Добавить в корзинуПозвонить
Найти в Дзене
Блог врача

Нейроцистицеркоз

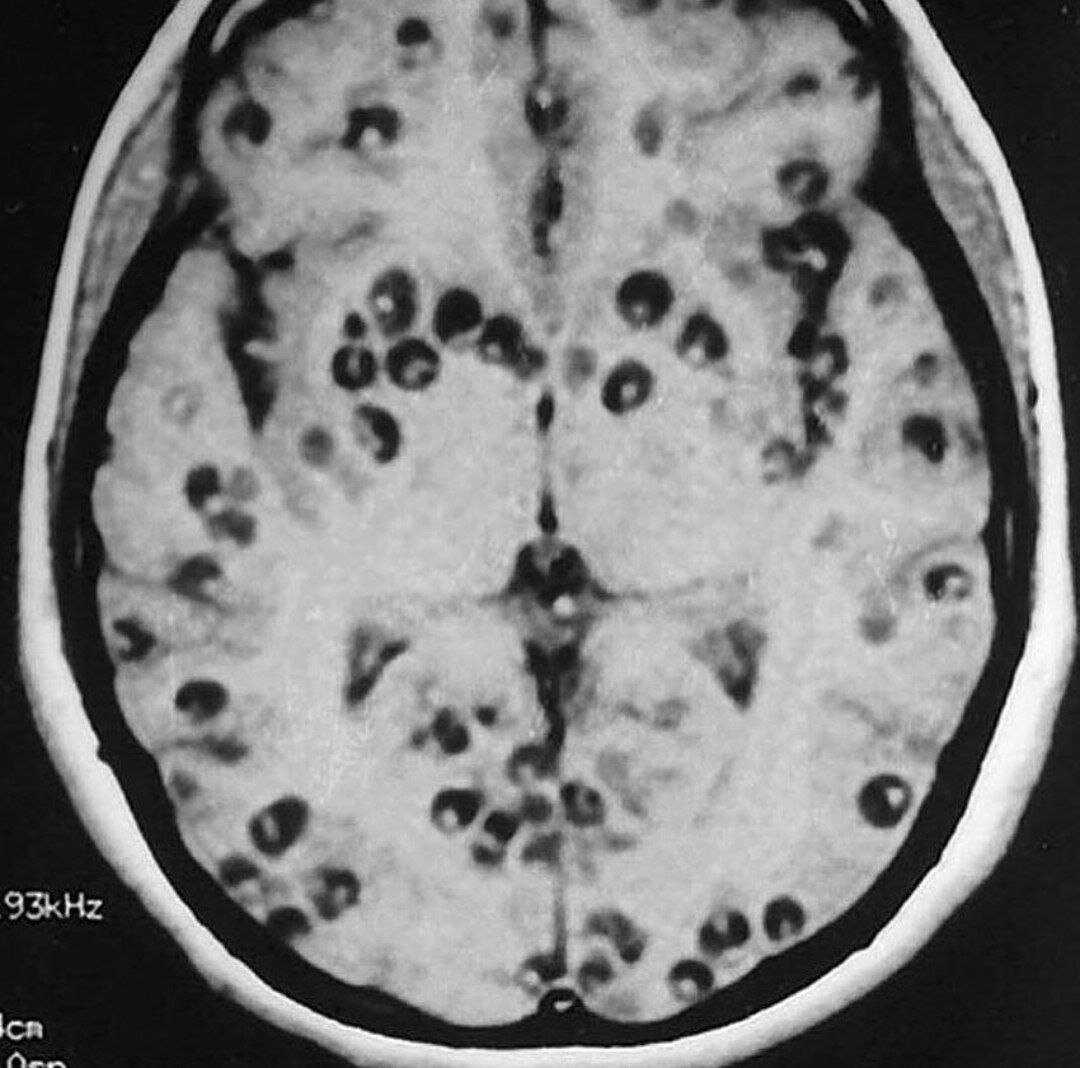
Нейроцистицеркоз – это паразитарное заболевание нервной системы, вызываемое личинками свиного цепня. Человек заражается при попадании яиц свиного цепня в желудочно-кишечный тракт. Первые симптомы чаще всего появляются через 5-7 лет после инфицирования. Чаще проявляется судорогами, повышением внутричерепного давления, нарушением интеллектуальных функций, но может протекать бессимптомно. Характерно волнообразное течение с периодами обострения и относительного улучшения состояния. Диагностика довольно трудна. Для лечения применяют как медикаментозные методы, так и оперативные вмешательства.

Нейроцистицеркоз – это паразитарное заболевание нервной системы, вызываемое личинками свиного цепня.

Человек заражается при попадании яиц свиного цепня в желудочно-кишечный тракт. Первые симптомы чаще всего появляются через 5-7 лет после инфицирования. Чаще проявляется судорогами, повышением внутричерепного давления, нарушением интеллектуальных функций, но может протекать бессимптомно.

Характерно волнообразное течение с периодами обострения и относительного улучшения состояния. Диагностика довольно трудна. Для лечения применяют как медикаментозные методы, так и оперативные вмешательства.