Найти в Дзене

Что лучше - виниры или отбеливание?

В эстетической стоматологии есть несколько методов, позволяющих изменить улыбку до неузнаваемости – и самые известные среди них это отбеливание и установка виниров. Но что лучше? Какой вариант выбрать, если вы решили получить улыбку своей мечты? Об особенностях, плюсах и минусах каждого метода расскажет Давид Вячеславович Бабаян, стоматолог-ортопед Немецкого Имплантологического Центра. Как выбрать метод эстетической коррекции? Корректнее сказать, что отбеливание лучше, чем виниры, в тех случаях, когда функция зубочелюстной системы не нарушена, зубы не разрушены, прикус правильный, а сама форма и высота зубов полноценна. Если пациента не устраивает только цвет зубов, то можно обойтись без виниров и прибегнуть к помощи отбеливания. Также важно понимать, какой результат планирует получить пациент, т.е. насколько сильно он хочет осветлить зубы. Профессиональные системы отбеливания дают отличный эффект, но не такой выраженный, как при использовании виниров. Также при установке виниров можно

В эстетической стоматологии есть несколько методов, позволяющих изменить улыбку до неузнаваемости – и самые известные среди них это отбеливание и установка виниров. Но что лучше? Какой вариант выбрать, если вы решили получить улыбку своей мечты? Об особенностях, плюсах и минусах каждого метода расскажет Давид Вячеславович Бабаян, стоматолог-ортопед Немецкого Имплантологического Центра.

Как выбрать метод эстетической коррекции?

Корректнее сказать, что отбеливание лучше, чем виниры, в тех случаях, когда функция зубочелюстной системы не нарушена, зубы не разрушены, прикус правильный, а сама форма и высота зубов полноценна. Если пациента не устраивает только цвет зубов, то можно обойтись без виниров и прибегнуть к помощи отбеливания.

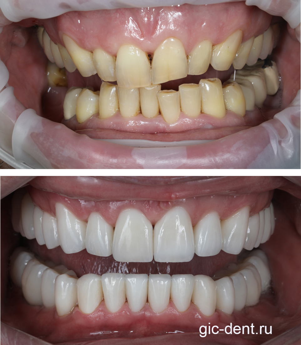
Реставрация челюсти цельнокерамическими винирами в Немецком Имплантологическом Центре. Работа стоматолога-ортопеда Карнеева А.Н.
Реставрация челюсти цельнокерамическими винирами в Немецком Имплантологическом Центре. Работа стоматолога-ортопеда Карнеева А.Н.

Также важно понимать, какой результат планирует получить пациент, т.е. насколько сильно он хочет осветлить зубы. Профессиональные системы отбеливания дают отличный эффект, но не такой выраженный, как при использовании виниров. Также при установке виниров можно выбрать любой цвет, а при процедуре отбеливания этот выбор ограничен – все зависит от природного оттенка зубов и от того, как они отреагируют на воздействие отбеливающего состава.

Если пациента полностью устраивает такой результат, то ему можно рекомендовать отбеливание для улучшения эстетики улыбки. Если же диагностирована стираемость зубов, нарушена форма или эта форма не устраивает пациента, если он хочет добиться радикальной смены цвета улыбки – то оптимальным выбором будут виниры.

Что делает профессиональное отбеливание?

Сейчас на рынке есть целый ряд систем профессионального отбеливания. Принцип их работы схож – врач наносит на зубы состав, зачастую на основе перекиси водорода. Кислород, высвобождаясь из состава, проникает в структуру зубов, устраняет пигментацию и тем самым меняет цвет улыбки.

Различия систем отбеливания в основном связаны с наличием и типом катализатора – например, при лазерном отбеливании действие геля начинается после того, как его засветят особым лазером. В других случаях как катализатор используется лампа, дающая ультрафиолетовый свет. При химическом отбеливании катализатор не требуется – нужно просто подождать, пока состав начнет свою работу.

Что делают виниры?

С винирами дело обстоит совершенно иначе. Это пластинки, которые изготавливаются из керамики по индивидуальной мерке пациента. То есть стоматолог-ортопед проводит 3D-сканирование полости рта, собирает фотопротокол, выбирает вместе с пациентом цвет и форму виниров. Затем доктор обтачивает зубы, снимает слепки и отправляет их вместе с данными 3D-сканирования и моделями будущих виниров в зуботехническую лабораторию.

Установка виниров на верхние зубы в Немецком Имплантологическом Центре. Работа стоматолога-ортопеда Карнеева А.Н.
Установка виниров на верхние зубы в Немецком Имплантологическом Центре. Работа стоматолога-ортопеда Карнеева А.Н.

Там зубной техник под микроскопом создает виниры из керамической массы. В мире нет ни одного одинакового винира – все они создаются строго индивидуально, под каждого пациента.

Когда работа техника закончена, то пациент снова приезжает в клинику и сначала примеряет виниры. Если с ними все отлично, то ортопед зафиксирует их, строго следуя особому адгезивному протоколу, так что оторвать или отколоть винир впоследствии будет почти невозможно.

Плюсы и минусы отбеливания

Первый и очевидный плюс – это намного быстрее, чем виниры. В среднем 1 сеанс отбеливания длится 40-60 минут. Число сеансов определяется тем, насколько пациент хочет осветлить зубы и как они реагируют на действие состава.

Второй весомый плюс – никакой обточки зубов! Вся эмаль останется при вас, если вы решитесь на отбеливание. Третий плюс – сама подготовка к процессу проводится тщательно, но тоже намного быстрее, чем подготовка к установке виниров. Не нужно снимать слепки (процедура, которая не нравится никому из пациентов) или делать 3D-сканирование.

Минус тоже очевидны: отбеливание никогда не исправит форму зубов, не восстановит сколы или трещины эмали, не вернет высоту прикуса при стираемости. Второй минус – это не настолько долговечно, как виниры. Самые современные системы отбеливания могут навсегда изменить цвет, но он все равно не останется таким же белым, как в первые месяцы после процедуры.

Ну и третий минус – скажи «нет» еде. Для сохранения результата необходимо соблюдение белой диеты, при которой на 2 недели исключены кофе, чай, шоколад во всех видах, яркие фрукты, ягоды и овощи (красные, фиолетовые, оранжевые и т.д.), соусы, алкоголь, блюда с красящими ингредиентами – например, любителям борща и гаспаччо придется несладко. Сладости, кстати, тоже лучше исключить: они нередко цветные, а еще после отбеливания иногда возникает повышенная чувствительность зубов.

Плюсы и минусы виниров

Три основных минуса – это долго (от 5 до 14-16 дней и минимум 2 визита в клинику), это требует обточки зубов и это дороже, чем отбеливание, если нужен больше, чем 1 винир. Зато к плюсам можно отнести исключительную долговечность – виниры простоят 15-20 лет, а при правильной домашней гигиене и регулярной профессиональной они прослужат и дольше.

Более того, на цвет виниров не оказывает никакого влияния ни чай, ни шоколад, ни клубника, ни мамин борщ или папин харчо. Керамика не подвержена никаким воздействиям красителей, поэтому есть можно все. В течение всех 15-20 лет она сохранит и цвет, и блеск.

Следующий плюс – виниры используются для коррекции дефектов формы, сколов, трещин, восстановления высоты прикуса, что, кстати, позволяет добиться эффекта омоложения, т.к. зубы служат опорой мягким тканям лица. Когда высота зубов снижается из-за стираемости, то уходит опорный каркас для кожи и мышц, а отсюда – морщины, складки, западающие губы и т.д. Виниры же восстанавливают высоту зубов.

Наконец последний плюс – виниры защищают зубы от внешних воздействий, чего не может сделать отбеливание. Таким образом, виниры – это не только красота, но и функциональность.