Найти в Дзене
Пикабу

Травма лапки у котенка

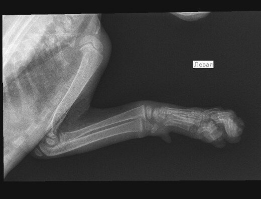
Доброго времени суток! Котенку 2 месяца, вчера поздно вечером случайно прижали дверью (не заметили как прошмыгнул), котенок сильно испугался и начал поджимать левую переднюю лапку. Наощупь серьезных повреждений не обнаружили, котенка успокоили и уложили спать. Утром попросил кушать, ковылял на трех лапках, продолжая держать левую переднюю на весу. Потом ближе к обеду разыгрался, бегал, прыгал и гонял игрушки как обычно. Решили все-таки на всякий случай показать ветеринару. Врач так же наощупь не нашёл ничего серьёзного, но сказал, что не нравится запястье, отправил на рентген. Сделали снимок в двух проекциях, косточки все целые, рентгенолог предположил, что возможен подвывих одной из маленьких косточек запястья, нужно показать кота и снимки хирургу-ортопеду. По возвращению домой котенок уснул. После сна опять начал прихрамывать, опираясь на больную лапку, и иногда поджимать её. Дело в том, что к хирургу мы попадём скорее всего не раньше конца недели. Может быть, кто-то сможет по рентге

Доброго времени суток! Котенку 2 месяца, вчера поздно вечером случайно прижали дверью (не заметили как прошмыгнул), котенок сильно испугался и начал поджимать левую переднюю лапку. Наощупь серьезных повреждений не обнаружили, котенка успокоили и уложили спать. Утром попросил кушать, ковылял на трех лапках, продолжая держать левую переднюю на весу. Потом ближе к обеду разыгрался, бегал, прыгал и гонял игрушки как обычно. Решили все-таки на всякий случай показать ветеринару. Врач так же наощупь не нашёл ничего серьёзного, но сказал, что не нравится запястье, отправил на рентген. Сделали снимок в двух проекциях, косточки все целые, рентгенолог предположил, что возможен подвывих одной из маленьких косточек запястья, нужно показать кота и снимки хирургу-ортопеду. По возвращению домой котенок уснул. После сна опять начал прихрамывать, опираясь на больную лапку, и иногда поджимать её. Дело в том, что к хирургу мы попадём скорее всего не раньше конца недели. Может быть, кто-то сможет по рентген снимкам подсказать, есть ли подвывих? Нужно его вправлять? Заранее благодарю за ответы!

Пост автора lisa9377.

Узнать, что думают пикабушники.