Добавить в корзинуПозвонить
Найти в Дзене

Атеросклероз и витамин K

В продолжение постов о витамине D, мы поговорим о таком важнейшем нутриенте, как витамин K2 и его роли в поддержании здоровья костей и сосудов. По мере старения кальций, который содержится в наших костях, начинает появляться в других нежелательных областях, в том числе в оболочках крупных артерий. Вспомним кальцификацию аорты. Со временем нормальные гладкомышечные клетки в стенках артерий трансформируются в клетки подобные костным за счет отложений кальция, по существу, превращая участки артерии в костную ткань, которая не является упругой и гибкой и не обладает способностью эффективно регулировать кровоток, наблюдаются такие изменения на поздних стадиях атеросклероза. Порой таких пациентов с кальцификатами с флюорографии отправляют сразу в туберкулезный диспансер на дообследование. Атеросклероз, как мы уже писали, не препятствие долголетию. Природа предоставила нам мощный ингибитор кальцификации артерий в виде матричного белка Gla, одного из 16 Gla-белков, активируемых витамином К.

В продолжение постов о витамине D, мы поговорим о таком важнейшем нутриенте, как витамин K2 и его роли в поддержании здоровья костей и сосудов.

Еще один защитник нашего организма от старения - витамин К
Еще один защитник нашего организма от старения - витамин К

По мере старения кальций, который содержится в наших костях, начинает появляться в других нежелательных областях, в том числе в оболочках крупных артерий. Вспомним кальцификацию аорты.

Со временем нормальные гладкомышечные клетки в стенках артерий трансформируются в клетки подобные костным за счет отложений кальция, по существу, превращая участки артерии в костную ткань, которая не является упругой и гибкой и не обладает способностью эффективно регулировать кровоток, наблюдаются такие изменения на поздних стадиях атеросклероза. Порой таких пациентов с кальцификатами с флюорографии отправляют сразу в туберкулезный диспансер на дообследование.

Атеросклероз, как мы уже писали, не препятствие долголетию.

Природа предоставила нам мощный ингибитор кальцификации артерий в виде матричного белка Gla, одного из 16 Gla-белков, активируемых витамином К.

Для справки: Витамин К — это не отдельный витамин, а семейство жирорастворимых витаминов с общей основной структурой. Члены этого семейства можно разделить на две группы: филлохиноны (витамин К1) и менахиноны (витамин К2). Все семейство помогает витамин К-зависимой карбоксилазе, которая является ферментом, необходимым для производства белков, участвующих в свертывании крови, метаболизме костей и других функциях. Несмотря на эту общую функцию, K1 и K2 имеют различное происхождение в природе и играют разные роли в организме. Двумя наиболее заметными членами семейства K2 являются MХ-4 и MХ-7. Здесь MХ означает менахинон, а число относится к длине конкретной боковой цепи в структуре молекулы. Хотя более длинная боковая цепь МХ-7 приводит к тому, что эта молекула остается в обращении в течение более длительного периода [4], их функции схожи. Источники К2: K2 является продуктом бактериальной ферментации, поэтому ферментированные продукты являются основными источниками K2. Небольшие, но значительные количества K2 продуцируются кишечными бактериями, хотя это количество варьирует из-за индивидуальных различий микробиома. Считалось ранее, что недостаточная свертываемость крови является основным признаком дефицита витамина К.

Vitamin K2 (Menaquinone-7) Reverses Age-Related Structural and Cognitive Deterioration in Naturally Aging Rats

Этот специфический Gla-белок вырабатывается в стенках артерий, но активируется только при наличии достаточного количества витамина К.

При отсутствии достаточного количества витамина К кальцификация артерий может беспрепятственно продолжаться, приводя к развитию атеросклероза и его смертельных последствий в виде сосудистых катастроф, т.е. инфарктов миокарда и инсультов.

Действительно, у пожилых мужчин и у женщин с самым высоким уровнем неактивного матриксного белка Gla (указывающим на низкий уровень витамина К) риск сердечно-сосудистых заболеваний был почти в 3 раза выше, чем у женщин с самым низким уровнем.

Исследователям уже почти 20 лет известно, что недостаточное потребление витамина К с пищей связано с атеросклерозом аорты, крупнейшего кровеносного сосуда тела. С тех пор множество фундаментальных научных исследований показали, что более высокое потребление витамина К необходимо для профилактики атеросклероза магистральных сосудов всех видов. Исследования на животных даже показывают, что витамин К может «спасать» кальцифицированные артерии, возникающие в результате чрезмерного использования препаратов, ингибирующих витамин К, таких как некоторые средства, разжижающие кровь.

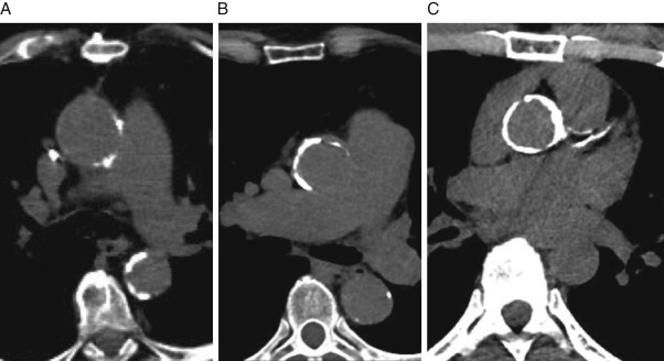
Только полюбуйтесь на эту костяную трубочку, в которую превратилась аорта.
Только полюбуйтесь на эту костяную трубочку, в которую превратилась аорта.
Thoracic Aortic Calcification: Diagnostic, Prognostic, and Management Considerations


Другой способ, которым матричные белки Gla помогают защитить от атеросклероза, заключается в ингибировании выработки сигнальных молекул воспаления (цитокинов), которые способствуют образованию бляшек и кальцификации. Люди с самым высоким потреблением витамина К с пищей имеют значительно более низкие уровни этих воспалительных маркеров, и также веществ, участвующих в формировании аппетита и резистентности к инсулину, оба из которых важны для предотвращения атеросклероза (некоторые из этих эффектов могут быть связаны с повышенным уровнем другого витамин К-зависимого Gla-белка, который подавляет воспаление и способствует снижению толерантности к глюкозе.)

Dietary intake of vitamin K is inversely associated with mortality risk - PubMed
3D модель кальцифицированной брюшной аорты
3D модель кальцифицированной брюшной аорты
Direct Abdominal Aortic Access for Thoracic Endovascular Aortic Repair in a Patient with Severe Aortic and Arterial Calcification


Исследования витамина К на людях

Исследования потребления витамина К с пищей на людях были несколько непоследовательными, вероятно, из-за путаницы в отношении того, какая форма витамина наиболее важна.


Витамин К1 (филлохинон) является основной диетической формой витамина, но витамин К2 (менахинон) имеет более сильное отношение к артериальной кальцификации.


В одном исследовании люди с самым высоким потреблением витамина К2 имели на 57% меньше шансов умереть от ишемической болезни сердца по сравнению с теми, кто потреблял меньше всего витамина К2.

В другом исследовании было обнаружено, что женщины с самым высоким потреблением витамина К2 Риск кальцификации коронарных артерий на 20% ниже по сравнению с женщинами с самым низким уровнем потребления, в то время как то же исследование показало, что витамин К1 не оказывает существенного влияния.30
Исследования добавок витамина К показывают, что обе формы витамина способствуют защите от кальцификации артерий при атеросклерозе, с небольшим преимуществом витамина К2. Например, когда здоровые мужчины или женщины в постменопаузе принимали дополнительно витамин К1, у них наблюдалось умеренное 6% снижение прогрессирования кальцификации артерий, но только у субъектов с наиболее запущенным заболеванием на исходном уровне.22 И исследование с использованием витамин K1 в сочетании с витамином D и минералами продемонстрировал, что комбинированная добавка может замедлить потерю гибкости артерий и повысить их эластичность.14
Точно так же добавление витамина К2 значительно снижает количество инактивированного белка матрикса Gla, тем самым снижая риск атеросклероза с кальцинозом; получатели плацебо в этом исследовании не показали никакого эффекта.

The effect of menaquinone-7 supplementation on circulating species of matrix Gla protein - PubMed

В другом исследовании группа пациентов с заболеванием почек, находящихся на гемодиализе (с очень высоким риском прогрессирующего атеросклероза с кальцинозом), тоже принимала витамина К2. Интервенция резко снизила количество инактивированного белка матрикса Gla на 77% при более низкой дозе и на 93% при более высокой дозе.

Effect of vitamin K2 supplementation on functional vitamin K deficiency in hemodialysis patients: a randomized trial - PubMed

Интересно, что в настоящее время очевидно, что женщины с атеросклерозом чаще имеют более низкую костную массу, чем женщины без атеросклероза. У них также более низкий уровень циркулирующего витамина К, что подчеркивает возрастной компромисс между кальцием в костях (что желательно) и кальцием в стенках артерий (что нежелательно).

Vitamin K status and bone mass in women with and without aortic atherosclerosis: a population-based study - PubMed

Как вы уже поняли, прием витамина К должен осуществляться под контролем вашего врача, употреблять этот нутриент в чистом виде без назначения не стоит, но зато можно обогатить им свой рацион, добавьте в него:

  • Сыр
  • Курицу
  • Масло сливочное несоленое
  • Квашеную капусту
  • Яичный желток