Найти в Дзене

Осознанное решение на пути к здоровью и красоте

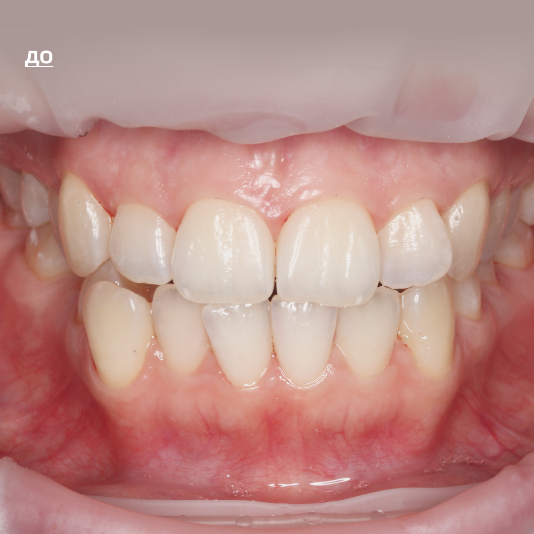
Ровная улыбка, правильный прикус и эстетика — так звучал комплексный запрос пациентки, которая обратилась в клинику Киостом. На первой консультации врач-ортодонт Нина Сергеевна Кавунова составила план лечения, определила стратегию — решено было двигаться к цели с помощью современной брекет-системы.
На момент обращения в клинику пациентке был 31 год. Ортодонтическая коррекция заняла 1,5 года: все это время врач постоянно был на связи, на промежуточных приемах брекет-систему корректировали в зависимости от текущих задач и стремились к главной цели. Итог оцените сами! Ровная здоровая улыбка, правильный прикус и восстановленная функциональность зубного ряда, а ещё — органичная эстетика и красота.
Если вы давно мечтаете о красивой ровной улыбке — пора трансформировать мечту в действие! Ждем вас в Киостом, а записываем на приём:
— по телефону (846) 211-07-56;
— на сайте https://kiostom.ru;
— через личные сообщения.
Ждем вас на ул. Тухачевского, 88.


Ровная улыбка, правильный прикус и эстетика — так звучал комплексный запрос пациентки, которая обратилась в клинику Киостом. На первой консультации врач-ортодонт Нина Сергеевна Кавунова составила план лечения, определила стратегию — решено было двигаться к цели с помощью современной брекет-системы.

На момент обращения в клинику пациентке был 31 год. Ортодонтическая коррекция заняла 1,5 года: все это время врач постоянно был на связи, на промежуточных приемах брекет-систему корректировали в зависимости от текущих задач и стремились к главной цели. Итог оцените сами! Ровная здоровая улыбка, правильный прикус и восстановленная функциональность зубного ряда, а ещё — органичная эстетика и красота.

Если вы давно мечтаете о красивой ровной улыбке — пора трансформировать мечту в действие! Ждем вас в Киостом, а записываем на приём:
— по телефону (846) 211-07-56;
— на сайте
https://kiostom.ru;
— через личные сообщения.

Ждем вас на ул. Тухачевского, 88.

-2

-3
-4