Найти в Дзене

Почему темнеют зубы у взрослых и детей, профилактика

Красивая улыбка — это всегда белые и здоровые зубки. Но потемнение эмали — признак патологии, которая может полностью испортить здоровье полости рта. Почему темнеют зубы у взрослых? Перечисляем 9 основных причин: 1. Недостаточная гигиена ротовой полости. При нехватке санитарно-гигиенических мероприятий в межзубном пространстве скапливаются остатки пищи и налёта. Со временем отложения затвердевают, превращаясь в камень, который разрушает целостность эмали. Пораженные зубы полностью или частично меняют цвет. При этом устранить камни с помощью обычной щётки уже нельзя, поэтому Вам придётся обращаться за стоматологической помощью. 2. Частое использование ополаскивателей с хлоргексидином. Жидкости с таким веществом используются для полоскания рта в лечебных целях ограниченное время. Избыточное воздействие хлоргексидина приводит к окрашиванию эмали или образованию на зубной поверхности темных пятен. 3. Передозировка фтором. В минимальных дозах химический элемент полезен. Он присутствует в со
Оглавление
  • Время прочтения: 5 мин

Красивая улыбка — это всегда белые и здоровые зубки. Но потемнение эмали — признак патологии, которая может полностью испортить здоровье полости рта.

Почему темнеют зубы у взрослых?

Перечисляем 9 основных причин:

1. Недостаточная гигиена ротовой полости.

При нехватке санитарно-гигиенических мероприятий в межзубном пространстве скапливаются остатки пищи и налёта. Со временем отложения затвердевают, превращаясь в камень, который разрушает целостность эмали. Пораженные зубы полностью или частично меняют цвет. При этом устранить камни с помощью обычной щётки уже нельзя, поэтому Вам придётся обращаться за стоматологической помощью.

2. Частое использование ополаскивателей с хлоргексидином.

Жидкости с таким веществом используются для полоскания рта в лечебных целях ограниченное время. Избыточное воздействие хлоргексидина приводит к окрашиванию эмали или образованию на зубной поверхности темных пятен.

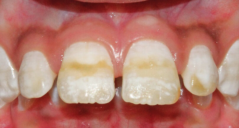
3. Передозировка фтором.

В минимальных дозах химический элемент полезен. Он присутствует в составе зубных паст, снижая риск развития кариеса. Но в населённых пунктах с высоким содержанием фтора в питьевой воде наблюдается массовая заболеваемость эндемическим флюорозом: на зубах появляются очаги жёлтого и коричневого цвета, часто присутствуют белые вкрапления.

Эндемический флюороз
Эндемический флюороз

4. Употребление напитков с красителями.

Если Вы пьете чёрный или зелёный чай больше 1-ого раза в сутки или кофейные напитки, или кислые соки, то создаете риск окрашивания эмали в более темный оттенок. Мы не призываем Вас исключить все это из рациона, лишь рекомендуем ограничить их употребление и использовать специальные ополаскиватели после каждого приема пищи, наприме R.O.C.S. Активный кальций.

5. Курение.

Табак провоцирует потемнение зубной эмали и развитие кариеса. В процессе курения выделяются смолы, из-за которых зубы сначала становятся жёлтыми, а со временем коричневыми.

6. Внутренний кариес.

Один из самых коварных видов кариозного поражения. Болезнь часто появляется из-за нарушения протокола стоматологического лечения. На ее развитие указывает повышение чувствительности зуба к горячей и холодной пищи. Появляется матовый оттенок, потом поражённый зуб темнеет. Потребуется сделать снимок и повторное лечение.

7. Инфекция.

Зуб чернеет, когда его поражает периапикальная гранулёма. Это происходит из-за повреждения или травмы верхней части, откуда потом к корню проникает инфекция. Здесь поможет только стоматолог.

Периапикальная гранулёма поражает зуб
Периапикальная гранулёма поражает зуб

8. Ошибки при лечении каналов.

Недорогие материалы постепенно рассасываются. В каналах появляются пустоты, которые становятся "воротами" для болезнетворных бактерий. Катаральный процесс сопровождается скапливанием гноя. Старые пломбы с добавлением цинка тоже окрашивают эмаль в коричневый цвет.

9. Старение организма приводит к изменению структуры зубного ряда, из-за чего меняется их оттенок.

Почему чернеют молочные зубы у ребенка

-4

На их здоровье влияют экология, наследственность, протекание беременности у матери, наличие генетических особенностей. Молочные зубки активно портятся от продуктов ненатурального происхождения, от ежедневного употребления газированных напитков и кондитерских изделий.

Причины потемнения детских зубов:

  • Нарушение усвоения кальция.
  • Метаболический синдром (один из видов ожирения).
  • Заболевание слюнных желез.
  • Терапия препаратами с повышенным содержанием железа.
  • Поражение болезнетворными бактериями из-за плохой гигиены.

Прием антибиотиков (например, доксициклина или тетрациклина) часто становится причиной потемнения эмали у пациентов детского возраста. Вещества скапливаются в зачатках зубов, потому никак не влияют на зубной ряд взрослых. Приём упомянутых фармакологических средств запрещён при вынашивании ребёнка.

При потемнении зубов по бокам причина может крыться в их повреждении. В некоторых лечебных учреждениях проводят процедуру серебрения для избавления от кариеса на начальном этапе его развития. В результате эмаль в месте нанесения покрытия чернеет.

Профилактика потемнения зубов

-5

Для сохранения природной белизны эмали рекомендуем придерживаться несложных правил:

  1. Чистите зубки утром и вечером фторосодержащей пастой. После трапезы межзубные участки обрабатывайте нитью или ёршиком, например, бренда Cupaprox.
  2. Откажитесь от курения. Если избавиться от пагубных привычек не получается, купите профессиональные отбеливающие средства для домашнего использования.
  3. После употреблении красящих продуктов проводите ополаскивание рта специальными профилактическими жидкостями, а лучше почистите зубки.
  4. Проходите осмотр у стоматолога каждые полгода и делайте профессиональную чистку.
  5. Своевременно лечите хронические заболевания.
  6. Осуществляйте подбор подходящих лекарственных препаратов с учётом анамнеза.

Если зубы по непонятным причинам начали темнеть, не используйте домашнее отбеливание. Обратитесь к стоматологу за консультацией и диагностикой.