Найти в Дзене
Томаш Игорь | Pro Training

Возраст, ожирение и мышечная масса: Как усилить эффект силовых тренировок

Сегодня мы поговорим о некоторых из самых обсуждаемых тем в области физического здоровья: ожирение, возраст и их влияние на наши мышцы. Возрастная потеря мышечной массы и ожирение часто идут рука об руку, и они могут создать целый ряд проблем для нашего здоровья и физического состояния. Возраст, ожирение и мышцы: связующее звено Возрастная потеря мышечной массы часто сопровождается увеличением общего ожирения и отложением жира в скелетных мышцах. Этот процесс усугубляется нарушениями метаболизма, накоплением висцерального жира и воспалением, вызванным жировой тканью. Больше мышечной массы = Больше анаболической реакции? Исследования показывают, что абсолютная мышечная масса у пожилых людей с ожирением может вызывать большую анаболическую реакцию на физическую активность. Например, в недавней работе было установлено, что скорость синтеза миофибриллярного белка была выше обычных значений в течение 48 часов после 45-минутной ходьбы с нагрузкой только в группе с ожирением (39%), но не у
Оглавление

Сегодня мы поговорим о некоторых из самых обсуждаемых тем в области физического здоровья: ожирение, возраст и их влияние на наши мышцы. Возрастная потеря мышечной массы и ожирение часто идут рука об руку, и они могут создать целый ряд проблем для нашего здоровья и физического состояния.

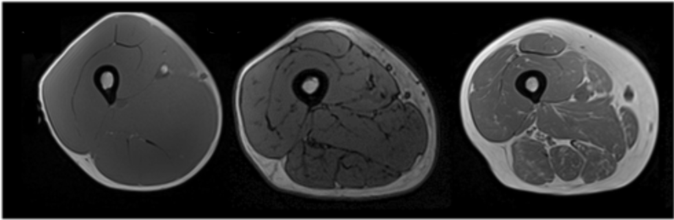
25 лет/ 35 лет/ 45 лет
25 лет/ 35 лет/ 45 лет

Возраст, ожирение и мышцы: связующее звено

Возрастная потеря мышечной массы часто сопровождается увеличением общего ожирения и отложением жира в скелетных мышцах. Этот процесс усугубляется нарушениями метаболизма, накоплением висцерального жира и воспалением, вызванным жировой тканью.

Больше мышечной массы = Больше анаболической реакции?

Исследования показывают, что абсолютная мышечная масса у пожилых людей с ожирением может вызывать большую анаболическую реакцию на физическую активность.

Например, в недавней работе было установлено, что скорость синтеза миофибриллярного белка была выше обычных значений в течение 48 часов после 45-минутной ходьбы с нагрузкой только в группе с ожирением (39%), но не у возрастных людей без ожирения и молодых людей (11% и 12% соответственно).

-2

Это может быть связано с повышенными силами нагрузки и сократительной работой мышц во время повседневной деятельности (1).

Но как насчет качества мышц?

С другой стороны, исследования также указывают на то, что качество мышц, по-видимому, ухудшается с возрастом при наличии ожирения. Это значит, что даже если абсолютная масса мышц может быть большей при ожирении, их функциональное и метаболическое качество может ухудшаться.

То есть, если у вас большое количество жировой массы, польза мышечной уходит на второй план. Именно поэтому я рекомендую в первую очередь снизить процент жира до 20%, а только потом стараться набирать мышечную массу.

Также важно помнить, что с возрастом, организм хуже усваивает белок. В связи с этим, может потребоваться его повышенное потребление, чтобы получить нужные аминокислоты для развития мышц.

Заключение

Важно понимать, что ожирение — это не просто число или состояние, оно влияет на наши мышцы и здоровье в целом. Но что действительно важно — это то, что мы можем сделать для того, чтобы контролировать и управлять этими влияниями. Поддержание здорового образа жизни, правильного питания и регулярной физической активности может помочь улучшить состояние наших мышц, независимо от возраста или состояния ожирения.

Если вы чувствуете, что вам нужна помощь в составлении индивидуального плана тренировок или совет по правильному питанию, я с радостью помогу вам.

Полезно для набора мышечной массы и сжигания лишнего жира.

Желаю вам успехов в ваших новых тренировках! Благодарю за прочтение этого материала. Если статья оказалась полезной, не забудьте оценить её и подписаться на канал. Наша цель — достичь отметки в 50 000 подписчиков, и ваша подписка может значительно помочь в достижении этого результата.

С уважением, Томаш Игорь.