Имплантация является более сложной и дорогостоящей процедурой по сравнению с протезированием. Однако она имеет ряд очевидных преимуществ. Впрочем, выбор в любом случае остаётся за вами. Megagen - мы за идеальные улыбки!
Имплантация является более сложной и дорогостоящей процедурой по сравнению с протезированием. Однако она имеет ряд очевидных преимуществ. Впрочем, выбор в любом случае остаётся за вами. Megagen - мы за идеальные улыбки!
...Читать далее
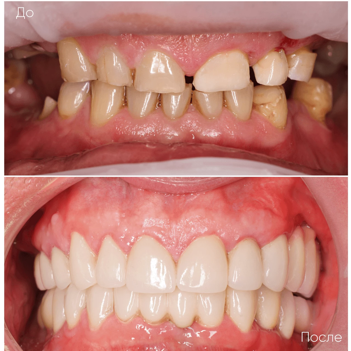
Имплантация является более сложной и дорогостоящей процедурой по сравнению с протезированием. Однако она имеет ряд очевидных преимуществ.
- Естественный вид. Имплантаты заменяют корень зуба, что позволяет имитировать естественный вид и функцию зубов, в отличие от протезов, которые могут быть заметными и вызывать дискомфорт.
- Долговечность. Импланты имеют высокую степень прочности и долговечности, поскольку они состоят из качественных материалов и внедряются в кости челюсти, что позволяет им продержаться многие годы и даже десятилетия.
- Удобство. Импланты не требуют специального ухода и обслуживания, как протезы, которые должны быть сняты для чистки. Просто чистите зубы и делайте регулярные проверки у стоматолога.
- Комфорт. Импланты часто более удобны, чем протезы, поскольку они чувствуются как естественные зубы, не требуют удаления здоровых зубов и не могут выпасть или сместиться.
- Здоровье. Импланты помогают сохранить здоровье челюстей и смежных зубов, так как они не требуют полного удаления зуба и не приводят к изменениям в кости челюсти, что бывает при протезировании.
- Безболезненность. Процедура имплантации зуба обычно проходит безболезненно, так как проводится под местной анестезией. Кроме того, после операции обычно наблюдается минимальный дискомфорт.
- Костная ткань. Имплантация зуба помогает сохранить костную ткань в челюсти, что позволяет предотвратить ее рассасывание и уменьшение размера, что может произойти при потере зуба.
- Отсутствие ограничений. Импланты позволяют пациентам наслаждаться любимой пищей и заниматься спортом без ограничений, что часто бывает при использовании протезов.
- Эстетика. Импланты обычно выглядят более эстетично, чем протезы, так как они имитируют естественный вид зубов и позволяют сохранить естественную форму и размер челюсти.
- Психологическое благополучие.
Впрочем, выбор в любом случае остаётся за вами.