Добавить в корзинуПозвонить
Найти в Дзене

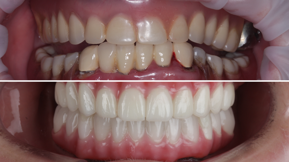
Имплантологи разводили руками: история пациентки, которая больше не стесняется своей улыбки

Потерю одного зуба многие воспринимают как дефект эстетического плана, однако поврежденный зубной ряд может привести к серьезным проблемам — большой нагрузке на остальные зубы, смещению прикуса, атрофии костной ткани, нарушению пропорций лица и многое другое. Несмотря на то, что имплантация сегодня — это прогрессивный способ восстановления зубов, практика показывает, что тема имплантатов по-прежнему актуальна. Меня зовут Березин Евгений Александрович, я — стоматолог-ортопед цифровой стоматологии MEDALL, и сегодня мы обратимся к сложному клиническому случаю на примере нашей пациентки с Юровым Тарасом Юрьевичем — челюстно-лицевым хирургом и имплантологом цифровой стоматологии MEDALL. В течение длительного времени у пациентки наблюдались проблемы с зубами, однако за установку имплантатов решительно никто не хотел браться ввиду сложности случая. Тогда женщина обратилась за помощью в клинику MEDALL к Тарасу Юрьевичу в надежде на другое экспертное мнение. Безусловно, красивой улыбка стала не

Потерю одного зуба многие воспринимают как дефект эстетического плана, однако поврежденный зубной ряд может привести к серьезным проблемам — большой нагрузке на остальные зубы, смещению прикуса, атрофии костной ткани, нарушению пропорций лица и многое другое. Несмотря на то, что имплантация сегодня — это прогрессивный способ восстановления зубов, практика показывает, что тема имплантатов по-прежнему актуальна. Меня зовут Березин Евгений Александрович, я — стоматолог-ортопед цифровой стоматологии MEDALL, и сегодня мы обратимся к сложному клиническому случаю на примере нашей пациентки с Юровым Тарасом Юрьевичем — челюстно-лицевым хирургом и имплантологом цифровой стоматологии MEDALL.

В течение длительного времени у пациентки наблюдались проблемы с зубами, однако за установку имплантатов решительно никто не хотел браться ввиду сложности случая. Тогда женщина обратилась за помощью в клинику MEDALL к Тарасу Юрьевичу в надежде на другое экспертное мнение. Безусловно, красивой улыбка стала не сразу: лечение началось с полного стоматологического чекапа и удаления всех зубов — процедура безболезненная и осуществляется за один прием. Затем было решено перейти к установке имплантатов на верхней и нижней челюсти: на верхней — фрезерованный титановый каркас, коронки из диоксида циркония, десну облицевали композитом, а на нижней — все то же самое, за исключением коронок из композита. Как правило, мы используем разный материал: сверху, например, цирконий для эстетики, а снизу — композит, чтобы была компенсация жесткости, в противном случае никто не сможет гарантировать, что имплантаты не выпадут или, что в будущем это не скажется на суставе и мышцах. К счастью, все беды остались позади, и теперь пациентка без стеснения может озарять улыбкой целый мир, не опасаясь, что кто-то разгадает ее секрет.

О тонкостях имплантации

Мы всегда делаем несколько примерок, чтобы удостовериться, что работа выполнена качественно и все плотно прилегает, а также проводим тест по Шеффилду. Если результат положительный — каркас не ерзает и не балансирует, значит с работой проблем не будет: винты не сломаются, а зубы — не отвалятся.

Когда Тарас Юрьевич ставит имплантаты, он делает редукцию гребня: вследствие удаления зубов изменяется анатомия альвеолярного гребня (верхняя часть отростка, которая образовывается на месте утраченных зубов), поэтому его коррекция (то есть выравнивание) необходима для успешного протезирования. Важно, чтобы имплантаты стояли на одном уровне: титановые винтики, которые держат всю конструкцию — очень нежные и мягкие, поэтому их едва затягивают, а все для того, чтобы не было лишнего напряжения. Если винты ломаются, а зубы болтаются и отваливаются — это значит, что работа по установке имплантатов была выполнена с ошибками еще на самом начальном этапе.

В работе необходимо учитывать мягкотканные ориентиры — поддержку нижней и верхней губы. К примеру, возрастные морщины в нижней трети лица, а также тургор или недостаток объема губы говорит о том, что изначально был неправильно определен объем работ, из-за чего девушка визуально может “состариться” на несколько десятков лет и превратиться в старушку. Грамотный имплантолог такого не допустит.

Стоматолог в наши дни — не просто зубной врач, но и немного психолог, когда необходимо выстроить доверительные отношения с пациентом и определить, что послужило причиной обращения больного: врач уточняет, где работает, и чем занимается пациент. Был случай, когда в клинику обратился пациент, у которого гнили зубы исключительно на одной стороне, в то время как с зубами на другой — все было в порядке. Простой вопрос: “Кто вы по профессии?” сначала немного удивил и озадачил больного, но потом он нехотя признался, что работает охранником, а в ночные дежурства спит на пульте. Так, мы узнали, что пульт нещадно облучал мужчину электромагнитным излучением, из-за чего страдали не только зубы: вредные волны добрались до макушки головы, “проев” там плешь. Зубы мы, разумеется, вылечили, а пациент заверил, что найдет себе другое место для сна. Можно сказать история с хэппи-эндом, впрочем по-другому в MEDALL и быть не может: врачи делают все возможное, чтобы подарить своему пациенту красивую и здоровую улыбку, а задача клиники — гарантировать желаемый результат на всю жизнь.

С вами был Березин Евгений Александрович — стоматолог-ортопед цифровой стоматологии MEDALL. Буду рад вам помочь, обращайтесь!