Добавить в корзинуПозвонить
Найти в Дзене
У зубного

Травма зуба: хочу, чтобы было красиво

Поделимся рассказом из профессиональной жизни врача стоматолога-терапевта Еганы Маруфиди. Речь пойдет о травме переднего зуба. Моему пациенту 8,5 лет и первое что он сказал: "Хочу, чтобы было красиво".
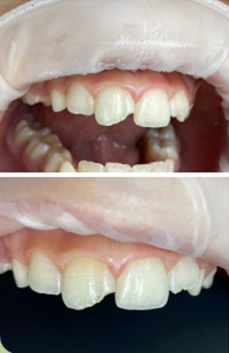
Красиво, так красиво! При ушибе нужно обязательно посмотреть, есть ли подвижность зуба. Как правило, ушиб сопровождается кровоточивостью и припухлостью. Иногда дети не сообщают родителям об ушибах. Поэтому, нужно быть внимательными, если: 🩺Осмотр: Травма зуба переднего (центрального) ,основного, в зоне улыбки, с гибелью пульпы.
Лечение подразумевается под микроскопом и здесь мне помогала эндодонтист Лала Вугаровна. Молодая, но дотошная и очень скрупулезная. Доктор делает свою работу долго и основательно. А значит это не 5 минут. Это 2-3 посещения и по 1,5 часа. Не каждый взрослый выдерживает, но это не про моего сорванца, что приложился зубами к качелям на детской игровой площадке. Он высидел посещения у микроскописта, а потом ко мне пришёл на ресторацию. И это не меньше 120 мину
Оглавление

Поделимся рассказом из профессиональной жизни врача стоматолога-терапевта Еганы Маруфиди. Речь пойдет о травме переднего зуба.

Моему пациенту 8,5 лет и первое что он сказал: "Хочу, чтобы было красиво".


Красиво, так красиво!

При ушибе нужно обязательно посмотреть, есть ли подвижность зуба. Как правило, ушиб сопровождается кровоточивостью и припухлостью. Иногда дети не сообщают родителям об ушибах.

Поэтому, нужно быть внимательными, если:

  • ребенок жалуется на боль в зубе или на подвижность зуба
  • если у зуба появиться свищ
  • появился запаха изо рта.
-2

🩺Осмотр:

Травма зуба переднего (центрального) ,основного, в зоне улыбки, с гибелью пульпы.
Лечение подразумевается под микроскопом и здесь мне помогала эндодонтист
Лала Вугаровна. Молодая, но дотошная и очень скрупулезная. Доктор делает свою работу долго и основательно. А значит это не 5 минут. Это 2-3 посещения и по 1,5 часа.

Не каждый взрослый выдерживает, но это не про моего сорванца, что приложился зубами к качелям на детской игровой площадке.

Он высидел посещения у микроскописта, а потом ко мне пришёл на ресторацию. И это не меньше 120 минут. Ведь надо восстановить не только анатомию, но и рельеф зуба режущего края и цвет.

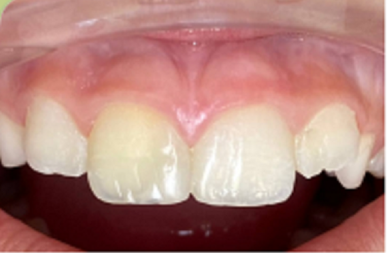
🎨Цвет

Цвет - самое сложное в зубе с удаленной пульпой. Нерв "погиб", а это уже не здоровый цвет, слегка серый, желтый, но не кисельно-белый. Зуб будем восстанавливать с учётом имеющего цвета. И здесь парнишка выдержал испытание на терпеливость и выносливость.

📢Рекомендация: берегите зубы, боритесь за сохранение пульпы. Не важно, временные молочные или постоянные зубы.

После завершения моей работы, мой пациент встал с кресла, поправил одежду, примятые волосы на затылке и направился к зеркалу.
Все это время я за ним наблюдала, так как задача стояла для меня "чтобы было красиво".

-3

Долго он не отвечал и внимательно рассматривал свой зуб, мой уже теперь зуб и через 17 томительных минут выдал: "как настоящий" и заулыбался.

Как же я была рада услышать эти слова. Ведь самые истинные критики и самые честные - это дети.

Другие публикации канала:

Великолепная восьмерка: зубы мудрости

Дентофобия: 5 способов борьбы со страхом

Гороскоп здоровья на неделю: с 20 по 26 марта 2023

Миофункциональная терапия: поговорим с врачом

Стоматология: профилактика наше всё

Серебрение: как метод лечения начальных форм кариеса

Существует прямая связь болезней зубов и десен с едой

Возможно ли лечение кариеса без сверления: поговорим с врачом

Когда впервые показать ребенка стоматологу: поговорим с врачом

Период беременности окутан «зубными» мифами

Зачем обращаться к ортодонту: прикус

Профессиональная чистка зубов у детей имеет свои особенности

Часто мамочки спрашивают: налет Пристли

Чистим зубки утром и вечером, откуда взялся кариес?

Неправильный прикус и как с этим "бороться"

Как часто логопед советует посетить стоматолога или ортодонта?

Сахар - актуальная тема для обсуждения: заметки врача

Выбор зубной щетки для ребенка

Все мамочки хотят, чтобы их детки были здоровы: от 0 до 5 лет

Молочные зубы: лечить нужно, а предупредить о заболевании можно

Витамины и минералы для зубов и десен

Лечение пульпита или как уберечь зуб от удаления: поговорим с доктором