Добавить в корзинуПозвонить
Найти в Дзене

«Серёжки оставить можно?»: почему перед рентген-исследованием нужно снимать металлические украшения

Перед началом стоматологического лечения врач обязательно проводит сбор анамнеза. Помимо визуального осмотра он может использовать дополнительные методы диагностики: например, рентген-исследование.
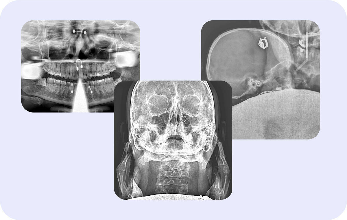
Перед выполнением лучевой диагностики лаборант обязательно попросит пациента снять все металлические конструкции. Зачем? Метод получения снимка челюстно-лицевой области заключается в сканировании головы при помощи рентгеновских лучей. Они проходят сквозь исследуемый участок и фиксируются на детекторе. На пути лучей могут возникать помехи — металлические предметы, которые влияют на качество снимка. Металл, если не снять его перед диагностикой, визуализируется яркими пятнами. Это связано с высокой плотностью вещества: рентген-лучи не могут пройти, например, сквозь золотые серьги или пирсинг. Засветы на снимке специалисты называют «артефактами». Они помешают просмотру ближайших структур: зубов, костей черепа, суставов, пазух. За засветами могут скрываться патологии, которые врач не увидит. Что

Перед началом стоматологического лечения врач обязательно проводит сбор анамнеза. Помимо визуального осмотра он может использовать дополнительные методы диагностики: например, рентген-исследование.
Перед выполнением лучевой диагностики лаборант обязательно попросит пациента снять все металлические конструкции. Зачем?

Метод получения снимка челюстно-лицевой области заключается в сканировании головы при помощи рентгеновских лучей. Они проходят сквозь исследуемый участок и фиксируются на детекторе. На пути лучей могут возникать помехи — металлические предметы, которые влияют на качество снимка.

-2

Металл, если не снять его перед диагностикой, визуализируется яркими пятнами. Это связано с высокой плотностью вещества: рентген-лучи не могут пройти, например, сквозь золотые серьги или пирсинг.

Засветы на снимке специалисты называют «артефактами». Они помешают просмотру ближайших структур: зубов, костей черепа, суставов, пазух. За засветами могут скрываться патологии, которые врач не увидит.

-3

Что делать, если у пациента есть несъёмные металлические конструкции?

Несъёмные металлические конструкции не являются противопоказанием для рентгенодиагностики. Например, в случае с несъемными коронками и протезами в центрах «Пикассо» пациент может сделать снимок на томографе с функцией подавления артефактов от металлов.

Записывайтесь на исследования челюстно-лицевой области в центры рентгенодиагностики «Пикассо».