Добавить в корзинуПозвонить
Найти в Дзене
У зубного

На МРТ в брекетах и с ретейнером

Все чаще и чаще пациенты обращаются в стоматологические клиники, чтобы сняли брекеты или ретейнеры перед прохождением МРТ (магнитно-резонансной томографии). За разъяснениями обратились к врачу стоматологу-терапевту, кандидату медицинских наук Егане Маруфиди. 📢Ответ следующий: проходить МРТ можно в брекетах и с ретейнером. Некоторые элементы конструкции могут искажать показатели только если место исследование в области нахождения брекетов или ретейнера. Результат может быть размытым или расплывчатым. Исследование других органов или частей тела никаким образом не будут искажены. Процедура снятия брекетов является не только затратной, но и достаточно сложная при снятии и последующей установки. И еще, когда брекеты снимаются, то это может быть рискованно. Возможны сколы, трещины, повреждение эмали. Обоснование строится на результатах многочисленных экспериментов, которые проводились на разнообразных ортопедических приспособлениях: брекеты из нержавеющей стали, керамические брекеты (монок

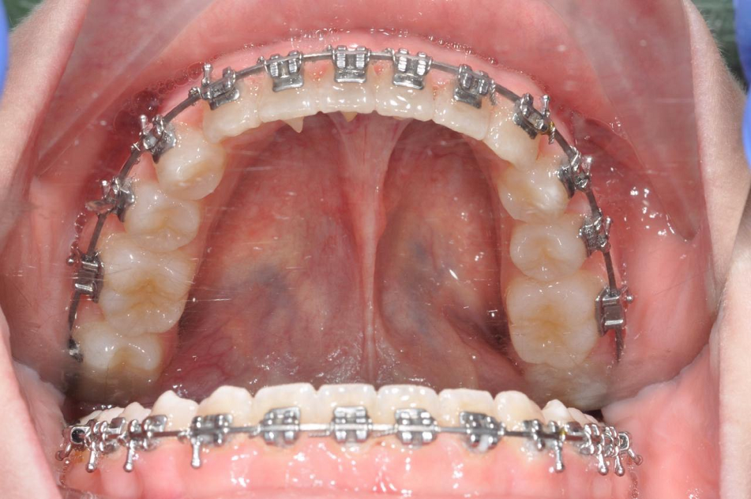
Все чаще и чаще пациенты обращаются в стоматологические клиники, чтобы сняли брекеты или ретейнеры перед прохождением МРТ (магнитно-резонансной томографии). За разъяснениями обратились к врачу стоматологу-терапевту, кандидату медицинских наук Егане Маруфиди.

фото: Егана Маруфиди
фото: Егана Маруфиди

📢Ответ следующий:

проходить МРТ можно в брекетах и с ретейнером. Некоторые элементы конструкции могут искажать показатели только если место исследование в области нахождения брекетов или ретейнера. Результат может быть размытым или расплывчатым. Исследование других органов или частей тела никаким образом не будут искажены.

Процедура снятия брекетов является не только затратной, но и достаточно сложная при снятии и последующей установки.

И еще, когда брекеты снимаются, то это может быть рискованно. Возможны сколы, трещины, повреждение эмали.

Обоснование строится на результатах многочисленных экспериментов, которые проводились на разнообразных ортопедических приспособлениях:

брекеты из нержавеющей стали, керамические брекеты (монокристаллический оксид алюминия), нижнечелюстной многопроволочный ретейнер (из нержавеющей стали).

В эксперименте проводили съемку головы с помощью МРТ 9 зон.

Исследования показали, что ни одна из ортопедических конструкций не вызвали значительных и значимых искажений изображений головы, которые были сделаны с помощью МРТ.

В любом случае, перед обследованием с помощью МРТ необходимо проконсультироваться со своим ортодонтом и рентгенологом.

Другие публикации канала:

Брекеты: почему больно или почему результат не закрепился

Заеды: причины появления болячек в уголках губ

Травма зуба: хочу, чтобы было красиво

Великолепная восьмерка: зубы мудрости

Дентофобия: 5 способов борьбы со страхом

Миофункциональная терапия: поговорим с врачом

Стоматология: профилактика наше всё

Серебрение: как метод лечения начальных форм кариеса

Существует прямая связь болезней зубов и десен с едой

Возможно ли лечение кариеса без сверления: поговорим с врачом

Когда впервые показать ребенка стоматологу: поговорим с врачом

Период беременности окутан «зубными» мифами

Зачем обращаться к ортодонту: прикус

Профессиональная чистка зубов у детей имеет свои особенности

Часто мамочки спрашивают: налет Пристли

Чистим зубки утром и вечером, откуда взялся кариес?

Неправильный прикус и как с этим "бороться"

Как часто логопед советует посетить стоматолога или ортодонта?

Сахар - актуальная тема для обсуждения: заметки врача

Выбор зубной щетки для ребенка

Все мамочки хотят, чтобы их детки были здоровы: от 0 до 5 лет

Молочные зубы: лечить нужно, а предупредить о заболевании можно

Витамины и минералы для зубов и десен

Лечение пульпита или как уберечь зуб от удаления: поговорим с доктором