Найти в Дзене

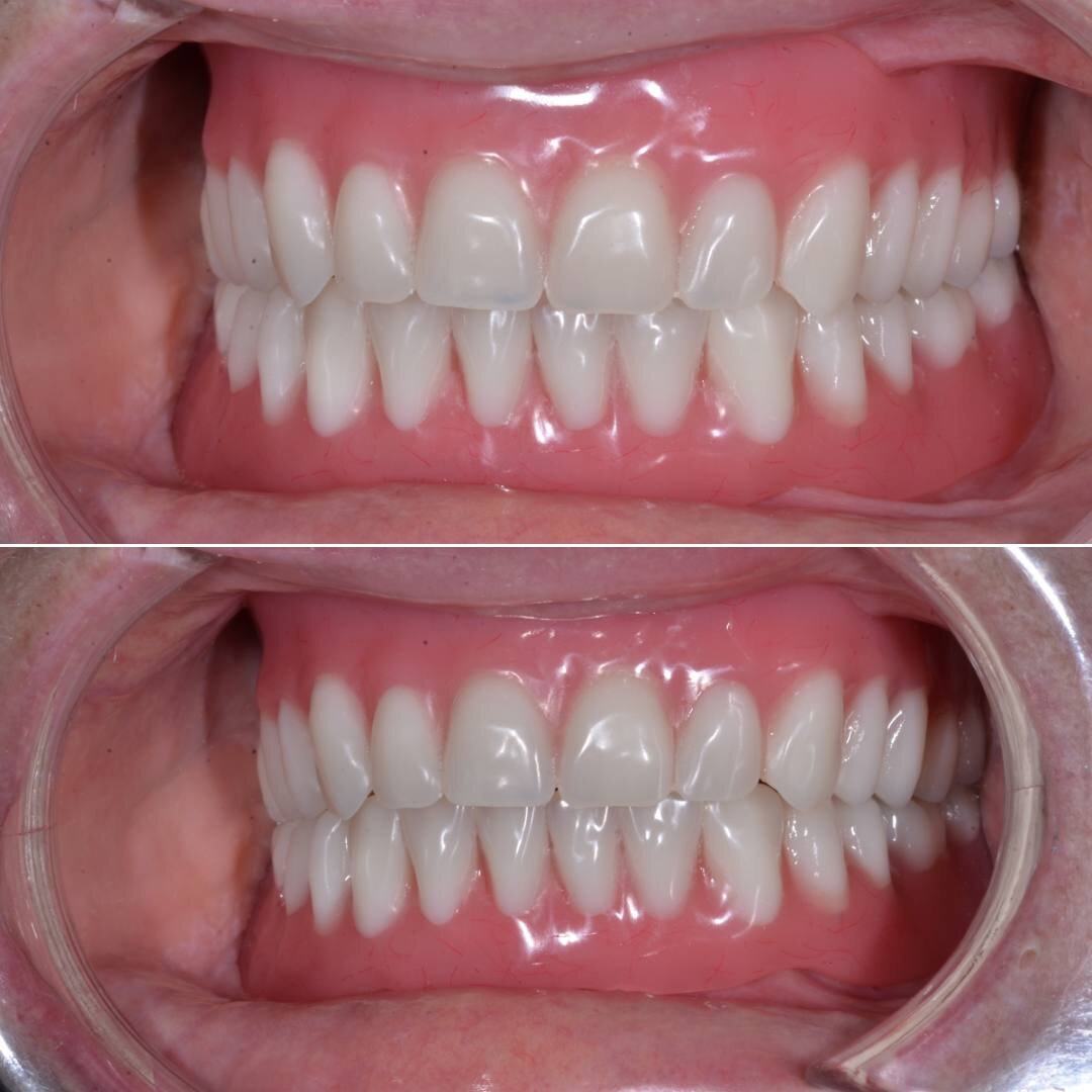
Тотальное восстановление зубов на имплантах

В этой статье вы узнаете, что такое система All-on-4, и почему это не метод экономии, а индивидуальный подход к каждому пациенту.

Итак, методика All-on-4 или как по-нашему это - "всё на четырёх".

Достаточно не новая методика, как многие о ней просто не знали, именитые производители имплантатов только сейчас начинают выпускать специальные имплантаты и супраструктуры на эти имплантаты.

Это и корейцы, и шведы, но, в целом, важен не сам имплантат, а методика

постановки и руки хирурга в первую очередь.

Но даже руки хирурга не так важны, как ортопед, который будет рассчитывать, какой протез станет на эти имплантаты.

Эта методика пошла, как и вообще большинство имплантационных методик, из Швеции. То есть наши шведские коллеги были вынуждены просто ставить 4 имплантата, потому что государством местному населению предоставляется бесплатно постановка именно 4 имплантатов. И как в Европе часто бывает, пациент приходил к стоматологу и говорил: "Вот у меня, соответственно, есть возможность поставить 4 имплантата, если вы мне не восстановите полностью всю челюсть, я вас засужу". Не зная, что делать, наши коллеги разработали вот такую удивительную методику.

All-on-4 - это не значит то, что вам будут восстановлены все 14 зубов, 14 не будут, скорее всего, восстановлены точно. В основном восстанавливают укороченный зубной ряд, по 12 зубов, то есть по 6-ые зубы - моляры. И это вполне нормально, потому что в ортопедии по 6-ые зубы считается законченный зубной ряд. Потому что сильно длинный рычаг по бокам, он может всё-таки вывернуть эти имплантаты, и 4 имплантата могут с этим не справиться.

Опять же, всё зависит, конечно, и от ширины челюсти пациента, может прийти огромный такой хоккеист или бабушка. В целом, это всё вымеряется математическими расчётами ортопедом.

Дело хирурга достаточно простое – закрутить эти 4 имплантата, в основном, если речь идёт о классической методике All-on-4, то это 4 имплантата, когда центральные закручиваются параллельно друг другу, а боковые чуть-чуть под наклоном под определённым градусом. Всё этого выверяется потом специальными угловыми абатментами, на это всё ставится протез.

Протез частично съёмный, то есть, в принципе, зачастую делается так, что сам пациент его не снимает, а он приходит в клинику, когда нужно, провести гигиену например, и его снимает ортопед, либо же он на замках специальных, и пациент может сам снять этот протез, прочистить его хорошо, это достаточно гигиенично, и поставить его не место, защёлкнуть, он держится крепко, чтобы вы понимали.

К сожалению, это вызывает часто предубеждения у пациентов, потому что съёмные протезы в нашей стране, они ассоциируются с этими старыми, кандулоровыми протезами, которые клались в стаканчик бабушками.

Нужно понимать то, что протез на имплантатах, он не имеет такого большого ложа, как съёмный протез, он не будет мешать языку, он не будет мешать вашей дикции, это полностью восстановит вашу жевательную функцию, что, конечно, то, к чему мы стремимся.

Многие клиники предлагают постановку на 6 имплантатах. Эта методика называется All-on-6.

Логично предположить то, что на 6-ти имплантатах, конечно, конструкция будет надежнее, чем на 4-ёх. Всё зависит от количества объёма кости, куда хирург может вкрутить этот имплантат.

Не нужно рассматривать подход All-on-4 или All-on-6 как какая-то попытка сэкономить на количестве имплантатов. В ценообразовании конечного протеза на имплантатах, конечно, ключевую роль играет именно сам протез, который изготавливается ортопедом. Не столь принципиально, поставите ли вы 4 или 6 имплантатов, в конечном счёте вы на этом не сэкономите.

Есть ещё один вариант восстановления зубного ряда на 4 или 6 имплантатах - это восстановление на балке, когда имплантаты все ставятся параллельно и скрепляются специальной балкой. В протезе делается противобалка и он защёлкивается на этой балке очень крепко и очень надёжно. И что самое важное - имплантаты держат друг друга. На самом деле, это самый надёжный вариант восстановления, и делается не в каждой клинике, не каждый ортопед это может сделать.

У нас ортопеды как раз специализируются на таком восстановлении, и мы вам скажем то, что это не сильно дороже, чем восстановить просто на 4-ёх имплантатах, но во много раз надёжнее, во много раз долговечнее, и даже, на мой взгляд, удобнее для пациентов, потому что на балке фиксировать гораздо удобнее.

Я хочу сказать единственное, что не важно, сколько у вас имплантатов стоит, важно потом появляться у ортопеда. Если это All-on-4 или All-on-6, и это всё можно снять, то ортопед это должен снять, посмотреть, как там дела, что с десной, что с имплантами, почистить всё, надеть это обратно.

Сам пациент должен всё вычищать, пользоваться ирригатором. Всё-таки, конечно, чем меньше имплантатов стоит во рту, тем конструкция менее восприимчива для нагрузки. Поэтому если есть возможность, то всё-таки стараться не перегружать протез на 4-ёх имплантатах, несмотря на то, что это надёжный, долговечный и прочный вариант протезирования.