Добавить в корзинуПозвонить
Найти в Дзене
Пикабу

Коксартроз и гонартроз. Двойное комбо. Моя история

Всем привет, меня зовут Антон, мне 34, и я из Самары. Как многие поняли из заголовка у меня коксартроз и гонартроз, в простонародье: разрушение тазобедренных и коленных суставов. 2х2. Двойное комбо. Я хочу рассказать свою историю жизни с этими заболеваниями, откуда у него ноги, как я пытался это лечить и к чему я сейчас пришел. Возможно вы почитаете часть моих предидущих постов и найдете в них упоминание моего заболевания или все что с ним связано и подумаете КАКОГО ХЕРА ОН ТУТ ПИШЕТ ОПЯТЬ, ВЕДЬ ЕМУ УЖЕ СДЕЛАЛИ ОПЕРАЦИЮ? Так вот: до операции у меня было множество вопросов на которые я не нашел ответы, но теперь своими знаниями хочу поделится сам. Желание рассказать возникло в первый день после операции. И сейчас я добрался до компа... Я постараюсь выстроить все в хронологическом порядке, с чего все началось, как шло и на чем я сейчас остановился, попутно указав все то, что считаю важным, чтобы хотя бы на начальном уровне снять все лишние вопросы. Немного о себе: Самого обычного телосло

Всем привет, меня зовут Антон, мне 34, и я из Самары. Как многие поняли из заголовка у меня коксартроз и гонартроз, в простонародье: разрушение тазобедренных и коленных суставов. 2х2. Двойное комбо. Я хочу рассказать свою историю жизни с этими заболеваниями, откуда у него ноги, как я пытался это лечить и к чему я сейчас пришел.

Возможно вы почитаете часть моих предидущих постов и найдете в них упоминание моего заболевания или все что с ним связано и подумаете КАКОГО ХЕРА ОН ТУТ ПИШЕТ ОПЯТЬ, ВЕДЬ ЕМУ УЖЕ СДЕЛАЛИ ОПЕРАЦИЮ? Так вот: до операции у меня было множество вопросов на которые я не нашел ответы, но теперь своими знаниями хочу поделится сам. Желание рассказать возникло в первый день после операции. И сейчас я добрался до компа...

Я постараюсь выстроить все в хронологическом порядке, с чего все началось, как шло и на чем я сейчас остановился, попутно указав все то, что считаю важным, чтобы хотя бы на начальном уровне снять все лишние вопросы.

Немного о себе: Самого обычного телосложения, при росте 172 см, вес 85кг. Питание самое обычное, не всегда полноценное, но все же почти ежедневно первое, второе и компот. Без особых пристрастий к алкоголю, ну как все. Часто в рационе фрукты, курица, рыба, свинина. Т.е. недостатка в питании, аки в потреблении каких-то микроэлементов важных для организма нет. Ну так я считаю. Здоровье не сказать что отменное, болею как все обычные люди, но хронических заболеваний нет. В семье предпосылки по мужской линии к сердечнососудистым заболеваниям, по материнской линии проблем с суставами тоже ни у кого не было, даже в пожилом возрасте. Травм каких-то серьезных я тоже не получал. Вывихи, растяжения – да, но это все в детстве и касалось ступней. Последняя травма в феврале 2016 года, но там пострадал голеностоп. Работа у меня всегда была офисного характера, сидячая, а после появления ковида стал работать на удаленке. Но все это компенсировалось сначала дачей, а после ее продажи, фактически сразу – самостоятельным ремонтом дома для родителей, т.е. физической нагрузкой тоже не был обделен. Таким образом, если брать эти вводные данные, соответствующие среднестатистическому человеку, предпосылок для этого заболевания в моем то возрасте нет. Однако кто-то распорядился иначе….

Рассказываю так, как я для себя понял и построил всю историю развития заболевания. В апреле 21 года я лег с ковидом в больницу, 45% поражения. Пролежал почти месяц. Ни прогресса, ни регресса на фоне лечения не было. После последнего КТ было также 45%, но чувствовал я себя отлично, с тем с больницы и выписали. Да, после выписки была ломка, но она прошла в течении недели. Кстати, после выписки я пил назначенные терапевтом лекарства. Еще через месяц, в июне я вернулся к ремонту дома и все было ХОРОШО. Работа работается, деньги зарабатываются, ремонт хоть и затянулся ввиду росту цен на все, но идет своим ходом. Параллельно в стране проходит вакцинация, но меня она пока не касается, у меня еще есть антитела.

Наступает черный октябрь 2021 года. В виду известных событий в нашем регионе вводились ограничительные меры: вводились запреты на посещение ТЦ без QR-кода о наличии антител или о прививке от ковида. На работе тоже настойчиво просили привиться, составляли «списки» антиваксеров, а привившимся выдавали единовременную выплату 5000 рублей.

26 Октября 21 года я привился вакциной Спутник Лайт, прививку перенес нормально, ни повышенной температуры, ни ломки. НИ-ЧЕ-ГО. И поскольку у меня наступил отпуск я уехал заниматься своей стройкой, оставалось поклеить обои в доме для родителей. Как вы понимаете поклейка обоев предполагает постоянную физическую нагрузку на ноги, то залезть на стол наверх подклеить и разгладить, то спустится в низ, а самый быстрый способ спустится – спрыгнуть. СЕЙЧАС Я ВСЕ ПОНИМАЮ. Через пару дней такой нагрузки я почувствовал боль в области левой ягодицы, как будто защемило нерв. Такое уже бывало когда-то, и я подумал, что само пройдет. К врачу я не обращался, у меня же идет ремонт, я занят. Так и проклеил весь дом с болью в левой булке. По окончанию отпуска, поскольку боль уже усилилась, стало болеть колено и появилась хромота, я все же сходил к терапевту. Оказалось, что наша терапевт уволилась, и на наш участок посадили еще юную девушку-студентку медвуза, она только-только устроилась. В общем студентка отправила меня к неврологу. Невролог постучала молоточком по колену, прописала какие-то таблетки и мазь и отправила меня к травматологу-ортопеду.

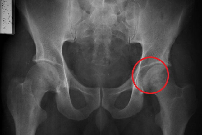
Ортопед был первым врачом кто, более-менее серьезно отнеся к ситуации. Выслушал меня, провел осмотр, в ходе которого выявил что левая нога стала короче правой на 2-3мм, так же он замерил радиус вращения тазобедренного сустава, угол сгибания коленного сустава. После этих манипуляций у меня появилось доверие к нему. Это было первый раз, когда был озвучен диагноз коксартроз. Но для его подтверждения он меня направил на рентген. По коленному суставу у ортопеда было предположение что это отдается боль от тазобедренного сустава. Но у нас в поликлинике толи была очередь на него, то ли он был сломан. И тогда я не нашел ничего лучше, кроме как поехать к тете в хирургию в соседний город, 35 км от Самары делать рентген, поскольку мне уже не хотелось терять ни минуты на обследования, хотелось начать нормальное лечение, ведь я попал к хорошему врачу. Тетя у меня санитарка в хирургическом отделении районной больницы, человек добрейший и рассудительный, пока сидели с ней в коридоре и ждали рентгенолога по человечески поговорили с ней, сказала что таких как я пруд пруди, у нее у самой суставы тоже болят, сидит на уколах да на мази, это не страшно, жить можно, хотя сказала что такие проблемы у людей в предпенсионном возрасте и старше, а тут я – молодой, может у меня что то другое. Однако рентген, хоть и аппарат там древний, все-таки показал дегенеративные изменения в головке бедра:

С этого момента началось мое лечение, местами спорное и мало эффективное, но об этом будет рассказано в следующем посте.

Пост автора rullezzznow.

Узнать, что думают пикабушники.