Добавить в корзинуПозвонить
Найти в Дзене
dr. Margarita Polyakova

Металлокерамика на передние зубы теперь не в моде

В последнее время все чаще ко мне обращаются с запросом на коронки из оксида циркония или безметалловой керамики. Сегодня это тренд в стоматологии и зуботехническом деле, пациенты стали начитанные, поэтому когда-то новые технологии стали повседневной обыденностью. Однако, несмотря на высокий спрос на безметалловую керамику, стоимость таких реставраций не снижается. Сказывается дороговизна оборудования и материалов, которые ну никак не хотят «импортозамещаться» и дешеветь. Поэтому старая добрая металлокерамика все ещё актуальна, причём не только в боковом отделе зубного ряда, на жевательных зубах, но и на передних зубах. В плане технического исполнения металлокерамика даже сложнее, чем например фрезерование коронки из блока оксида циркония, поэтому временные затраты на изготовление такой металлокерамической коронки даже больше. В данном клиническом случае представлена металлокерамическая конструкция из 4 объединённых коронок на 4 передних зуба верхней челюсти. У пациентки уже бы

В последнее время все чаще ко мне обращаются с запросом на коронки из оксида циркония или безметалловой керамики. Сегодня это тренд в стоматологии и зуботехническом деле, пациенты стали начитанные, поэтому когда-то новые технологии стали повседневной обыденностью.

Однако, несмотря на высокий спрос на безметалловую керамику, стоимость таких реставраций не снижается. Сказывается дороговизна оборудования и материалов, которые ну никак не хотят «импортозамещаться» и дешеветь.

Поэтому старая добрая металлокерамика все ещё актуальна, причём не только в боковом отделе зубного ряда, на жевательных зубах, но и на передних зубах.

В плане технического исполнения металлокерамика даже сложнее, чем например фрезерование коронки из блока оксида циркония, поэтому временные затраты на изготовление такой металлокерамической коронки даже больше.

В данном клиническом случае представлена металлокерамическая конструкция из 4 объединённых коронок на 4 передних зуба верхней челюсти. У пациентки уже была такая конструкция прежде, и замена производилась в связи со сколом керамической облицовки. Мы лишь повторили и обновили ее.

Конструкция фиксирована на зубы
Конструкция фиксирована на зубы

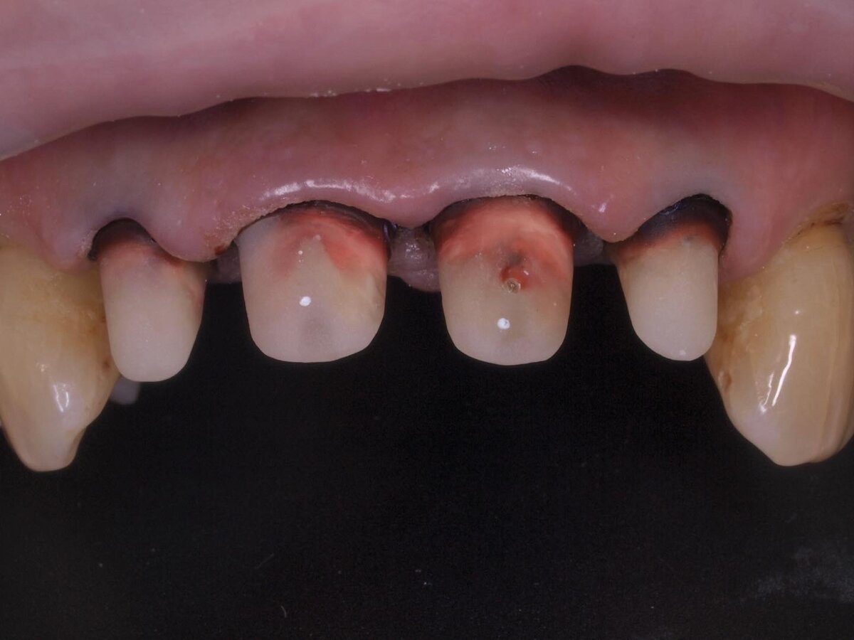
Зубы подготовлены для фиксации коронок
Зубы подготовлены для фиксации коронок

Так выглядит рабочая модель для изготовления коронок
Так выглядит рабочая модель для изготовления коронок

Улыбка
Улыбка