Добавить в корзинуПозвонить
Найти в Дзене

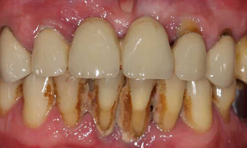
Гнилые зубы: чем опасны и как лечить?

Гнилые зубы – это состояние, при котором зубы поражены кариесом и претерпевают процесс разрушения. Кариес является хроническим инфекционным заболеванием зубов, вызванным бактериальной активностью и образованием кислот в результате взаимодействия бактерий с остатками пищи на поверхности зубов. Гниение зубов может иметь различные причины, включая неправильную гигиену полости рта, неправильное питание, недостаток минералов и фторида, генетическую предрасположенность, наблюдение более кислой окружающей среды во рту (например, из-за кислых продуктов или кислых напитков), а также отсутствие регулярных посещений стоматолога для профилактических осмотров. Гнилые зубы могут привести к различным проблемам, таким как зубная боль, чувствительность к горячему и холодному, снижение жевательной функции и эстетические проблемы. Если гнилые зубы не лечатся, они могут прогрессировать и привести к разрушению зуба, инфекции и даже потере зуба. Лечение гнилых зубов включает удаление пораженной ткани (чис
Оглавление

Гнилые зубы – это состояние, при котором зубы поражены кариесом и претерпевают процесс разрушения. Кариес является хроническим инфекционным заболеванием зубов, вызванным бактериальной активностью и образованием кислот в результате взаимодействия бактерий с остатками пищи на поверхности зубов.

Гниение зубов может иметь различные причины, включая неправильную гигиену полости рта, неправильное питание, недостаток минералов и фторида, генетическую предрасположенность, наблюдение более кислой окружающей среды во рту (например, из-за кислых продуктов или кислых напитков), а также отсутствие регулярных посещений стоматолога для профилактических осмотров.

Гнилые зубы могут привести к различным проблемам, таким как зубная боль, чувствительность к горячему и холодному, снижение жевательной функции и эстетические проблемы.

Если гнилые зубы не лечатся, они могут прогрессировать и привести к разрушению зуба, инфекции и даже потере зуба.

Лечение гнилых зубов включает удаление пораженной ткани (чистка кариозной полости) и замещение ее пломбировочным материалом. В некоторых случаях может потребоваться коронка или другие виды реставрации зубов для лечения гнилых зубов.

-2

Чем опасны?

Гнилые зубы представляют определенные опасности для вашего здоровья. Вот некоторые из них:

  1. Болезнь десен: Кариес может привести к развитию воспаления десен, известного как гингивит. Если гингивит не лечится, он может прогрессировать до более серьезного состояния, известного как пародонтит, что может вызвать разрушение костей и тканей, окружающих зубы.
  2. Инфекции: Кариозные полости представляют собой пораженные бактериальной инфекцией области в зубе. Неслеченный кариес может привести к глубокому инфицированию зуба и даже распространению инфекции в соседние ткани и органы, такие как лицо, шея или синусы.
  3. Болезнь пищеварительной системы: Плохое жевание и зубные проблемы, связанные с гнилыми зубами, могут привести к неправильному перевариванию пищи. Это может вызвать проблемы с пищеварением, а также нутриентной недостаточностью.
  4. Отсутствие комфорта и эстетических проблем: Гнилые зубы могут вызывать болевые ощущения, чувствительность, неудобство при приеме пищи и улыбке. Они также могут негативно сказываться на вашей уверенности и самооценке из-за изменения внешнего вида зубов.

Поэтому важно заботиться о сохранности зубов.

-3

Симптомы

Гнилые зубы могут быть сопровождаемы следующими симптомами:

  • Боль и чувствительность: Гнилые зубы могут вызывать боль или неприятные ощущения при приеме пищи или при контакте с холодными или горячими напитками.
  • Отек и покраснение десен: При наличии гнилых зубов возможно наблюдение воспалений десен, которые могут быть отечными и покрасневшими.
  • Зубные проблемы: Гнилые зубы могут привести к ломкости и ослаблению зубов, а также к образованию трещин или дырок на их поверхности.
  • Плохой запах изо рта: Гнилые зубы могут вызывать неприятный запах изо рта, который может быть связан с активностью бактерий в полости рта.
  • Изменения во внешнем виде зубов: Гнилые зубы могут иметь вид темных пятен, дырок или полостей на поверхности зубов.

Если у вас есть подозрение на гнилые зубы или вы обнаружили указанные симптомы, рекомендуется обратиться к стоматологу для диагностики и лечения. Раннее обращение за помощью поможет предотвратить развитие более серьезных проблем и сохранить здоровье зубов.

-4

Как лечить?

Лечение гнилых зубов обычно включает следующие шаги:

  1. Удаление кариозной ткани: Стоматолог проводит процедуру удаления гнилой ткани из зуба, используя специальные инструменты, такие как бормашины или лазеры. Это позволяет очистить зуб и подготовить его для реставрации.
  2. Реставрация зуба: После удаления гнилой ткани, стоматолог может использовать различные методы для восстановления структуры и функции зуба. Включая пломбирование (наполнение полости пломбой), использование вкладок или коронок для восстановления поврежденной части зуба или, в более сложных случаях, может потребоваться удаление зуба или протезирование.
  3. Профилактические меры: После лечения гнилых зубов важно принимать меры для предотвращения дальнейшего развития кариеса и поддержания здоровья полости рта. Это может включать правильную гигиену полости рта, регулярное чистка зубов и использование зубной нити. Также рекомендуется регулярные посещения стоматолога для профилактических осмотров и чистки зубов.
Важно обратиться к стоматологу для оценки и лечения гнилых зубов, поскольку лечение может различаться в зависимости от степени повреждения зуба и других индивидуальных факторов.

Профилактика

Профилактика гнилых зубов играет важную роль в сохранении здоровья полости рта. Вот некоторые рекомендации по профилактике гнилых зубов:

  1. Регулярное чистка зубов: Правильная и регулярная чистка зубов помогает удалить бактерии, которые могут привести к кариесу. Рекомендуется чистить зубы два раза в день, после завтрака и перед сном, используя мягкую зубную щетку и флуоридсодержащую пасту.
  2. Использование зубной нити: Зубная нить позволяет очищать пространство между зубами, где щетка не может достичь. Это помогает удалить пищевые остатки и бактерии, которые могут привести к образованию кариозного зубного налета.
  3. Ограничение потребления сладких и кислых продуктов: Сахар и кислота в пище являются основными причинами развития кариеса. Ограничение потребления сладких и кислых продуктов, таких как сладости, газированные напитки и кислые фрукты, может снизить риск гнилых зубов.
  4. Регулярные посещения стоматолога: Рекомендуется регулярно посещать стоматолога для профилактических осмотров и чистки зубов. Стоматолог сможет выявить ранние признаки кариеса.

Наш сайт: https://clinica-dental.ru/

🏥 Москва, 1-й Тверской-Ямской пер. 16

📱по телефону: +7 (495) 324-49-29

📱What's App: Переходите