Добавить в корзинуПозвонить
Найти в Дзене
Патентные Технологии

Ученые предупреждают: наночастицы пищевых красителей могут повредить кишечник человека

13 МАРТА 2023 Г. Согласно недавнему исследованию ученых из Корнеллского и Бингемтонского университетов, наночастицы оксида металла, которые часто используются в качестве пищевых красителей и средств против слеживания в пищевой промышленности, могут вызвать повреждение определенных отделов кишечника человека. “Мы обнаружили, что специфические наночастицы – диоксид титана и диоксид кремния, которые обычно используются в пище, могут негативно влиять на функциональность кишечника”, – сказал старший автор Элад Тако, доцент кафедры пищевых наук в Корнелле. “Они оказывают негативное влияние на ключевые пищеварительные и всасывающие белки”. В своем исследовании исследовательская группа вводила эквивалентные человеческим дозам дозы диоксида титана и диоксида кремния в систему лаборатории Tako in vivo, которая обеспечивает реакцию здоровья, очень похожую на реакцию человеческого организма. Ученые ввели наночастицы в куриные яйца. После того, как цыплята вылупились, ученые обнаружили изменения в

13 МАРТА 2023 Г.

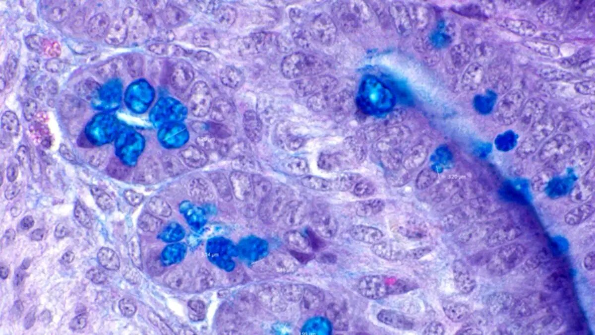
Поперечный разрез куриного кишечника с клетками, на которые могут повлиять пищевые наночастицы. Источник: Корнельский университет
Поперечный разрез куриного кишечника с клетками, на которые могут повлиять пищевые наночастицы. Источник: Корнельский университет

Согласно недавнему исследованию ученых из Корнеллского и Бингемтонского университетов, наночастицы оксида металла, которые часто используются в качестве пищевых красителей и средств против слеживания в пищевой промышленности, могут вызвать повреждение определенных отделов кишечника человека.

“Мы обнаружили, что специфические наночастицы – диоксид титана и диоксид кремния, которые обычно используются в пище, могут негативно влиять на функциональность кишечника”, – сказал старший автор Элад Тако, доцент кафедры пищевых наук в Корнелле. “Они оказывают негативное влияние на ключевые пищеварительные и всасывающие белки”.

В своем исследовании исследовательская группа вводила эквивалентные человеческим дозам дозы диоксида титана и диоксида кремния в систему лаборатории Tako in vivo, которая обеспечивает реакцию здоровья, очень похожую на реакцию человеческого организма.

Ученые ввели наночастицы в куриные яйца. После того, как цыплята вылупились, ученые обнаружили изменения в функциональных, морфологических и микробных биомаркерах в крови, двенадцатиперстной кишке (верхняя часть кишечника) и слепой кишке (мешочек, соединенный с кишечником).

“Мы потребляем эти наночастицы ежедневно”, - сказал Тако. “Мы действительно не знаем, сколько мы потребляем; мы действительно не знаем долгосрочных последствий этого потребления. Здесь мы смогли продемонстрировать некоторые из этих эффектов, что является ключом к пониманию здоровья и развития желудочно-кишечного тракта ”.

Несмотря на открытие, ученые пока не призывают к прекращению использования этих наночастиц.

“Основываясь на информации, мы предлагаем просто быть в курсе”, - сказал Тако. “Науке необходимо провести дальнейшие исследования на основе наших результатов. Мы открываем дверь для обсуждения ”.

Ссылка: “Воздействие наночастиц оксида металла пищевого качества изменяет микробные популяции кишечника, функциональность и морфологию мембран щеточной каймы in Vivo (Gallus gallus)” Жаклин Ченг, Николай Колба, Альба Гарсия-Родригес, Клаудия Н.Х. Маркес, Гретхен Дж. Малер и Элад Тако, 9 февраля 2023 года, Антиоксиданты.
DOI: 10.3390/antiox12020431