Добавить в корзинуПозвонить
Найти в Дзене

Расширение челюсти в подростковом возрасте. Возможно ли?

Наиболее эффективно расширение верхней челюсти происходит в возрасте до 12 лет, пока не произошел пик роста. При своевременном обращении ребенку изготавливается аппарат Марко Роса, который стимулирует рост челюсти и создает место, необходимое для ровного прорезывания всех зубов. Но что делать, если пик роста уже прошел? К нам в клинику обратился пациент в возрасте 14 лет с большим дефицитом места на верхней челюсти. Как часто при этом бывает - скученность зубов и клыки располагаются вне зубного ряда. Как же быть? Чтобы избежать удаления премоляров, было принято решение изготовить модифицированный аппарат по типу Марко Роса, ключевое отличие которого - дополнительная фиксация к небу при помощи ортодонтических мини-винтов.  Наличие такой опоры позволяет наиболее эффективно передавать давление на небный шов, что приводит к его разрыву и скелетному расширению верхней челюсти. В противном же случае, мы получили бы наклон боковых зубов в стороны, а объем кости остался бы практически пре

Наиболее эффективно расширение верхней челюсти происходит в возрасте до 12 лет, пока не произошел пик роста.

При своевременном обращении ребенку изготавливается аппарат Марко Роса, который стимулирует рост челюсти и создает место, необходимое для ровного прорезывания всех зубов.

Но что делать, если пик роста уже прошел?

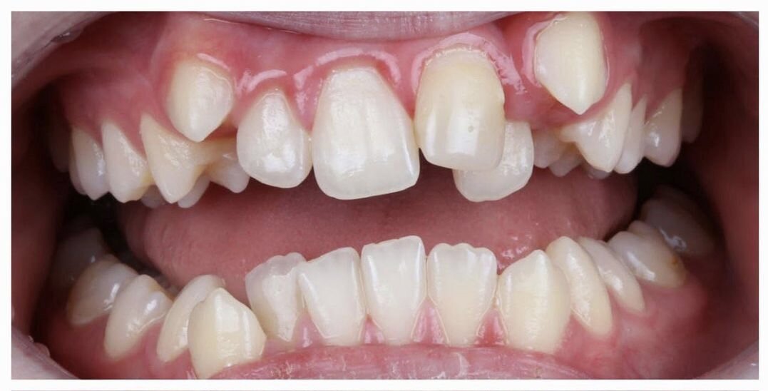
К нам в клинику обратился пациент в возрасте 14 лет с большим дефицитом места на верхней челюсти. Как часто при этом бывает - скученность зубов и клыки располагаются вне зубного ряда.

Исходная ситуация до ортодонтического лечения
Исходная ситуация до ортодонтического лечения

  • Можно просто выровнять зубы? Тогда мы получим наклон зубов и корни зубов выйдут из костной ткани. Сразу это не заметно, но спустя годы начнётся осложнение - оголение десны. А значит, нельзя.
  • Можно провести ортодонтическое лечение с удалением премоляров, чтобы создать необходимое место для расположения зубов? Можно! Но так не хотелось бы удалять.

Как же быть?

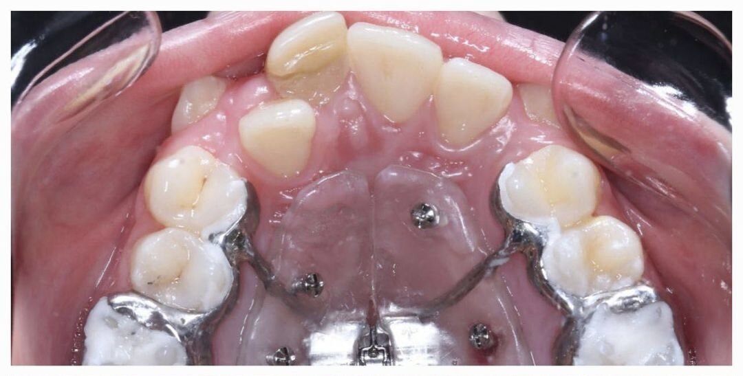
Чтобы избежать удаления премоляров, было принято решение изготовить модифицированный аппарат по типу Марко Роса, ключевое отличие которого - дополнительная фиксация к небу при помощи ортодонтических мини-винтов. 

Фиксация аппарата
Фиксация аппарата

Наличие такой опоры позволяет наиболее эффективно передавать давление на небный шов, что приводит к его разрыву и скелетному расширению верхней челюсти. В противном же случае, мы получили бы наклон боковых зубов в стороны, а объем кости остался бы практически прежним.

Результат, спустя несколько месяцев
Результат, спустя несколько месяцев

А взрослым так можно?

К сожалению, нельзя.

Данная процедура требует предварительной оценки стадии созревания небного шва на КТ, ведь с возрастом он становится организованным и не поддается расширению.

Результат
Результат

Приводите детей к ортодонту с 6-7 лет .

Несмотря на возможности к расширению челюстей даже в подростковом возрасте, рекомендуем проводить осмотр ребенку еще при смене зубов, ведь именно в детском возрасте можно наиболее просто решить уже имеющиеся проблемы, а также предотрватить их в будущем!

Ждём Вас на консультации в нашей клинике - мы поможем подобрать наиболее оптимальную тактику лечения!