное снятие слепков 4) Подготовка прототипа работы, и это обязательно, если нужна работа представляющая интересы Пациента и правильное решение его клинической ситуации, ведь на всех этапах выполняемой работы могут случиться малейшие неточности. Несколько видео для наглядности:
Этап 1 после примерки
Этап 2 после примерки
Этап 3 после примерки
Этап 4 после примерки Итоговый результат:

Как и обещали, попробуем описать выполнение работы с точки зрения техника, может быть, это будет слишком сложно, но, возможно будет интересно

Начальный алгоритм работы при работе на имплантатах:

1) Снятие слепков

2) Подготовка индивидуальной ложки и трансфер-чеков

3) Дополнительное снятие слепков

4) Подготовка прототипа работы, и это обязательно, если нужна работа представляющая интересы Пациента и правильное решение его клинической ситуации, ведь на всех этапах выполняемой работы могут случиться малейшие неточности.

Первоначальный прототип (снизу) и итоговый (сверху)
Первоначальный прототип (снизу) и итоговый (сверху)

Несколько видео для наглядности:
Этап 1 после примерки
Этап 2 после примерки
Этап 3 после примерки
Этап 4 после примерки

Итоговый результат:

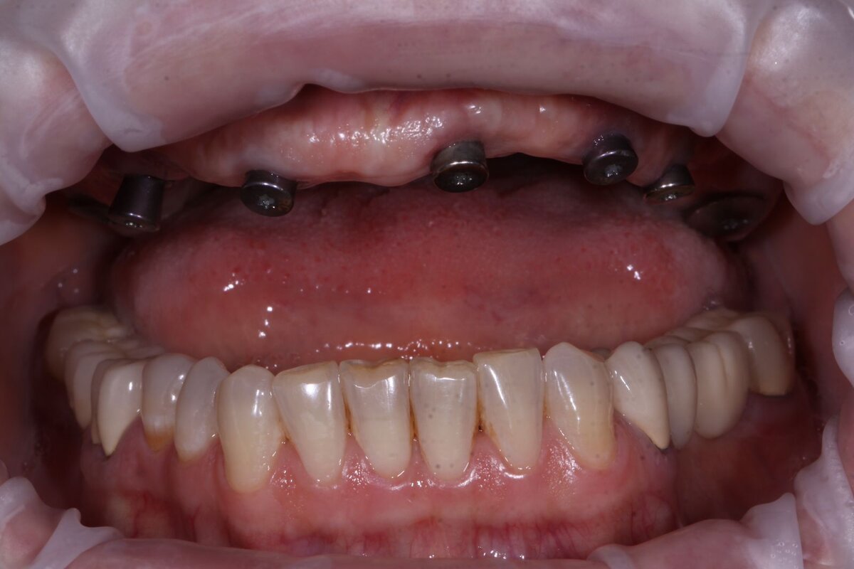
"От" Полость рта с имплантатами
"От" Полость рта с имплантатами
"После" Полость рта с готовой конструкцией
"После" Полость рта с готовой конструкцией
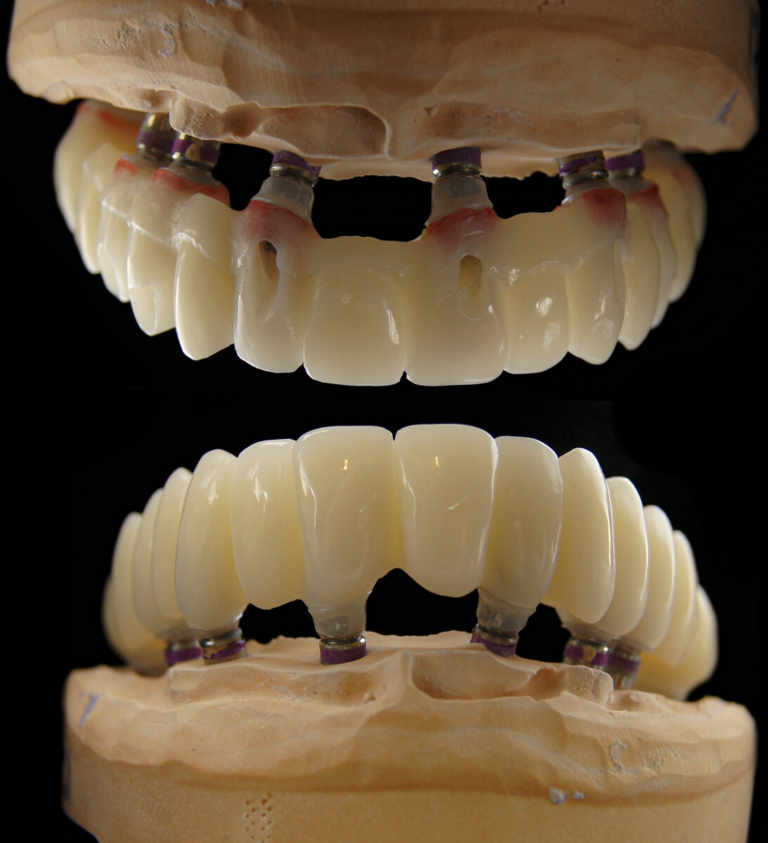
Готовая зуботехническая работа
Готовая зуботехническая работа