Найти в Дзене
Men Today

Что будет, если не снимать контактные линзы 28 лет: реальная история

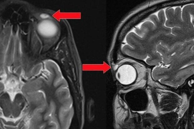
Врачи во время простой операции достали у пациентки из глаза деформированную линзу. Оказалось, посторонний предмет находился в органе зрения женщины с раннего детства. В Шотландии 42-летняя женщина обратилась к врачам небольшой деформации глаза. Специалисты решили, что у пациентки киста: визуально место повреждения выглядело как самое обычное вздутие. Но на операции врачи обнаружили в глазу женщины полупрозрачное тело, внешне напоминающее скорлупу. Оказалось, это была контактная линза. Только вот пациентка не пользовалась этим способом коррекции зрения уже больше 20 лет.. Позже женщина припомнила, что еще в детстве в самом деле была вынуждена прибегать к помощи линз. После того, как во время игры в бадминтон волан попал ей в глаз, вставленную в него линзу не могли найти. Тогда родители посчитали, что она просто вылетела и упала на траву, но… жутковатая правда заключалась в том, что долгие годы (почти 28 лет, если быть точным) линза продолжала находиться в глазу. Примечательно, что паци

Врачи во время простой операции достали у пациентки из глаза деформированную линзу. Оказалось, посторонний предмет находился в органе зрения женщины с раннего детства.

    Что будет, если не снимать контактные линзы 28 лет: реальная история
Что будет, если не снимать контактные линзы 28 лет: реальная история

В Шотландии 42-летняя женщина обратилась к врачам небольшой деформации глаза. Специалисты решили, что у пациентки киста: визуально место повреждения выглядело как самое обычное вздутие. Но на операции врачи обнаружили в глазу женщины полупрозрачное тело, внешне напоминающее скорлупу. Оказалось, это была контактная линза. Только вот пациентка не пользовалась этим способом коррекции зрения уже больше 20 лет..

Позже женщина припомнила, что еще в детстве в самом деле была вынуждена прибегать к помощи линз. После того, как во время игры в бадминтон волан попал ей в глаз, вставленную в него линзу не могли найти. Тогда родители посчитали, что она просто вылетела и упала на траву, но… жутковатая правда заключалась в том, что долгие годы (почти 28 лет, если быть точным) линза продолжала находиться в глазу.

Примечательно, что пациентка отделалась легким отеком, и когда тот спал — не ощущала ровным счетом никакого дискомфорта. Врачи не первый раз сталкиваются с тем, что контактные линзы или их фрагменты остаются внутри глазного яблока. Однако даже опытные офтальмологи признают, что и представить себе не могли человека, который проживет почти всю жизнь с куском инородного тела в зрительном органе, не подозревая об этом.