Добавить в корзинуПозвонить
Найти в Дзене

Можно ли установить имплантат без рентгеновского исследования?

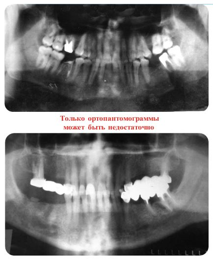
После исключения общих противопоказаний к установке имплантатов проводится рентгенологическое исследование. Минимально необходима обзорная рентгенография (ортопантомограмма фото 1, 2), и ее, как правило, оценивает врач при первичной консультации, но наилучший вариант – это компьютерная томография. При проведении последней врач имеет возможность оценить не только объем имеющейся костной ткани в трех плоскостях, но   также и ее структуру, что в свою очередь позволит подобрать оптимальные размер, форму, количество имплантатов и определиться с методикой операции (фото 3-4). Мой учитель по имплантологическому разделу стоматологии сказал: «Если раньше я искал показания для установки имплантатов и проводил три десятка операций в неделю, то теперь я ищу противопоказания, оперирую реже, но с более прогнозируемым результатом». Во время повторной консультации врач рассказывает о том, как все будет происходить, какие понадобятся дополнительные компоненты при установке имплантатов и почему, как

После исключения общих противопоказаний к установке имплантатов проводится рентгенологическое исследование. Минимально необходима обзорная рентгенография (ортопантомограмма фото 1, 2), и ее, как правило, оценивает врач при первичной консультации, но наилучший вариант – это компьютерная томография. При проведении последней врач имеет возможность оценить не только объем имеющейся костной ткани в трех плоскостях, но   также и ее структуру, что в свою очередь позволит подобрать оптимальные размер, форму, количество имплантатов и определиться с методикой операции (фото 3-4).

Фото 1, 2: обзорный снимок (ортопантомограмма) — объем информации для планирования имплантации ограничен, возможно оценить с определенной долей погрешности только один параметр — высоту и ориентировочно расположение некоторых анатомических образований или симптомов заболеваний, для первичной консультации данное исследование будет нужным
Фото 1, 2: обзорный снимок (ортопантомограмма) — объем информации для планирования имплантации ограничен, возможно оценить с определенной долей погрешности только один параметр — высоту и ориентировочно расположение некоторых анатомических образований или симптомов заболеваний, для первичной консультации данное исследование будет нужным
 Фото 3, 4 — данные, полученные при компьютерной томографии, позволяют оценить все параметры во всех плоскостях, на любом участке челюсти с минимальными искажениями и даже спланировать места будущей имплантации с углами установки имплантатов (указано желтыми стрелками) и расположением коронок.
Фото 3, 4 — данные, полученные при компьютерной томографии, позволяют оценить все параметры во всех плоскостях, на любом участке челюсти с минимальными искажениями и даже спланировать места будущей имплантации с углами установки имплантатов (указано желтыми стрелками) и расположением коронок.

Мой учитель по имплантологическому разделу стоматологии сказал: «Если раньше я искал показания для установки имплантатов и проводил три десятка операций в неделю, то теперь я ищу противопоказания, оперирую реже, но с более прогнозируемым результатом».

Во время повторной консультации врач рассказывает о том, как все будет происходить, какие понадобятся дополнительные компоненты при установке имплантатов и почему, как будет проводиться протезирование и в какие сроки лечение может быть завершено.

Оптимальным считается, если это проводится врачом, с демонстрацией Вам различных фотографий, ранее проведенных операций и последующего протезирования, данных Ваших рентгенограмм, гипсовых моделей челюстей, моделированием возможных вариантов лечения на экране компьютера. Такое наглядное сопровождение консультации более понятно пациенту, вызывает доверие и убеждает в профессионализме.

Если предполагается, что лечение будет проводиться разными докторами — хирургом и ортопедом, то планирование, а в идеальном варианте и оперативное вмешательство, должны проводиться совместно с присутствием стоматолога-ортопеда и, как уже было сказано выше, заключение ортопеда наиболее важно.

Нередко хирург и ортопед — один и тот же человек, и это, как правило, положительно воспринимается пациентом. При необходимости на консультации могут присутствовать ортодонт (исправление прикуса), пародонтолог (лечение заболеваний десен и слизистой), анестезиолог (планируется лечение под общим наркозом). На последний вид лечебной деятельности требуется отдельная лицензия.

Несмотря на огромное количество фирм, выпускающих имплантаты, и их разную цену (позвольте это выбирать врачу), в клинике, как правило, используются 3-4 системы имплантатов.

Подпишитесь на наш канал, чтобы не пропустить новые интересные ролики!

📚 Купить книгу книгу "Правдивая стоматология" на Wildberries: https://www.wildberries.ru/catalog/76744417/detail.aspx?targetUrl=GP

📚Купить книгу книгу "Ортодонтия" на Wildberries : https://www.wildberries.ru/catalog/76753472/detail.aspx?targetUrl=GP

🎬 Наш YouTube канал: https://www.youtube.com/channel/UC4AfFytfn_UtmJudPZajqYg

🤓 Портал - https://pravdastom.ru

Яндекс Дзен - https://clck.ru/eBYDS

📹 Rutube - https://clck.ru/eBYEj

✉️ Наша группа Вконтакте - https://vk.com/pravdastom

🛒 Наш Telegram-канал: https://t.me/pravdastom

🎮 Приложение Dental Scope - https://clck.ru/SfGW9