Найти в Дзене
Readovka.news

Окаменевший плод ребенка привел к смерти женщины из Конго

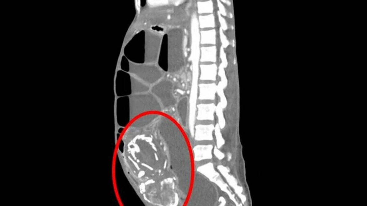
Он сдавил погибшей тонкую кишку. Окаменевший плод ребенка, который в себе носила жительница Конго, привел к ее смерти из-за острого голода. Отмечается, что он сдавил ей тонкую кишку, сообщает Daily Mail. О нестандартном случае рассказали сотрудники Медицинского университета SUNY Upstate. По их словам, жительница Конго обратилась к медикам американского города Нью-Йорк с жалобами на спазмы в брюшной полости.

Так, в ходе диагностики был обнаружен окаменевший плод ребенка, который был кальцинирован. Отмечается, что пациентка отказалась от предложенного лечения, смерть наступила от недоедания. Также врачи рассказали, что во время своей 9-ой беременности женщина посетила клинику в лагере беженцев в Конго сообщив, что ее ребенок не подает признаков жизни. Медики сказали ей, что у плода нет сердцебиения, а также порекомендовали ей вернуться через две недели, если не будет самопроизвольного выкидыша. Однако она так и не вернулась из-за обвинений окружающих в умервлении плода. Ранее Readovka писала о том, что десятки тысяч американцев вышли на митинги после отмены конституционного права об абортах.