Добавить в корзинуПозвонить
Найти в Дзене

Врачи ФМБА России спасли жизнь пациенту с осколочным ранением - Таврия ТВ - Херсон

Врачи Федерального медико-биологического агентства России оказали помощь мужчине с осколочным ранением из Великой Лепетихи. Об этом сообщила пресс-служба Минздрава Херсонской области. Бригада скорой медицинской помощи Херсонской области доставила в Нижнесерогозскую ЦРБ мужчину с осколочным ранением из Великой Лепетихи. Пациент пострадал в своем собственном дворе во время обстрела со стороны киевского режима. «Мужчина был доставлен в медучреждение в состоянии средней степени тяжести. Мы осмотрели пациента в нашем передвижном мобильном флюорографе и обнаружили осколок», — рассказал руководитель сводного мобильного медицинского отряда ФМБА России Александр Бойков. Врачи сводного отряда незамедлительно провели оперативное вмешательство и удалили осколки. «Операция прошла успешно. Пациент чувствует себя хорошо и идет на поправку», — добавил Александр Бойков. Напомним, с момента начала ликвидации последствий ЧС в Херсонской области работают 40 специалистов ФМБА, из которых 19 врачей. ]]>

Врачи Федерального медико-биологического агентства России оказали помощь мужчине с осколочным ранением из Великой Лепетихи. Об этом сообщила пресс-служба Минздрава Херсонской области.

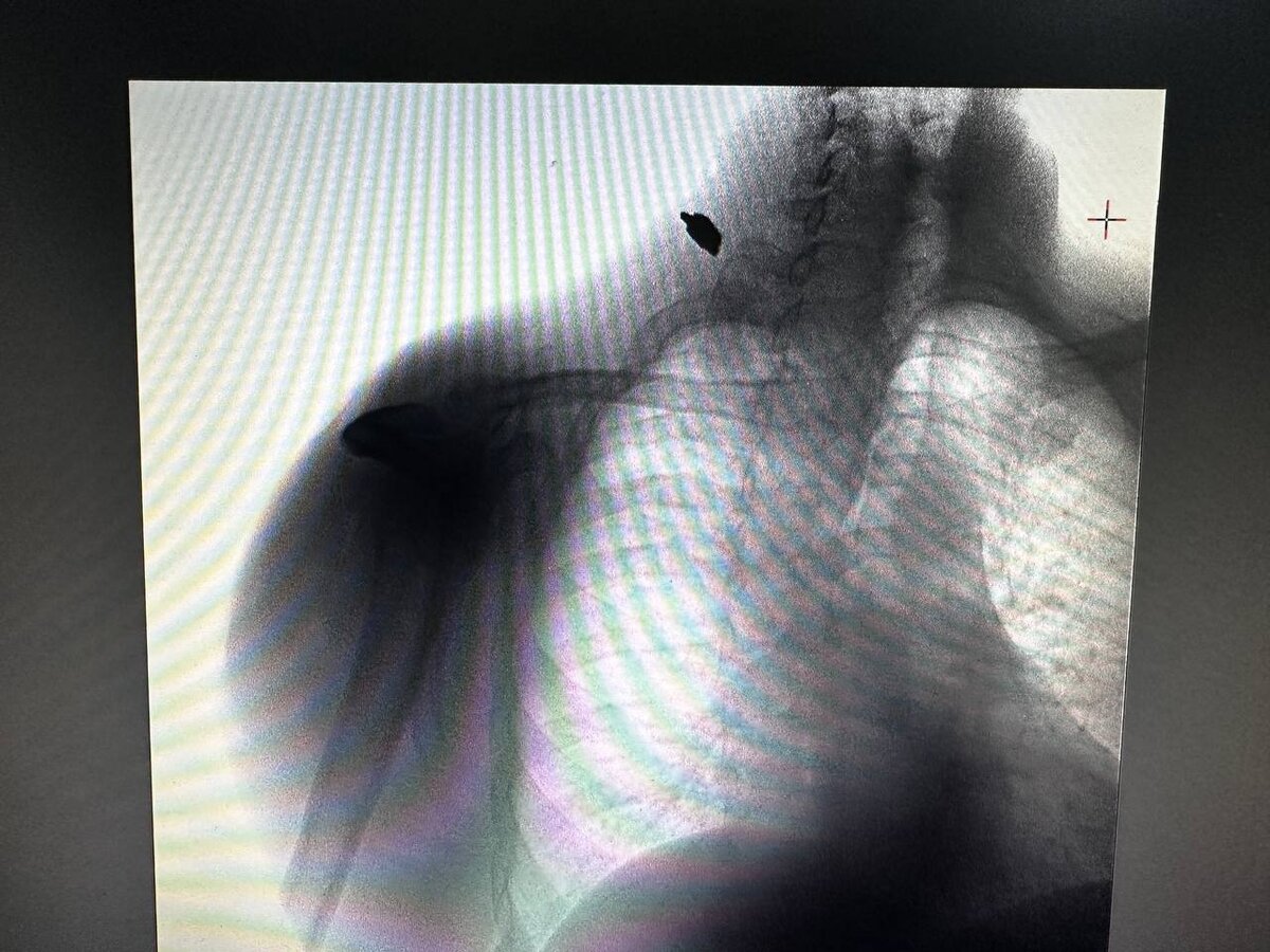
Бригада скорой медицинской помощи Херсонской области доставила в Нижнесерогозскую ЦРБ мужчину с осколочным ранением из Великой Лепетихи. Пациент пострадал в своем собственном дворе во время обстрела со стороны киевского режима.

«Мужчина был доставлен в медучреждение в состоянии средней степени тяжести. Мы осмотрели пациента в нашем передвижном мобильном флюорографе и обнаружили осколок», — рассказал руководитель сводного мобильного медицинского отряда ФМБА России Александр Бойков.

Врачи сводного отряда незамедлительно провели оперативное вмешательство и удалили осколки.

«Операция прошла успешно. Пациент чувствует себя хорошо и идет на поправку», — добавил Александр Бойков.

Напомним, с момента начала ликвидации последствий ЧС в Херсонской области работают 40 специалистов ФМБА, из которых 19 врачей.

 Врачи ФМБА России спасли жизнь пациенту с осколочным ранением - Таврия ТВ - Херсон
Врачи ФМБА России спасли жизнь пациенту с осколочным ранением - Таврия ТВ - Херсон

]]>