Найти в Дзене
Зубные хроники

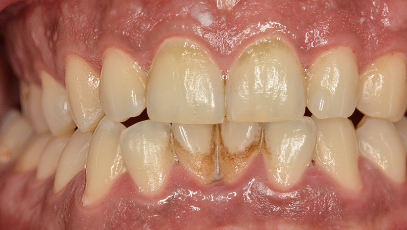
Что такое зубной камень?

Зубной камень появляется, когда на поверхности зубов и десен накапливается зубной налет, который в конечном итоге окаменевает. Зубной налет состоит из бактерий, слизи и пищевых остатков, которые образуются на зубах после еды. Если зубной налет не удаляется регулярным чисткой зубов, он может превратиться в твердую отложение - зубной камень. Зубной камень невозможно удалить домашними средствами, и требуется профессиональное удаление у стоматолога с помощью инструментов. Если зубной камень не удаляется, это может привести к развитию заболеваний десен и других проблем в полости рта: Поэтому рекомендуется регулярно удалять зубной камень с помощью профессиональной чистки у стоматолога и соблюдать хорошую гигиену полости рта. Megagen - мы за идеальные улыбки!

Зубной камень появляется, когда на поверхности зубов и десен накапливается зубной налет, который в конечном итоге окаменевает. Зубной налет состоит из бактерий, слизи и пищевых остатков, которые образуются на зубах после еды. Если зубной налет не удаляется регулярным чисткой зубов, он может превратиться в твердую отложение - зубной камень.

Зубной камень невозможно удалить домашними средствами, и требуется профессиональное удаление у стоматолога с помощью инструментов. Если зубной камень не удаляется, это может привести к развитию заболеваний десен и других проблем в полости рта:

  1. Повышенный риск кариеса: Зубной камень может образовываться в местах, которые трудно достичь зубной щеткой, что может привести к образованию кариеса.
  2. Пародонтит: Зубной камень может вызвать воспаление десен, которое может привести к пародонтиту - заболеванию, при котором разрушается костная ткань, которая поддерживает зубы.
  3. Плохой запах изо рта: Зубной камень может быть источником бактерий, вызывающих неприятный запах изо рта.
  4. Изменение прикуса: Некоторые люди могут начать жевать на одной стороне рта, избегая больных десен и зубов. Это может привести к изменению прикуса.
  5. Повышенная чувствительность зубов: Зубной камень может вызывать повышенную чувствительность зубов, что может привести к боли при еде и питье.

Поэтому рекомендуется регулярно удалять зубной камень с помощью профессиональной чистки у стоматолога и соблюдать хорошую гигиену полости рта.

Megagen - мы за идеальные улыбки!