Найти в Дзене

Мои зубки требуют... Ощущения с первых минут и сегодня. Что значит - новые зубы?

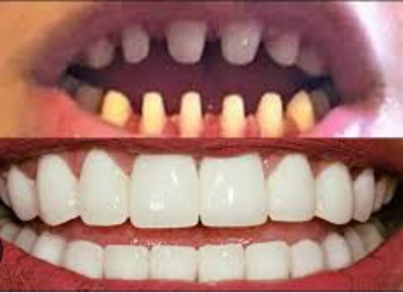
Часть 5. ★ТОТ САМЫЙ ДЕНЬ★. Утро было достаточно бодрым. Мы сходили на завтрак. Кстати завтраки нас тоже не особо радовали. Я не могла есть почти ни чего. Брала омлет, если он был, иногда супчики и что-то попить. Но в этот день мне "повезло" особенно. Ни супа, ни омлета не было. Я взяла какую-то лапшу🥴, немного риса и что-то ещё такое, что съесть и не смогла. В общем в этот день я осталась голодной. Вышла из столовой в мечтаниях, ведь сегодня мне можно будет сходить в кафе или ресторан и съесть что-то сытное и вкусное. Тот самый день настал... Я снова в стоматологическом кресле. Впилась в него руками. Снова страшно. Не знаю, почему. Знаю, что больно уже не будет, но всё-таки. А вдруг... Принесли мою "улыбку". Примерили снова, сначала на сухую. Без состава. Доктор внимательно ещё раз всё осмотрел. Промыл. Осушил. Сказал открыть рот, не шевелиться и терпеть. Будет неприятно. Я забыла, как дышать... Доктор взял у ассистента приготовленный раствор цемента молочного цвета, намазал им
Оглавление

Часть 5.

★ТОТ САМЫЙ ДЕНЬ★.

Утро было достаточно бодрым.

Мы сходили на завтрак. Кстати завтраки нас тоже не особо радовали. Я не могла есть почти ни чего. Брала омлет, если он был, иногда супчики и что-то попить. Но в этот день мне "повезло" особенно. Ни супа, ни омлета не было. Я взяла какую-то лапшу🥴, немного риса и что-то ещё такое, что съесть и не смогла. В общем в этот день я осталась голодной. Вышла из столовой в мечтаниях, ведь сегодня мне можно будет сходить в кафе или ресторан и съесть что-то сытное и вкусное. Тот самый день настал...

Я снова в стоматологическом кресле. Впилась в него руками. Снова страшно. Не знаю, почему. Знаю, что больно уже не будет, но всё-таки. А вдруг...

Принесли мою "улыбку".

Примерили снова, сначала на сухую. Без состава. Доктор внимательно ещё раз всё осмотрел. Промыл. Осушил. Сказал открыть рот, не шевелиться и терпеть. Будет неприятно. Я забыла, как дышать...

Доктор взял у ассистента приготовленный раствор цемента молочного цвета, намазал им мои новые зубки и приступил "натягивать" их...

О! Как же это было неприятно Мягко говоря...

Оголённые зубы моментально завыли и я вместе с ними. Мои пальцы впились в кресло с большей силой.

Через живые зубные нервы сквозь всю меня как будто прошёл ток. Цемент оказался очень холодным. Видимо об этом меня предупреждал доктор, говоря о неприятном.

Сказать, что это неприятно, ни чего не сказать. Меня снова накрыло. Очередной стресс. Но это не конец. Это были ещё не всё неприятности, которые ждали меня в последующие дни...

★ОТРАЖЕНИЕ В ЗЕРКАЛЕ★

Когда доктор закончил, мне дали зеркало.

"Смотри, какая красота!" - доктор восхищался своей работой. Он довольно улыбался и его улыбка была не на столько красивой.

-2

Кстати, я заметила, что все китайцы с корявыми зубами. Зубы у всех желто-серого цвета. У каждого по разному кривые. У кого-то выпирают вперёд, у кого-то разъезжаются в стороны, у кого-то и вовсе все зубы рассорились между собой... но у всех у них свои зубы! Даже в стоматологической клинике я не увидела ни одного китайца с вставными зубами. 🤔

Да, если бы я знала заранее, что значит "вставить зубы", я бы послала всех к чёрту и мучилась бы со своими до конца жизни. Однако не каждый способен понять и оценить все "непричастности", связанные с этим.

Отражение в зеркале не могло не радовать. Тем более после того, что ты последний раз видела у себя во рту. Было, конечно красиво, но радоваться не хотелось. Какая тут радость, если боль пронзает тебя насквозь? Сколько это будет продолжаться? Когда уйдёт боль? Может надо было всë-таки просить удалить нервы?

Я смотрела на своё отражение, не понимая до конца всей реальности...

Надеялась на то, что это ещё не вся работа доктора, ведь мне было очень не комфортно с новыми зубами. Пока я только молча открывала и закрывала рот.

★КАК Я БУДУ С ЭТИМ ЖИТЬ? ★

Меня попросили ответить, что я думаю о своём отражении. Я хотела ответить и описать все свои ощущения в подробностях, но запнулась на первом же слове...

Я не смогла внятно и чётко проговорить даже первое слово своей приготовленной речи.

-3

Я закрыла рот рукой. Из глаз брызнули слëзы. Снова паника. Мысли в голове сменяли одна другую. Я посмотрела на доктора. Кажется он ни чего не понял, потому что смотрел на меня испуганным, не понимающим взглядом.

...Почему у тебя такая реакция? Что тебе не понравилось? Всё же красиво! Всё хорошо!... Они с ассистентом о чём-то говорили на китайском. Размахивали руками, указывали на меня, странно смотрели.

В это время я поняла, что больше ни какой коррекции зубов не будет. Работа закончена и меня просят освободить кресло.

Меня нельзя назвать молчаливой. Я очень много говорю. Всегда была такой. А что теперь?

Я, не вставая с кресла, попыталась возразить.

Что я чувствовала в этот момент в двух словах не расскажешь.

Мне казалось, что у меня во рту огромная карамелька, которую хочется погонять из одной стороны в другую. Она мешала стиснуть зубы, чтобы спокойно закрыть рот. Было неудобно говорить, казалось, что опух язык. Хотелось выплюнуть эту неудобную карамелищу.

Я пыталась объяснить доктору, что меня беспокоит. Как я буду жить с этим?

Я объясняла ему, что когда что-то говорю, прикусываю щеки и язык. Это больно, неприятно и... вообще, как мне общаться с людьми теперь? Звучит смешно и странно, когда ты при каждом слове пытаешься навести порядок во рту. Поставить на место щеки и язык.

Я не хотела уходить, пока они не ответят мне на все мои вопросы!

Мне снова страшно. Что же я наделала!? Зачем на это пошла?! 😱

Меня попытались успокоить. Говорили, что к ним нужно привыкнуть. Все привыкают. Убеждали, что нужно один раз покушать и всё сразу встанет на свои места. Привыкнешь сразу.

Я поверила...

ПРОДОЛЖЕНИЕ СЛЕДУЕТ.