Добавить в корзинуПозвонить
Найти в Дзене
Стоматология DENTA

Чем дольше ждешь, тем глубже сверлить!

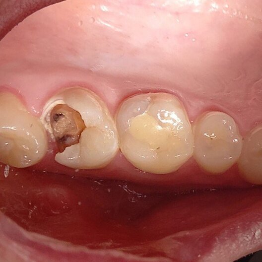
Пульпит - это воспалительное заболевание зубной пульпы, которая является внутренней частью зуба и содержит нервы и сосуды. Пульпит обычно возникает как результат проникновения бактерий внутрь зуба через кариозные полости или повреждения зубной эмали.
Симптомы пульпита включают болевые ощущения при приеме холодных или горячих продуктов, постоянную боль в зубе, усиливающуюся при жевании, и чувствительность к сладкому или кислому.
Лечение пульпита обычно включает следующие этапы:
1. Анестезия: Чтобы обеспечить комфорт и обезболить зуб и окружающие ткани, врач применяет анестезию.
2. Удаление пораженной пульпы: Врач делает доступ к зараженной пульпе путем удаления зубной коронки или создания отверстия в зубе. Затем он удаляет пораженную пульпу, освобождая зуб от инфекции.
3. Очистка корневых каналов: После удаления пораженной пульпы, врач чистит и удаляет инфицированные ткани из корневых каналов зуба. Затем он расширяет каналы и подготавливает их для заполнения.
4. Заполнение корневы

Пульпит - это воспалительное заболевание зубной пульпы, которая является внутренней частью зуба и содержит нервы и сосуды. Пульпит обычно возникает как результат проникновения бактерий внутрь зуба через кариозные полости или повреждения зубной эмали.

Симптомы пульпита включают болевые ощущения при приеме холодных или горячих продуктов, постоянную боль в зубе, усиливающуюся при жевании, и чувствительность к сладкому или кислому.

Лечение пульпита обычно включает следующие этапы:

1. Анестезия: Чтобы обеспечить комфорт и обезболить зуб и окружающие ткани, врач применяет анестезию.

2. Удаление пораженной пульпы: Врач делает доступ к зараженной пульпе путем удаления зубной коронки или создания отверстия в зубе. Затем он удаляет пораженную пульпу, освобождая зуб от инфекции.

3. Очистка корневых каналов: После удаления пораженной пульпы, врач чистит и удаляет инфицированные ткани из корневых каналов зуба. Затем он расширяет каналы и подготавливает их для заполнения.

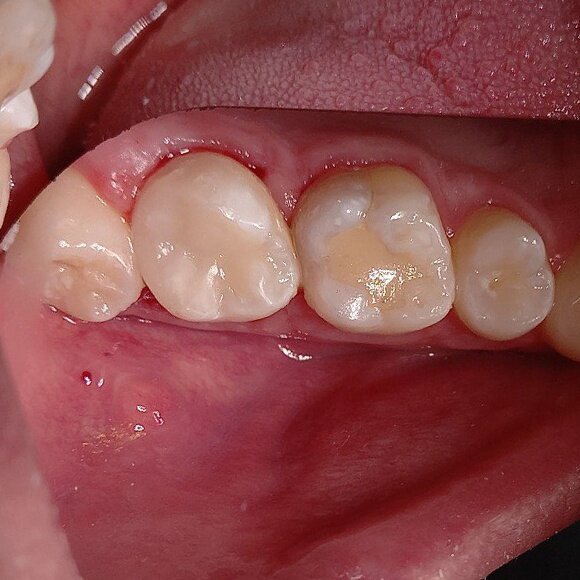
4. Заполнение корневых каналов: После очистки и подготовки каналов врач заполняет их специальным материалом, чтобы предотвратить реинфекцию.

5. Восстановление зуба: После лечения пульпита и заполнения корневых каналов необходимо восстановить структуру зуба. Для этого может потребоваться обработка коронки зуба с последующей установкой пломбы или коронки.

И всего вот этого пациент нашего врача-стоматолога Мартиросяна Мкртича Масисовича мог избежать, но увы. Впрочем, теперь его зуб стал ничуть не хуже прежнего. А может даже и лучше.

Есть противопоказания, требуется консультация специалиста.