Добавить в корзинуПозвонить
Найти в Дзене
Хайтек

Эмбрионы обезьян вырастили вне матки, чтобы изучить формирование органов

Исследователи культивировали эмбрионы обезьян в лаборатории достаточно долго, чтобы наблюдать за началом формирования органов и развитием нервной системы. Две независимые группы исследователей из Китайской академии наук сообщили о длительном внематочном культивировании эмбрионов обезьян. 25-дневные модели позволяют наблюдать в трехмерном виде начало формирования внутренних органов и нервной системы. Эти этапы трудно изучать при нормальном развитии зародыша внутри матки. Поддержка внематочного развития эмбриона — сложная задача. После определенного количества делений клетки рассыпаются. В предыдущих исследованиях исследователи культивировали бластоцисты обезьян — шары из делящихся клеток — в чашках Петри в течение 20 дней. После этого эмбрионы разрушились, и ученые не смогли увидеть более продвинутые стадии их развития. В новых исследованиях ученые использовали специальные сосуды с питательной средой, в которых эмбрионы могли развиваться в трехмерном пространстве, соответствующем нормал

Исследователи культивировали эмбрионы обезьян в лаборатории достаточно долго, чтобы наблюдать за началом формирования органов и развитием нервной системы.

Две независимые группы исследователей из Китайской академии наук сообщили о длительном внематочном культивировании эмбрионов обезьян. 25-дневные модели позволяют наблюдать в трехмерном виде начало формирования внутренних органов и нервной системы. Эти этапы трудно изучать при нормальном развитии зародыша внутри матки.

Поддержка внематочного развития эмбриона — сложная задача. После определенного количества делений клетки рассыпаются. В предыдущих исследованиях исследователи культивировали бластоцисты обезьян — шары из делящихся клеток — в чашках Петри в течение 20 дней. После этого эмбрионы разрушились, и ученые не смогли увидеть более продвинутые стадии их развития.

В новых исследованиях ученые использовали специальные сосуды с питательной средой, в которых эмбрионы могли развиваться в трехмерном пространстве, соответствующем нормальному внутриутробному развитию. Обе группы ученых использовали оплодотворенные яйцеклетки макака-крабоеда (Macaca fascicularis), эксперименты отличались составом питательной среды и сосуда для роста эмбрионов.

После оплодотворения эмбрионы сформировали плоский зародышевый диск, из которого постепенно развились три клеточных слоя: энтодерма, мезодерма и эктодерма. При этом стадии развития искусственных эмбрионов соответствовали естественному росту зародышей обезьян.

-2

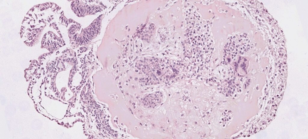
25-дневный эмбрион обезьяны, окрашенный обычным красителем (розовый) и флуоресцентными красителями (разноцветный). Изображение: Zhai et al., Cell

С помощью лабораторной модели исследователи наблюдали за процессом формирования из эктодермы нервной пластинки — основы будущей нервной системы. В процессе развития она утолщается и изгибается в трубку, закладывая основу для будущего головного мозга и позвоночного столба. Кроме того, им удалось определить клетки, которые в будущем станут двигательными нейронами.

Вторая группа ученых сконцентрировалась на клетках мезодермы эмбрионов. Исследователи обнаружили, что некоторые из них дифференцировались в клетки сердечной мышцы, а другие созрели в клетки, обнаруженные в выстилке кровеносных и лимфатических сосудов. Исследователи также определили клетки, развивающиеся в соединительную ткань, и те, которые составляют основу пищеварительной системы.

-3

Трехмерная реконструкция изображений эмбрионов обезьян, полученных с помощью двухфотонной микроскопии. Изображение: Yandong Gong et al., Cell

Ученые полагают, что подобные исследования решают сразу две задачи. Во-первых, они позволяют узнать больше о ранних этапах развития сложных живых организмов. А во-вторых, представляют маленький шаг на пути полностью внематочного развития организмов в искусственной среде.

Читать далее:

Посмотрите на Землю в самом высоком разрешении: фото сделал спутник третьего поколения

Гигантские столбы тепла «поднимают» алмазы из недр Земли

«Убегающая» черная дыра оказалась обычной галактикой

Наука
7 млн интересуются