Найти в Дзене

Зубы у питомца потемнели, это серьезно?

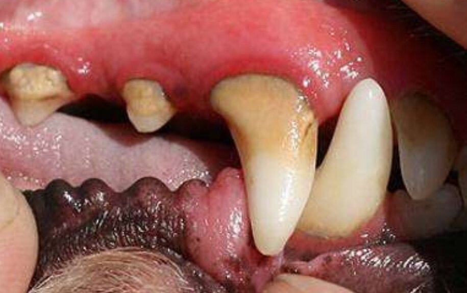
Если Вы видите в ротовой полости у Вашего питомца картину как на этих двух фотографиях сверху - это серьезная проблема в виде зубного камня. Как Вы можете наблюдать, десна над зубом воспалена, красного цвета, ее край как будто задирается к верху, обнажая шейку зуба. В дальнейшем камень сдвинет всю десну вверх, обнажив корень зуба и в этом случае с зубом можно будет попрощаться. Из пород собак данная патология особенно характерна для йоркширских терьеров, пуделей и коккеров. Чистку зубов от зубного камня Вы как владелец животного сделать не в силах. Это должен сделать ветеринарный врач-хирург. Процедура выполняется под седацией, чтобы избежать лишнего стресса у животного. Чистку зубов необходимо делать регулярно, раз в год или по необходимости. Будьте здоровы!
-2

Если Вы видите в ротовой полости у Вашего питомца картину как на этих двух фотографиях сверху - это серьезная проблема в виде зубного камня. Как Вы можете наблюдать, десна над зубом воспалена, красного цвета, ее край как будто задирается к верху, обнажая шейку зуба. В дальнейшем камень сдвинет всю десну вверх, обнажив корень зуба и в этом случае с зубом можно будет попрощаться.

Из пород собак данная патология особенно характерна для йоркширских терьеров, пуделей и коккеров.

Чистку зубов от зубного камня Вы как владелец животного сделать не в силах. Это должен сделать ветеринарный врач-хирург. Процедура выполняется под седацией, чтобы избежать лишнего стресса у животного. Чистку зубов необходимо делать регулярно, раз в год или по необходимости. Будьте здоровы!