Найти в Дзене

Зачем менять пломбу, если ничего не беспокоит? Фото до и после лечения

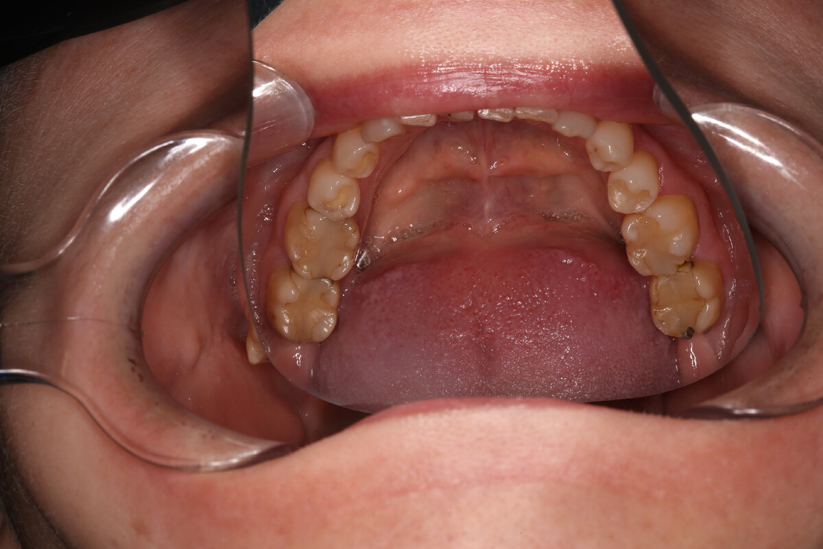
Как вы думаете сколько служит пломба зуба? И надо ли ее менять? К сожалению пломбировочный материал не вечный (как и все в нашем мире), поэтому избежать замены пломбы никак нельзя. В зависимости от квалификации лечащего врача (кто ставил пломбу) и от качества пломбировочного материала пломба служит приблизительно 5 лет. Если пломба установлена не очень хорошо (а такое бывает, если продешевить), то основная проблема - это негерметичное прилегание. Негерметичность пломбы приводит к тому, что пища, слюна, а вместе с этим и бактерии проникают к тканям зуба, что в дальнейшем приводит к ускоренному развитию кариеса. Также важно знать, любые дефекты пломбы в виде сколов, трещин и изменения цвета - должны быть устранены и затягивать с этим не стоит. Симптомы: Мы проводим лечение зубов под микроскопом, реставрируя зубы специальным пломбировочным материалом, сохраняя анатомию зуба, которые так важны для здорового прикуса и жевательной функции. Представляем вашему вниманию работу нашего стоматоло

Как вы думаете сколько служит пломба зуба? И надо ли ее менять? К сожалению пломбировочный материал не вечный (как и все в нашем мире), поэтому избежать замены пломбы никак нельзя. В зависимости от квалификации лечащего врача (кто ставил пломбу) и от качества пломбировочного материала пломба служит приблизительно 5 лет.

Если пломба установлена не очень хорошо (а такое бывает, если продешевить), то основная проблема - это негерметичное прилегание. Негерметичность пломбы приводит к тому, что пища, слюна, а вместе с этим и бактерии проникают к тканям зуба, что в дальнейшем приводит к ускоренному развитию кариеса.

Также важно знать, любые дефекты пломбы в виде сколов, трещин и изменения цвета - должны быть устранены и затягивать с этим не стоит.

Симптомы:

  • Боль в запломбированном зубе
  • Разрушение пломбы: сколы, трещины
  • Появление кариеса на зубе: потемнение пломбы, зуба
  • Постоянный неприятный привкус во рту

Мы проводим лечение зубов под микроскопом, реставрируя зубы специальным пломбировочным материалом, сохраняя анатомию зуба, которые так важны для здорового прикуса и жевательной функции.

Представляем вашему вниманию работу нашего стоматолога-терапевта Аллахвердовой Софии. Комплексное терапевтическое лечение зубов (каждого зуба)

фото до лечения

фото после лечения

-2