Добавить в корзинуПозвонить
Найти в Дзене

Новое шокирующее исследование показало, что уколы мРНК Covid привели к повреждению сердца у десятков миллионов людей

По данным швейцарских врачей, бустер против Covid от компании Moderna вызвал у 1 из 35 человек повреждения сердца, выявляемые при анализе крови. Обратят ли на это внимание Центры по контролю за заболеваниями или американские исследователи?
Доза вакцины от Covid, разработанной компанией Moderna, повредила сердце примерно у 3% людей, получивших её, как выяснили швейцарские исследователи.
Вакцинированные люди не проявляли явных признаков повреждения сердца. Но когда через три дня после вакцинации исследователи провели анализ крови, то обнаружили у многих из них высокий уровень тропонина — белка, который сердце выделяет при повреждении.
«Субклиническое повреждение миокарда, связанное с вакцинацией мРНК, встречается гораздо чаще, чем предполагалось на основании пассивного наблюдения», — заключили исследователи. Работа была опубликована на прошлой неделе в рецензируемом журнале European Journal of Heart Failure.
Более 1 млрд. человек получили мРНК-вакцины. Исследование показывает, что де
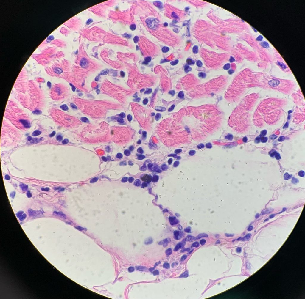
Небольшая площадь миокардита/перикардита. Розовая область — миокард, белая — эпикардиальный жир. Фиолетовые клетки – это лимфоцитарное воспаление.
Небольшая площадь миокардита/перикардита. Розовая область — миокард, белая — эпикардиальный жир. Фиолетовые клетки – это лимфоцитарное воспаление.

По данным швейцарских врачей, бустер против Covid от компании Moderna вызвал у 1 из 35 человек повреждения сердца, выявляемые при анализе крови. Обратят ли на это внимание Центры по контролю за заболеваниями или американские исследователи?

Доза вакцины от Covid, разработанной компанией Moderna, повредила сердце примерно у 3% людей, получивших её, как
выяснили швейцарские исследователи.

Вакцинированные люди не проявляли явных признаков повреждения сердца. Но когда через три дня после вакцинации исследователи провели анализ крови, то обнаружили у многих из них высокий уровень тропонина — белка, который сердце выделяет при повреждении.

«Субклиническое повреждение миокарда, связанное с вакцинацией мРНК, встречается гораздо чаще, чем предполагалось на основании пассивного наблюдения», — заключили исследователи. Работа была опубликована на прошлой неделе в рецензируемом журнале 
European Journal of Heart Failure.

Более 1 млрд. человек получили мРНК-вакцины. Исследование показывает, что десятки миллионов из них могли получить повреждения сердца и даже не подозревать об этом.

В период с декабря 2021 г. по февраль 2022 г. исследователи провели тестирование 777 сотрудников Университетской больницы Базеля,
одного из ведущих медицинских центров Швейцарии.

Сотрудникам уже были назначены бустеры мРНК, и через три дня им было предложено сдать анализ крови на уровень тропонина.

Другими словами,
исследователи проводили «активное наблюдение» за ними с целью отслеживания возможных побочных эффектов,в отличие от систем «пассивного наблюдения» за безопасностью вакцин, как, например, в федеральной системе VAERS,которые зависят от того, сообщают ли пациенты или врачи о проблемах.

Вакцинированные препаратом от Moderna были здоровой группой со средним возрастом 37 лет и небольшим количеством ранее существовавших проблем с сердцем. Около 70% составляли женщины.

Однако анализ крови, проведенный после вакцинации, показал, что у 40 человек, получивших вакцину, уровень тропонина был сильно повышен — выше 99-го процентиля для среднестатистических женщин и мужчин. Примерно в пять раз больше людей имели чрезвычайно высокий уровень тропонина, чем должно было бы быть в случайной выборке.

После того, как ученые исключили всех, у кого было правдоподобное объяснение, не связанное с применением укола, 22 человека, или 1 из 35 испытуемых, остались пострадавшими от укола Moderna.

Швейцарские учёные проводят исследования, которые не хотят проводить американские ученые.
Швейцарские учёные проводят исследования, которые не хотят проводить американские ученые.

В исследовании содержится ещё один поразительный вывод.

Исследователи сообщили, что 20 из пострадавших были женщинами и только двое — мужчинами. Даже с поправкой на то, что тестирование проходило большее число женщин, вероятность повышения тропонина у женщин была почти в пять раз выше.

Многие крупные исследования показали, что наибольшему риску развития миокардита и перикардита, или острого воспаления сердца, после уколов подвергаются молодые мужчины. Однако данное исследование позволяет предположить, что у женщин повреждения могут быть более тонкими.

В отличие от таких органов, как печень, сердце не способно регенерировать отмершую мышечную ткань. Поэтому даже незначительная травма сердца может повысить риск возникновения проблем спустя годы.

В 2016 г. в ходе долгосрочного
исследования было установлено, что у людей, у которых уровень тропонина со временем повышался, риск развития сердечной недостаточности и смерти был значительно выше.

Исследователи назвали эти повреждения «временными/преходящими».

Это мнение было несколько оптимистичным. Учёные провели только один повторный анализ на тропонин у пострадавших — через день после первого анализа. Второй анализ показал, что у многих из них, особенно у тех, у кого уровень тропонина в первом тесте был наиболее высоким, он снизился лишь незначительно.

Без дальнейших тестов никто не может быть уверен, что снижение продолжалось и как быстро — если это вообще произошло — уровень тропонина вернулся к норме.

Временные? Возможно...
Временные? Возможно...

В своём обсуждении исследователи отметили, что это третье — и самое крупное — исследование, в котором анализ крови проводился вскоре после вакцинации для изучения постмРНК-повреждения сердца. Два предыдущих исследования проводились в Израиле и Таиланде. Все три работы показали гораздо более высокую частоту повреждений по сравнению с системами «пассивного наблюдения» за безопасностью вакцин.

«Необходимы дополнительные исследования с активным наблюдением», — пишут они.

Но если судить по последним трём годам, в США такие исследования проводиться не будут.

Практически все важные результаты по безопасности мРНК были получены исследователями за пределами США, несмотря на то, что Moderna и Pfizer являются американскими компаниями, а в США было сделано гораздо больше уколов мРНК, чем где-либо ещё.

Когда речь заходит о безопасности мРНК, американские исследователи, похоже, решили, что то, чего они не знают, не может повредить их карьере.

По крайней мере, они не могут помешать остальному миру искать правду.



Первоисточник: alexberenson.substack.com

Источник перевода: newsstreet.ru

Больше интересных статей, которые я не успеваю переводить, но которые можно почитать через онлайн-перевод, можно найти здесь: t.me/murrrzio