Добавить в корзинуПозвонить
Найти в Дзене
Драга.Лайф

В Танзании мужчина получил тройной перелом пениса во время секса — удалось ли «восстановить» функции детородного органа

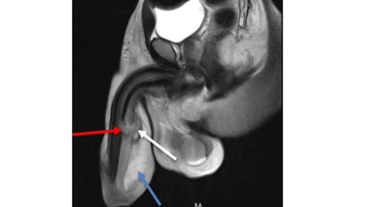
36-летний пациент обратился к врачу с опухшим половым органом и обильным кровотечением из уретры — было принято решение об неотложном хирургическом вмешании. 36-летний житель Танзании обратился в больницу и рассказал врачам, что во время секса со своей партнершей он услышал неожиданный хруст, когда его половой орган случайно выскользнул и ударился о промежность женщины. Звук сопроводился потерей эрекции, резкой болью и кровотечением из уретры. Изначально мужчине дали сильное обезболивающее и направили в другую клинику, чтобы там провели более профессиональное обследование. Вскоре обследование специалистами показало, что мужчина получил тройной перелом полового члена и повреждение уретрального канала — такой случай считается крайне редким в урологических записях и считается опасным. УЗИ показало, что у пациента поврежден кровеносный сосуд и было принято экстренное решение провести сложную хирургическую операцию. Шесть месяцев после операции мужчине потребовалось для прохождения реабилит

36-летний пациент обратился к врачу с опухшим половым органом и обильным кровотечением из уретры — было принято решение об неотложном хирургическом вмешании.

Фото: sciencedirect
Фото: sciencedirect

36-летний житель Танзании обратился в больницу и рассказал врачам, что во время секса со своей партнершей он услышал неожиданный хруст, когда его половой орган случайно выскользнул и ударился о промежность женщины. Звук сопроводился потерей эрекции, резкой болью и кровотечением из уретры. Изначально мужчине дали сильное обезболивающее и направили в другую клинику, чтобы там провели более профессиональное обследование.

Вскоре обследование специалистами показало, что мужчина получил тройной перелом полового члена и повреждение уретрального канала — такой случай считается крайне редким в урологических записях и считается опасным.

УЗИ показало, что у пациента поврежден кровеносный сосуд и было принято экстренное решение провести сложную хирургическую операцию.

Шесть месяцев после операции мужчине потребовалось для прохождения реабилитации и восстановления функции детородного органа. Сейчас пациент не испытывает каких-либо проблем с сексуальными контактами и отмечает, что чувствует себя удовлетворительно. Его опасения о том, что он потеряет эректильную функцию не подтвердились.

Источник: Курьер.Среда