Найти в Дзене

"15% кошек страдают этим заболеванием": что нужно знать о кардиомиопатии?

Зачастую к нам в клинику обращаются с питомцами, внешне здоровыми, но стоит рассмотреть более детально клинические признаки, как становится ясно, у животного проблемы с сердцем. Кардиомиопатии - это заболевания сердца, которые характеризуются нарушением функционирования миокарда (сердечной мышцы). Гипертрофическая кардиомиопатия (ГКМП) - это наиболее распространенный вид кардиомиопатии у кошек. Он характеризуется утолщением стенок левого желудочка сердца, что приводит к нарушению функционирования сердца. Это заболевание часто встречается у породистых кошек, связанно это с генетической предрасположенностью. Диагностика ГКМП проходит с помощью эхокардиографии, этот метод дает наиболее точный диагноз, так как используется технология УЗИ. Симптомы кардиомиопатий у кошек Симптомы кардиомиопатий у кошек могут быть различными, в зависимости от вида заболевания. Общие симптомы, которые могут свидетельствовать о проблемах со здоровьем сердца, включают: Породы, которые входят в группу риска Важ
Оглавление

Зачастую к нам в клинику обращаются с питомцами, внешне здоровыми, но стоит рассмотреть более детально клинические признаки, как становится ясно, у животного проблемы с сердцем.

По исследованиям ученых, болезнь сердца есть у 15% кошек
По исследованиям ученых, болезнь сердца есть у 15% кошек

Кардиомиопатии - это заболевания сердца, которые характеризуются нарушением функционирования миокарда (сердечной мышцы).

Гипертрофическая кардиомиопатия (ГКМП) - это наиболее распространенный вид кардиомиопатии у кошек.

Он характеризуется утолщением стенок левого желудочка сердца, что приводит к нарушению функционирования сердца. Это заболевание часто встречается у породистых кошек, связанно это с генетической предрасположенностью.

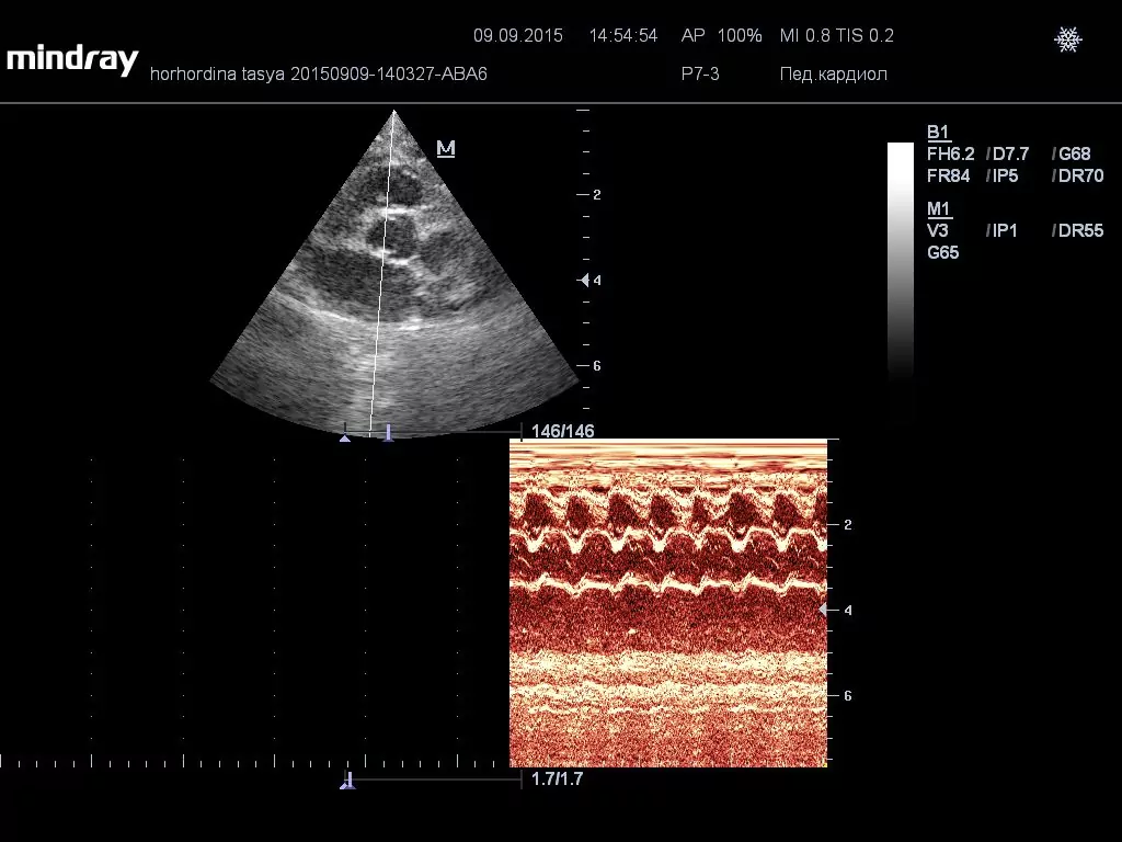
Диагностика ГКМП проходит с помощью эхокардиографии, этот метод дает наиболее точный диагноз, так как используется технология УЗИ.

Врач кардиолог может наблюдать в режиме реального времени за сердцем и его работой
Врач кардиолог может наблюдать в режиме реального времени за сердцем и его работой

Симптомы кардиомиопатий у кошек

Симптомы кардиомиопатий у кошек могут быть различными, в зависимости от вида заболевания. Общие симптомы, которые могут свидетельствовать о проблемах со здоровьем сердца, включают:

  • - Затрудненное дыхание
  • - Частое дыхание
  • - Слабость и усталость
  • - Потеря аппетита
  • - Отказ от активности
  • - Синюшность языка и слизистых оболочек

Породы, которые входят в группу риска

  • Британские и шотландские кошки
  • Сфинксы
  • Мей-куны
  • Корниш-рэксы
  • Рэгдоллы
  • Американские короткошерстные
  • Персидские
  • Норвежские лесные
  • Бирманские
  • Бенгальские
Важно отметить что диагностику такого серьезного заболевания может определить только опытный врач кардиолог. Именно поэтому мы предлагаем вам посетить нашу клинику, а специально для всех подписчиков нашего канала даем промокод на доп.услуги – скидка 10%

Для получения скидки назовите промокод администратору клиники ДЗЕН10

-3