Добавить в корзинуПозвонить
Найти в Дзене
Юлия Селютина

Сколько времени занимает брекет-лечение?

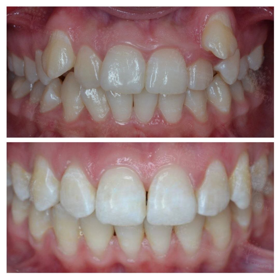
Гораздо проще и эффективнее прикус исправляется в период роста ребенка. Но корректировать положение зубов МОЖНО и НУЖНО в любом возрасте, если есть показания. Пациентке 16 лет. Это очень благоприятное время для ортодонтического лечения. Жалобы были на неровные зубы и торчащие клыки. В этом случае нам нужно было создать место в верхнем зубном ряду и опустить туда клыки. В другой клинике для этого предлагали удалить ЗДОРОВЫЕ «четверки»! Но нашему ортодонту Наргиз Исмайловой это не понадобилось. Она проводила лечение на металлической брекет-системе. Результата удалось достичь за 2 года. Пациентка вовремя обратилась к врачу, поэтому прогноз для лечения был самый благоприятный. И доктор Исмайлова пополнила свою копилку очередным крутым кейсом, браво! Срок лечения на брекет-системе рассчитывается индивидуально для каждого пациента. • Для исправления небольшого дефекта требуется примерно 1 год. • В период сменного прикуса (до 12 лет) можно справиться и за 6 месяцев. • В 12–15 лет в период а

Гораздо проще и эффективнее прикус исправляется в период роста ребенка.

Но корректировать положение зубов МОЖНО и НУЖНО в любом возрасте, если есть показания.

Пациентке 16 лет.

Это очень благоприятное время для ортодонтического лечения.

Жалобы были на неровные зубы и торчащие клыки.

В этом случае нам нужно было создать место в верхнем зубном ряду и опустить туда клыки.

В другой клинике для этого предлагали удалить ЗДОРОВЫЕ «четверки»!

Но нашему ортодонту Наргиз Исмайловой это не понадобилось.

Она проводила лечение на металлической брекет-системе.

Результата удалось достичь за 2 года.

Пациентка вовремя обратилась к врачу, поэтому прогноз для лечения был самый благоприятный.

И доктор Исмайлова пополнила свою копилку очередным крутым кейсом, браво!

Срок лечения на брекет-системе рассчитывается индивидуально для каждого пациента.

• Для исправления небольшого дефекта требуется примерно 1 год.

• В период сменного прикуса (до 12 лет) можно справиться и за 6 месяцев.

• В 12–15 лет в период активного роста и развития челюстей — 1–1,5 года.

• При тяжелой патологии прикуса ортолечение может растянуться на 3 года и дольше.

Для исправления прикуса нет ограничений по возрасту.

Если есть показания, то не стоит тянуть.

Потому что из-за патологии смыкания могут возникнуть проблемы с внешним видом, контуром лица, здоровьем височно-нижнечелюстного сустава и даже осанкой.

Записывайтесь на консультацию по телефону 📲+7 495 125 48 84

И приходите по адресу 📍Москва, ул. Крылатские холмы, д. 32, к. 2

ИМЕЮТСЯ ПРОТИВОПОКАЗАНИЯ. НЕОБХОДИМА КОНСУЛЬТАЦИЯ СПЕЦИАЛИСТА.