Добавить в корзинуПозвонить
Найти в Дзене

Какая головная боль может быть признаком инсульта

Каждому из нас приходилось испытывать головную боль. Как правило, к этому симптому мы относимся как к неприятному, но безопасному для жизни состоянию. В большинстве случаев так оно и есть, но существует разновидность головной боли, которая является признаком опасного для жизни заболевания. Об этом сегодняшняя статья. Как известно, артерии человеческого организма представляют собой полые трубки разного диаметра, по которым течёт кровь от сердца ко всем органам. В некоторых случаях стенка этих сосудов образует выпячивание, напоминающее по форме воздушный шарик. Такое образование называется аневризма. В переводе с латинского языка это слово означает расширение. Иногда аневризмы образуются в сосудах головного мозга, причём годами и даже десятилетиями эти образования могут не давать абсолютно никаких симптомов, и быть выявленными только при случайном обследовании. При неблагоприятных условиях (чаще всего при повышении артериального давления) аневризмы могут разрываться, что проявляется спец

Каждому из нас приходилось испытывать головную боль. Как правило, к этому симптому мы относимся как к неприятному, но безопасному для жизни состоянию. В большинстве случаев так оно и есть, но существует разновидность головной боли, которая является признаком опасного для жизни заболевания. Об этом сегодняшняя статья.

Как известно, артерии человеческого организма представляют собой полые трубки разного диаметра, по которым течёт кровь от сердца ко всем органам. В некоторых случаях стенка этих сосудов образует выпячивание, напоминающее по форме воздушный шарик. Такое образование называется аневризма. В переводе с латинского языка это слово означает расширение. Иногда аневризмы образуются в сосудах головного мозга, причём годами и даже десятилетиями эти образования могут не давать абсолютно никаких симптомов, и быть выявленными только при случайном обследовании.

Часто аневризмы образуются именно в месте разветвления артерий, как и показано на этой картинке.
Часто аневризмы образуются именно в месте разветвления артерий, как и показано на этой картинке.

При неблагоприятных условиях (чаще всего при повышении артериального давления) аневризмы могут разрываться, что проявляется специфическим и совершенно уникальным симптомом – внезапной головной болью.

Все пациенты, которые рассказывают о своём заболевании вспоминают, что состояние ухудшилось буквально в долю секунды – «как будто в тёмной комнате включили свет» или «как будто ударили молотком по голове». Этот симптом обладает очень высоким уровнем достоверности – если головная боль действительно возникла внезапно, диагноз можно считать установленным.

Мне в жизни неоднократно приходилось диагностировать разрыв аневризмы головного мозга, но больше всех запомнился самый первый пациент.

К этому 35-летнему мужчине я приехал на вызов в составе бригады скорой помощи. Он рассказал, что болен уже четвёртый день – беспокоит головная боль, сопровождающаяся умеренной тошнотой. Эти симптомы не мешают ему жить и даже работать – пациент работал программистом, и выполнял свою работу удалённо. Сейчас эта форма трудовой деятельности для нас привычна, но тогда, в конце 90-х годов такие люди встречались довольно редко.

Он вызвал скорую помощь, потому что к концу четвёртого дня понял, что произошло нечто необычное – никогда ранее головная боль не беспокоила настолько долго и непрерывно. При осмотре очаговой неврологической симптоматики выявлено не было, артериальное давление и пульс были в норме. О своих симптомах пациент рассказывал довольно многословно, но на вопрос о скорости начала заболевания он сразу чётко ответил, что боль возникла внезапно «как удар молотком», и с тех пор ни разу не проходила, несмотря на приём анальгетиков и другие манипуляции – холод к голове, прогулки на свежем воздухе и т.д.

Руководствуясь одним только симптомом – внезапностью начала головной боли, я госпитализировал пациента в нейрохирургический институт имени А.Л.Поленова.

В приёмном покое дежурный нейрохирург усомнился в диагнозе, но пациента всё-таки принял. Позже, позвонив родственникам, я узнал, что диагноз был подтверждён с помощью компьютерной томографии, и через несколько дней после госпитализации пациент скончался от повторного кровоизлияния.

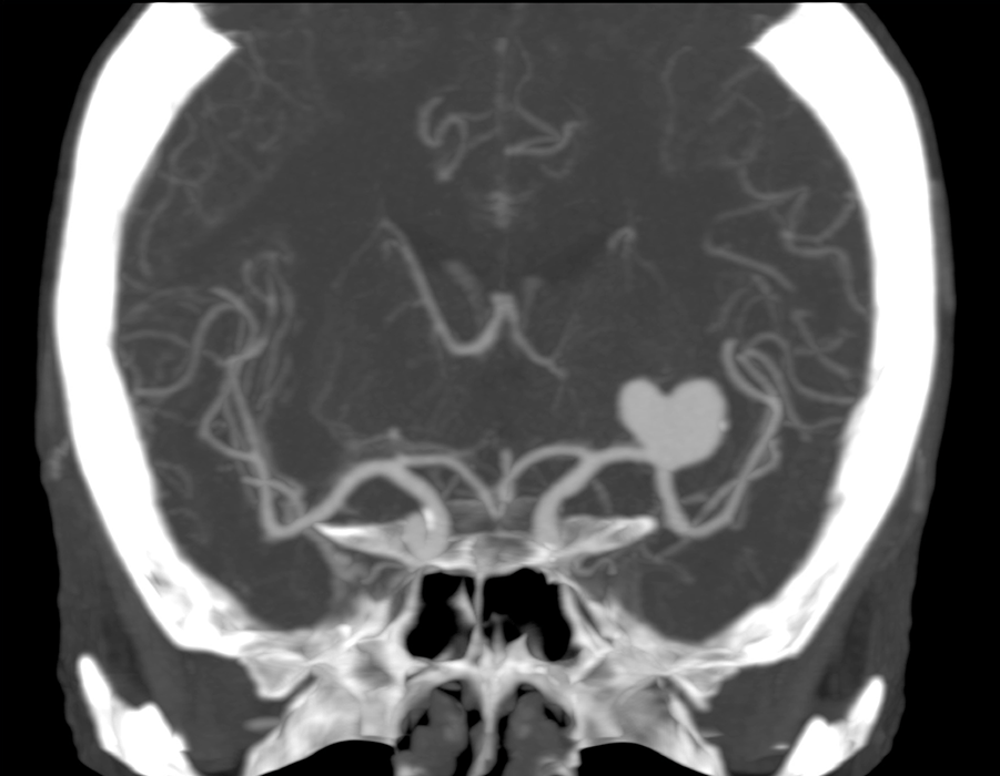
На этой КТ-ангиографии выявлена огромная аневризма одного из сосудов - похожа на сердечко.
На этой КТ-ангиографии выявлена огромная аневризма одного из сосудов - похожа на сердечко.

Всё-таки стёртая картина заболевания встречается нечасто. Обычно вскоре после развития головной боли наступает заторможенность и нарушения сознания.

Субарахноидальное кровоизлияние в результате разрыва аневризмы – тяжёлое заболевание с плохим прогнозом. Обычно оно диагностируется с помощью компьютерной томографии – она позволяет увидеть излившуюся из разорванного сосуда кровь. После этого проводят ангиографию с контрастированием сосудов, позволяющую увидеть локализацию разорвавшегося сосуда, после чего может быть принято решение о нейрохирургической операции – наложении зажима на сосуд либо эмболизации повреждённой артерии. Нередко это позволяет спасти жизнь.

Всё же более перспективно оказывать помощь пациентам, у которых аневризма ещё не разорвалась.

57-летний пациент обратился ко мне в феврале 2015 года с жалобами на головокружение. Он много работал за компьютером, при осмотре были выявлены явные признаки остеохондроза, в связи с чем я предположил, что головокружение – следствие нарушения кровотока по позвоночным артериям. Тем не менее, я рекомендовал проведение магнитно-резонансной томографии с сосудистым режимом, чтобы подтвердить диагноз. Результаты оказались совершенно неожиданными. Помимо явных признаков шейного остеохондроза и значительного ухудшения кровотока по правой позвоночной артерии (что полностью подтверждало мой диагноз) была выявлена крупная – 2 на 3 сантиметра – аневризма внутренней сонной артерии. Пациент направлен на консультацию к нейрохирургу.

Таким образом, у пациента совершенно случайно была выявлена аневризма, которая пока никак себя не проявила – головокружения были связаны, конечно же, не с ней.

Пациенту вскоре было выполнено внутрисосудистое вмешательство. Под местной анестезией катетеризирована бедренная артерия, через проводник в аневризму были введены платиновые микроспирали, которые вскоре покрылись тромботическими массами. В результате из пульсирующего и готового в любой момент разорваться шарика образовался плотный и безопасный комочек.

-3

Пациент жив и относительно здоров до сих пор, буквально на днях мы созванивались. После операции прошло уже 8 лет. Наблюдение продолжается.

В заключение необходимо упомянуть, что некоторые люди склонны к образованию артериальных аневризм. Это те, кто страдает относительно редким наследственным заболеванием – поликистозом почек. Оба этих заболевания вызваны одним и тем же генетическим дефектом – нарушением синтеза одного из белков, входящего в состав сосудистой стенки.

Если на УЗИ органов брюшной полости заподозрен поликистоз почек и диагноз подтверждён компьютерной томографией, надо задуматься о том, чтобы проконсультироваться у невролога. Возможно, он назначит вам МР-ангиографию сосудов головного мозга. Подчеркну – речь идёт именно о поликистозе почек, а не нескольких выявленных кистах, что выявляется довольно часто, и опасений никогда не вызывает.

И последнее. Для ишемического инсульта головная боль нехарактерна. Всё вышеизложенное типично только для одной из разновидностей инсульта - субарахноидального кровоизлияния.

Подписывайтесь на меня в Телеграм, там я иногда публикую материалы, которых нет в Дзене.t.me/kardiologKrulev

Статья не является руководством к действию. Требуется консультация специалиста. Иллюстрации взяты из открытых источников.