Добавить в корзинуПозвонить
Найти в Дзене

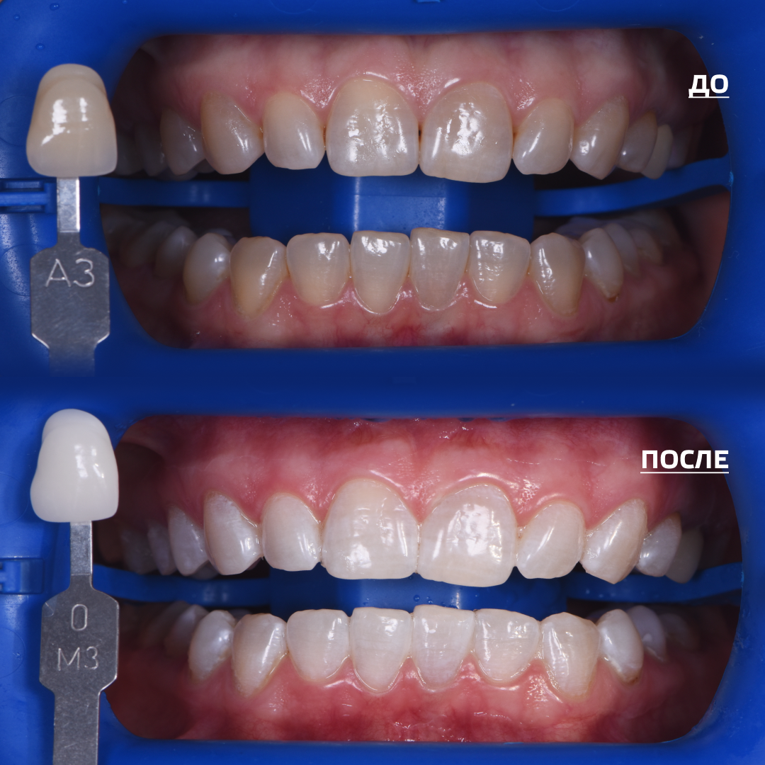
Самое важное о «белой диете» после стоматологического отбеливания

Процедура профессионального отбеливания подразумевает временный отказ от некоторых продуктов, содержащих сильно красящие пигменты. Это и есть «белая диета».
Дело в том, что отбеленная эмаль на некоторое время становится чуть более пористой, чем обычно, и красящие частички могут испортить весь эффект от процедуры.
К продуктам с высокой степенью окрашивания относятся:
— овощи, фрукты и ягоды ярких цветов (томаты, морковь, свекла, черника и т.д.)
— чай и кофе
— газированные напитки, соки, красное вино
— некоторые специи (куркума, шафран, карри и т.п.), а также ряд других продуктов.
Чем же питаться в рамках «белой диеты»? На 5 — 20 дней в рационе должны преобладать следующие продукты:
— белое мясо и рыба (крольчатина, курица, индейка, треска, минтай, тилапия и пр.)
— белок куриного яйца
— крупы
— сыр
— молочные и кисломолочные продукты без добавок (через 2-3 дня после процедуры)
— светлые овощи, фрукты и ягоды ( картофель, огурцы, белый виноград, бананы и т.д.).
Полный список рекоменду

Процедура профессионального отбеливания подразумевает временный отказ от некоторых продуктов, содержащих сильно красящие пигменты. Это и есть «белая диета».

Дело в том, что отбеленная эмаль на некоторое время становится чуть более пористой, чем обычно, и красящие частички могут испортить весь эффект от процедуры.

К продуктам с высокой степенью окрашивания относятся:
— овощи, фрукты и ягоды ярких цветов (томаты, морковь, свекла, черника и т.д.)
— чай и кофе
— газированные напитки, соки, красное вино
— некоторые специи (куркума, шафран, карри и т.п.), а также ряд других продуктов.

Чем же питаться в рамках «белой диеты»? На 5 — 20 дней в рационе должны преобладать следующие продукты:
— белое мясо и рыба (крольчатина, курица, индейка, треска, минтай, тилапия и пр.)
— белок куриного яйца
— крупы
— сыр
— молочные и кисломолочные продукты без добавок (через 2-3 дня после процедуры)
— светлые овощи, фрукты и ягоды ( картофель, огурцы, белый виноград, бананы и т.д.).

Полный список рекомендуемых продуктов пациент обсуждает с врачом после проведения процедуры профессионального отбеливания.

Чтобы результат отбеливания сохранился как можно дольше, следует придерживаться «белой диеты» не менее 5 дней.

Если у вас еще остались вопросы, мы с радостью ответим на них во время консультации, запись:
— по телефону (846) 211-07-56;
— на сайте
https://kiostom.ru;
— через личные сообщения.

Ждем вас на ул. Тухачевского, 88.