Найти в Дзене

Что такое «тлеющий» рассеянный склероз?

​​▶️Предлагаем разобрать третью задачу, поставленную проф. Г. Джованни в своем блоге: «Тлеющий рассеянный склероз играет ведущую роль у людей с более выраженными проявлениями и на более поздней стадии рассеянного склероза. Что нам делать в случае продолжающегося поражения головного мозга у людей с РС, находящимися в то же время состоянии NEDA (отсутствие активности заболевания)?  Как вы знаете из различных публикаций, это направление исследований требует импульса со стороны ведущих специалистов по РС для того, чтобы, во-первых, осознать проблему, во-вторых, создать юридически обоснованную среду, позволяющую запускать новые клинические исследования для последующей регистрации лекарственных средств, применяя в качестве оценочных параметров биомаркеры, а не только клинические исходы. Пожалуйста обратите внимание, что я включаю вирусную гипотезу РС в основу тлеющего рассеянного склероза. Мы нуждаемся в новых клинических исследования противовирусных препаратов, направленных на вирус Эпштей

​​▶️Предлагаем разобрать третью задачу, поставленную проф. Г. Джованни в своем блоге:

«Тлеющий рассеянный склероз играет ведущую роль у людей с более выраженными проявлениями и на более поздней стадии рассеянного склероза. Что нам делать в случае продолжающегося поражения головного мозга у людей с РС, находящимися в то же время состоянии NEDA (отсутствие активности заболевания)? 

Как вы знаете из различных публикаций, это направление исследований требует импульса со стороны ведущих специалистов по РС для того, чтобы, во-первых, осознать проблему, во-вторых, создать юридически обоснованную среду, позволяющую запускать новые клинические исследования для последующей регистрации лекарственных средств, применяя в качестве оценочных параметров биомаркеры, а не только клинические исходы. Пожалуйста обратите внимание, что я включаю вирусную гипотезу РС в основу тлеющего рассеянного склероза. Мы нуждаемся в новых клинических исследования противовирусных препаратов, направленных на вирус Эпштейна-Барра»

🔻Постараемся разобрать достаточно сложный текст уважаемого специалиста. По мере накопления клинических данных оказалось, что можно выделить так называемый тлеющий рассеянный склероз. 

🔹Это состояние выражается тем, что на фоне вроде бы полного благополучия, что обозначается термином NEDA (отсутствие новых или накапливающих контраст очагов и обострений), человек все же ощущает какое-то медленно нарастающее ограничение своей жизнедеятельности. Он чувствует, что становится не таким активным, менее выносливым, эмоционально нестабильным, быстрее устает на работе или во время физических нагрузок. 

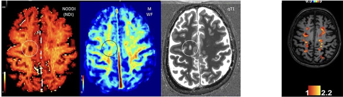
В последние годы в этом направлении начали вестись научные исследования, получены первые результаты по МРТ и биомаркерам (анализам крови на определенные вещества, в частности на уровень нейрофиламента https://stopsclerosis.ru/neirofilamenti/), показывающие, что у таких людей происходит постоянное повреждение головного мозга, но не в виде новых очагов или обострений, а путем совершенного нового, ранее неизвестного механизма. И вот этот новый механизм рассеянного склероза будет требовать и иного подхода в выявлении (скорее всего, путем новых режимов МРТ и новых биомаркеров) и иного подхода в лечении. 

🔸В частности, Г. Джованони указывает на вирус Эпштейна-Барра, как на возможную причину развития тлеющего рассеянного склероза.

🔻Сайт МЦРС 📲 https://clck.ru/32R2di