Добавить в корзинуПозвонить
Найти в Дзене

Длинные имплантаты. Зачем нужны? Часть 1.

Доброго времени суток, дорогие друзья! В статье в небольшом количестве присутствуют фото с операции. 🩸💉 Особо впечатлительным рекомендовано не смотреть. Если Вам понравится этот пост поставьте лайк👍 и напишите своё мнение или вопрос в комментариях. Так я буду понимать, что информация полезная, интересная и актуальная. Это будет мотивировать меня описывать для Вас все нюансы, с которыми я сталкиваюсь в повседневной работе и как их решаю. ____________________________________________________________________________________ В некоторых ситуациях, когда мы хотим сократить срок лечения пациента и количество вмешательств, нужно всего лишь пораскинуть немного извилинами. Приведу пример в каком случае использование имплантата 13+ (если что это означает длина 13 мм и более) оправдано и рационально. Исходная ситуация. Зуб 36 под коронкой, лечен когда - то давно. И случайно на кт исследовании обнаружен очаг просветления костной ткани в проекции верхушек корней (так нужно обычно описывать то,

Доброго времени суток, дорогие друзья!

В статье в небольшом количестве присутствуют фото с операции. 🩸💉

Особо впечатлительным рекомендовано не смотреть.

Если Вам понравится этот пост поставьте лайк👍 и напишите своё мнение или вопрос в комментариях. Так я буду понимать, что информация полезная, интересная и актуальная. Это будет мотивировать меня описывать для Вас все нюансы, с которыми я сталкиваюсь в повседневной работе и как их решаю.

____________________________________________________________________________________

В некоторых ситуациях, когда мы хотим сократить срок лечения пациента и количество вмешательств, нужно всего лишь пораскинуть немного извилинами.

Приведу пример в каком случае использование имплантата 13+ (если что это означает длина 13 мм и более) оправдано и рационально.

Исходная ситуация. Зуб 36 под коронкой, лечен когда - то давно. И случайно на кт исследовании обнаружен очаг просветления костной ткани в проекции верхушек корней (так нужно обычно описывать то, что мы видим на рентген снимке). На обывательском языке «киста на зубе том». В общем инфекционный хронический процесс, который потенциально мог начать беспокоить пациента в самый неподходящий момент жизни. Подробнее об этом заболевании читайте здесь (отдельная статья с очень хорошей обратной связью) ->

Ввиду того, что зуб уже ранее лечен, в нём стоит вкладка и разобрать его + перелечить представляется маловозможным, малопрогнозируемым, было принято решение об удалении и попытке установки имплантата одномоментно.

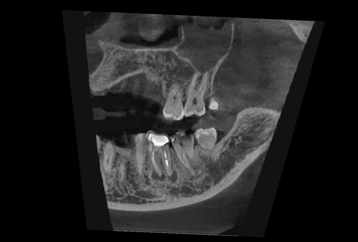
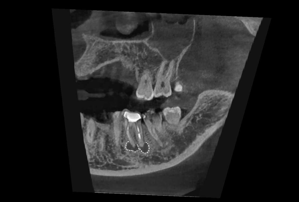
Ситуация до:

в области верхушек корней
в области верхушек корней
очаг хронической инфекции обведен белыми точками
очаг хронической инфекции обведен белыми точками

Планирование:

4.3*13 размер виртуального имплантата
4.3*13 размер виртуального имплантата

В полости рта ситуация до:

36 зуб под коронкой
36 зуб под коронкой

После снятия коронки и распиливания вкладки и корней зуба:

-5

Кюретаж и установка имплантата:

-6

Контроль положения имплантата и уровня его заглубления с помощью специального пина:

-7

После добавления костного графта:

-8

Финальное фото после, с гемостатической губкой, швами и формирователем:

-9

Контрольный снимок после операции:

Смоделировал виртуальную коронку на будущем имплантате
Смоделировал виртуальную коронку на будущем имплантате

По снимку можно заметить что кончик имплантата фиксирован в участке костной ткани ниже оси своих зубов (в этом и была задумка этой операции). Через ~ 3 мес. можно приступать к протезированию данного имплантата.

А если бы не было имплантата 13 мм?

Тогда бы мне пришлось удалить зуб, ждать ~ 2 мес. для заживления костной ткани. И после установки имплантата выждать ещё ~ 3 мес. В итоге лечение затянулось бы на ~5-6 мес. А количество хирургических вмешательств увеличилось бы с 1 до ~2-3 (удаление зуба, установка имплантата, установка формирователя).

Пациентов всегда предупреждаю после операции, что на этой штучке, которую они ощущают в полости рта (формирователь десны),

-11

нельзя кушать твёрдую/жёсткую пищу ~2 месяца (при одномоментной имплантации). Это ещё не коронка и имплантат держится в костной ткани пока ещё чисто механически за счёт своей резьбы (т.е. пока не произошла остеоинтеграция/приживление). Формирователь установлен сразу для того, чтобы избежать последующих хирургических этапов и чтобы потом ортопед мог получить доступ к имплантату, открутив его. И вместо формирователя установил коронку.

Спасибо, что проявили интерес к публикации!

________________________________________

Ставьте лайк👍.

Подписывайтесь на канал. ✅

Всем здоровья!

P.s. пишите свои мнения и вопросы в комментариях📝

С уважением, доктор Ижмукóв

Виталий Владимирович.

_________________________________________

Контактная информация:

+79370634232

vk.com/talich