Найти в Дзене

Скученность зубов

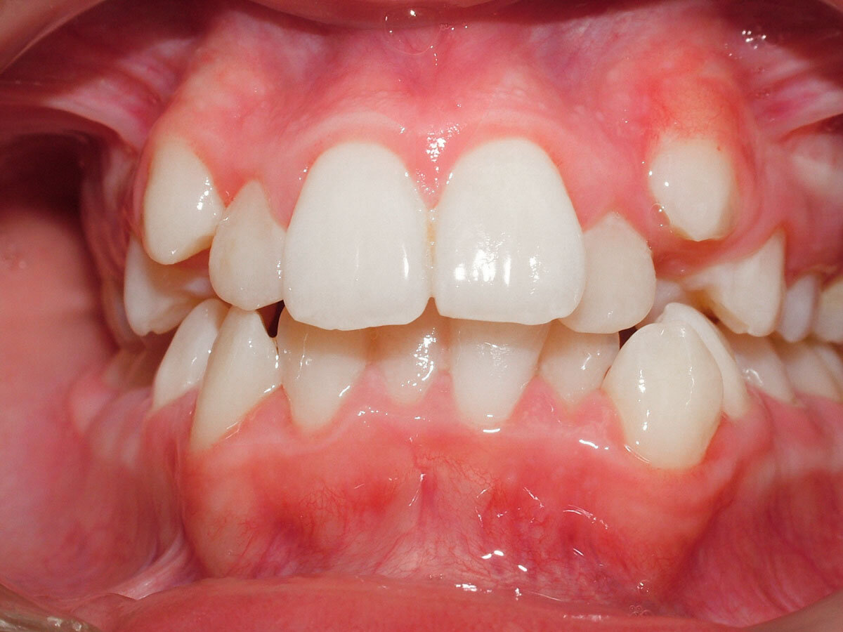
Скученность зубов – это одна из распространенных ортодонтических проблем, связанная со строением зубочелюстной системы. Её суть заключается в том, что количество зубов на определенном участке челюсти гораздо выше, чем её протяженность. Из-за этого зубы начинают кучковаться, что приводит к вытеснению некоторых зубов из ряда. Зачастую нехватка места для правильной позиции зуба приводит к тому, что зуб начинает расти вне зубного ряда. Основные причины развития аномалии носят врожденный или приобретенный характер. К врожденному относятся уменьшенный размер челюсти, увеличение размера зубов или наличие зубов, не прорезываются, а продолжают оставаться в костной ткани. К приобретенному – прорезывание зуба мудрости, раннее удаление молочных зубов, патология ЛОР-органов, соматические расстройства и вредные привычки в детском возрасте. Узнать причину сможет только врач-ортодонт, проведя диагностику в клинике. Из очевидных недостатков данной аномалии можно выделить плохую эстетику зубного ряда и

Скученность зубов – это одна из распространенных ортодонтических проблем, связанная со строением зубочелюстной системы. Её суть заключается в том, что количество зубов на определенном участке челюсти гораздо выше, чем её протяженность. Из-за этого зубы начинают кучковаться, что приводит к вытеснению некоторых зубов из ряда. Зачастую нехватка места для правильной позиции зуба приводит к тому, что зуб начинает расти вне зубного ряда.

-2

Основные причины развития аномалии носят врожденный или приобретенный характер. К врожденному относятся уменьшенный размер челюсти, увеличение размера зубов или наличие зубов, не прорезываются, а продолжают оставаться в костной ткани. К приобретенному – прорезывание зуба мудрости, раннее удаление молочных зубов, патология ЛОР-органов, соматические расстройства и вредные привычки в детском возрасте. Узнать причину сможет только врач-ортодонт, проведя диагностику в клинике.

-3

Из очевидных недостатков данной аномалии можно выделить плохую эстетику зубного ряда и сложности для правильной качественной гигиены, которые впоследствии приведут к развитию различных заболеваний полости рта и зубочелюстной системы, вплоть до потери зубов.

Выбор лечения напрямую зависит от степени развития аномалии, одно можно утверждать точно – ортодонтическое лечение необходимо даже при минимальных отклонениях. Чаще всего для лечения этой аномалии используют, брекеты, элайнеры, съемные пластинки, трейнеры для зубов, активаторы. Однако существуют и другие варианты, например сепарация, то есть процедура разобщения зубов с помощью уменьшения толщины эмалевого слоя. Если причиной стала восьмёрка, то зачастую эту проблему решают её удалением. Эстетические недостатки можно нивелировать при помощи керамических накладок или виниров.

-4

Лучший способ предотвратить появление и развитие скученности зубов – регулярно посещать стоматолога. Узнать больше о дефектах полости рта, возможностях их лечения вы можете на бесплатной консультации в сети клиник «Дентал Гуру», по телефону +7 (499) 504-42-80 или на сайте: https://dentalgu.ru/