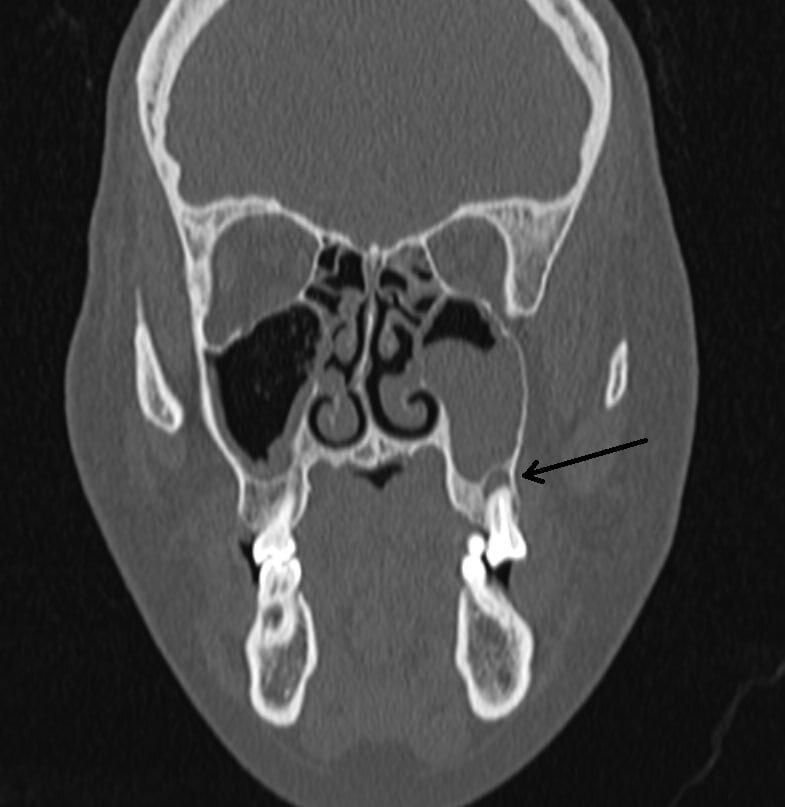
В кабинет компьютерной томографии медицинского центра "НовоМед" обратилась пациентка, 38 лет, жалуясь на постоянную заложенность носа в течение года. На МСКТ органов грудной клетки выявлена тотальная инфильтрация (воспаление) в левой верхнечелюстной пазухе, а также киста корня шестого зуба. Именно киста стала причиной постоянного воспаления пазухи (одонтогенного гайморита). В этот же день пациентку проконсультировал ЛОР-врач, который назначил соответствующее лечение. Для устранения первопричины данного состояния женщине рекомендована консультация стоматолога. Как зуб может быть связан с носом? Одонтогенный гайморит — воспаление гайморовых пазух, которое развивается от инфицированных зубов верхней челюсти. Проникновению инфекции также способствуют стоматологические манипуляции в области верхнечелюстных синусов — лечение и удаление зубов, имплантация и синус-лифтинг. Без выявления и устранения причины стандартное лечение у ЛОР врача в поликлинике не приносит результатов. Без должног
