Добавить в корзинуПозвонить
Найти в Дзене
SberMedAI

Как нейросети помогают обнаружить и лечить рак

Высокий уровень рецидивов и смертности от рака сочетается с длительным и дорогостоящим лечением. Снижение эффективности медицинской помощи на поздних стадиях заставляет исследователей и врачей искать новые способы раннего обнаружения опухолей. Искусственный интеллект (ИИ) расширяет клинические возможности в диагностике и терапии злокачественных новообразований. Искусственный интеллект в онкологии Технологии улучшают лечебно-диагностический процесс в онкологии на всех этапах: Благодаря искусственному интеллекту помощь при раке становится более персонализированной. Дифференциальная диагностика опухоли, вероятностная оценка исходов, прогнозирование ответа на терапию — возможности для индивидуального подхода к пациенту. Улучшение скрининга и диагностики рака Методы ИИ способны «увидеть» новообразование на медицинских изображениях и дать ему оценку: В процессе обработки алгоритм проводит сегментацию изображения с выделением подозрительных зон. Данные с них попадают в цепочку классификаций.
Оглавление

Высокий уровень рецидивов и смертности от рака сочетается с длительным и дорогостоящим лечением. Снижение эффективности медицинской помощи на поздних стадиях заставляет исследователей и врачей искать новые способы раннего обнаружения опухолей. Искусственный интеллект (ИИ) расширяет клинические возможности в диагностике и терапии злокачественных новообразований.

Искусственный интеллект в онкологии

Технологии улучшают лечебно-диагностический процесс в онкологии на всех этапах:

  • Организация диагностики. ИИ повышает пропускную способность инструментальных методов исследования за счёт ускоренной вычислительной обработки. Также искусственный интеллект помогает получить диагностический снимок более высокого качества.
  • Скрининг и оценка опухоли. Алгоритмы позволяют точно оценивать объём и структуру опухоли, анатомическое взаимоотношение с другими тканями, отслеживать множественные поражения. ИИ развивает диагностику в направлении неинвазивных методов: обследование пациента проводится без нарушения целостности тканей организма.
  • Стратификация риска. Нейронная сеть на основе клинических данных (анамнез, диагностические снимки, патогистологические заключения, информация о биомаркерах) определяет уровень риска для опухоли, а также вероятность её дальнейшего прогрессирования.
  • Прогноз и планирование терапии. На основе данных инструментальных исследований проводится оценка выживаемости пациента. С помощью медицинской визуализации алгоритмы предсказывают возможный ответ на иммунотерапию. ИИ способен с высокой точностью оценить остаточную опухоль ещё до проведения операции.

Благодаря искусственному интеллекту помощь при раке становится более персонализированной. Дифференциальная диагностика опухоли, вероятностная оценка исходов, прогнозирование ответа на терапию — возможности для индивидуального подхода к пациенту.

Улучшение скрининга и диагностики рака

Методы ИИ способны «увидеть» новообразование на медицинских изображениях и дать ему оценку:

  • Для обучения используются базы данных с диагностическими снимками.
  • Машинное обучение позволяет классифицировать опухоль на основе заранее заданных функций. Исследователь вводит характеристики новообразования: объём, форма, расположение.
  • Глубокое обучение является более продвинутой ветвью ИИ. Оно не требует большого количества входных характеристик, а также способно автоматически обучаться по мере решения новых задач.

В процессе обработки алгоритм проводит сегментацию изображения с выделением подозрительных зон. Данные с них попадают в цепочку классификаций. Сначала определяется возможная злокачественность опухоли в выделенной области. Затем ей присваивается стадия в соответствии с общепринятыми шкалами.

Искусственный интеллект в цифровой патологии: как технологии обнаруживают рак по биопсии

У многих мужчин в мире чаще всего диагностируется рак предстательной железы. Для верификации диагноза проводится биопсия под контролем ультразвукового исследования. После процедуры пациенты могут сталкиваться с болью, лихорадкой, кровотечениями. При этом метод может показать отрицательный результат, а вероятность наличия злокачественной опухоли сохраняется.

Клиницистам важно повысить информативность уже первой биопсии. Это поможет избежать повторения болезненной процедуры в будущем и не упустить ценное время.

В медицинском журнале The Lancet опубликован совместный научный проект учёных из Швеции, Финляндии, Новой Зеландии и Великобритании. Сложность выявления рака предстательной железы заставила исследователей искать новые подходы к его диагностике. На помощь пришли передовые технологии: нейронные сети обнаруживают и оценивают заболевание по данным биопсии.

Для обучения алгоритмов использовались более 6 тысяч оцифрованных биоптатов. Решения ИИ сравнивались с оценками специалистов в урологии и патологической анатомии. Нейронная сеть сумела с точностью классификации AUC > 0.9, сравнимой с экспертной, различить доброкачественные и злокачественные образцы. ИИ также спрогнозировал исход заболевания, оценив степень злокачественности по шкале Глисона.

Платформа Galen от Ibex Medical Analytics стала первым программным обеспечением для диагностики рака простаты по биопсии, которое используется в клинических условиях в Великобритании, сообщает BBC. ИИ уже помог 105 мужчинам, поставив каждому правильный диагноз.

Алгоритм позволяет:

  • автоматизировать ручную проверку;
  • сократить продолжительность исследования с часа до нескольких минут;
  • точно определить наличие патологии, что особенно важно в связи со сложностью забора материала.

Разработчики планируют продолжить клинические исследования, чтобы расширить применение ИИ. Возможности технологий используют и для диагностики рака молочной железы.

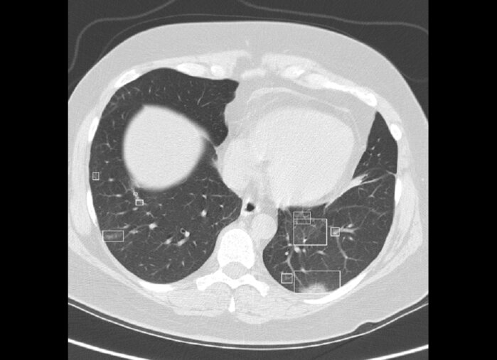
«Второе зрение»: нейросеть обучена выявлять рак легких по томографическим снимкам

По данным ВОЗ, в 2020 году среди онкологических заболеваний рак лёгких стал самой частой причиной смерти: от заболевания умерли около 1,8 миллиона человек. В большинстве стран только около 10-20% людей живёт не менее пяти лет после постановки диагноза. Выявление болезни на поздней стадии снижает эффективность лечения.

ИИ может изменить ход событий в пользу пациента, выявляя даже небольшие злокачественные образования.

Исследователи из Google AI, Северо-Западного университета в Чикаго и других организаций разработали нейросеть, способную обнаружить рак лёгких по томографическим снимкам, сообщает Nature. Алгоритм даёт шанс пациентам на своевременное лечение, выявляя опухоль на ранних стадиях.

За счёт глубокого обучения ИИ становится всё более опытным помощником с каждым новым снимком, достигая высокой точности решений. Учёные продемонстрировали это, опубликовав свои результаты в Nature Medicine в 2019 году. Нейронная сеть поставила верный диагноз в 94% случаев, опередив группу из 6 врачей-рентгенологов.

Диагностика рака лёгких по данным компьютерной томографии улучшается благодаря опциям КТ Легких от российской команды СберМедИИ. Сервис использует искусственный интеллект для обработки КТ-снимков, которые были собраны во время пандемии COVID-19. Таким образом, ретроспективный анализ позволяет медицинским учреждениям провести массовый скрининг населения по уже имеющимся архивам КТ исследований:

  • алгоритмы автоматически распознают мелкие узловые новообразования в лёгочной ткани;
  • если они превышают минимальное пороговое значение в 4 мм, ИИ выделяет их;
  • рентгенолог обращает внимание на подсвеченные участки и учитывает их при постановке диагноза.

Сервис КТ Легких автоматизирует визуальный поиск патологических зон. Это помогает врачам оперативно и точно выявить лёгочные новообразования.

Точность решений нейросети и рентгенологов

-2

Благодаря совершенствованию архитектуры алгоритмов и использованию больших обучающих данных, искусственный интеллект становится высокотехнологичным «коллегой» для врача.

Эту тенденцию подтвердило международное исследование, проведённое в 2019 году. Учёные из Нидерландов, Швеции, Великобритании сравнили точность решений ИИ и специалистов в лучевой диагностике.

Методика исследования представлена в публикации Journal of the National Cancer Institute:

  • выбраны снимки маммографии — важного метода скрининговой диагностики образований в молочной железе;
  • нейросеть была обучена на обширной базе данных: более 9000 мамограмм с патологией и 180 000 маммограмм с нормальной тканью;
  • решения искусственного интеллекта оценивались для 2 652 случаев;
  • одновременно снимки интерпретировал 101 рентгенолог.

Точность классификации AUC нейронной сети составила 0,840. Производительность ИИ не уступает специалистам: у них среднее значение AUC равно 0,814. Результаты искусственного интеллекта в диагностике рака молочной железы оказались выше, чем у 61,4% рентгенологов.

Как искусственный интеллект определяет опухоль по клинической фотографии

Злокачественное новообразование кожи — меланома — успешно лечится на ранних стадиях. Для этого применяют локальное хирургическое удаление опухоли. Но если меланому не выявить вовремя, она способна глубже проникнуть в ткани. Это существенно повышает вероятность метастазирования и ухудшает прогноз.

В случае самообследования кожи человек склонен недооценивать возможное заболевание или, наоборот, реагировать слишком остро. Информативность специализированного метода, дерматоскопии, зависит от опыта специалиста, кроме того, осмотры нужно проводить регулярно.

Помощь в диагностике рака кожи оказывают передовые технологии. Учёные из Китая и Великобритании разработали ИИ, способный с высокой точностью выявить меланому на дерматоскопических изображениях. Улучшить существующие в онкологии методы распознавания новообразований кожи позволили:

  • расширенный набор данных;
  • предварительная обработка изображения;
  • алгоритмы глубокого обучения.

Разработанная нейросеть значительно упростила процесс технической подготовки: алгоритму требуется меньшее количество входных параметров. В ходе обработки изображения проводится его сегментация. При этом ИИ выделяет подозрительную область и оценивает каждый её пиксель.

Результаты исследования позволяют вывести заболевание «из тени». Автоматическое распознавание с ИИ эффективно даже в сложных случаях, когда фотографии содержат посторонние объекты (например, густые волосы) или отличаются недостаточной контрастностью.

А как сами пациенты относятся к оценке кожных заболеваний с помощью ИИ? Чтобы найти ответ, исследователи из Германии разослали анонимные анкеты в университетские больницы и группы поддержки пациентов с меланомой. В них учёные попросили оценить применение алгоритмов для диагностики. В опросе участвовали 298 человек: 154 с диагнозом меланома и 143 без.

В поддержку искусственного интеллекта для раннего выявления даже дома высказались 54% пациентов. Большинство из них составили респонденты с меланомой. 41% пациентов отметили, что хотели бы получить диагностическую оценку как со стороны врача, так и со стороны ИИ.

Помощь ИИ в прогнозировании рака

Учёные из Бостона использовали систему prissmm для прогнозирования выживаемости у пациентов с раком лёгких. Исследование, опубликованное в научном журнале JAMA Оncology, сосредоточилось на заключениях рентгенологических исследований. Сложить «элементы пазла» помогла обработка естественного языка. С её помощью ИИ учится распознавать письменную и устную речь человека и на её основе принимать решения.

Искусственный интеллект и эксперты аннотировали более 14 000 исследований для 1 112 пациентов. Оценивались следующие параметры:

  • наличие активного рака;
  • ухудшение состояния или прогрессирование заболевания;
  • улучшение состояния или ответ на терапию;
  • наличие внелегочных метастазов.

ИИ обучили искать в отчётах слова-помощники. Подсказку для прогноза давали такие слова, как «опухоль», «уменьшение», «метастатический». Средняя точность классификации исходов для модели составила более 90%. При этом ИИ и специалисты дали сходную оценку выживаемости в каждом случае.

Учёные отмечают, что применение нейронных сетей значительно ускорило процесс. Если врач просматривал рентгенологические отчёты не более чем у 3 пациентов в час, то ИИ аннотировал все записи за 10 минут.

Благодаря искусственному интеллекту диагностика даёт клиницистам всё больше ответов. Алгоритмы не только обнаруживают заболевания, но и предсказывают их возможный исход. ИИ позволяет заглянуть в будущее и увидеть там тревожные сигналы, чтобы пересмотреть врачебную тактику в настоящий момент.