Найти в Дзене
Ирина Голованова

Вредно ли делать много рентгеновских снимков зубов? Как это влияет на риски рака?

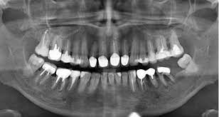
И другие важные вопросы о стоматологических «рентгеновских снимках» Рентгеновские снимки часто делают не один раз, а много раз во время лечения зубов. Пациенты опасаются, что это нанесет ущерб их здоровью и даже вызовет рак. Чтобы развеять их опасения, мы рассказываем им, как работает лучевая диагностика, насколько она безопасна и как часто ее можно проводить. Как «рентген» может увидеть то, что скрыто? Основой любого рентгеновского аппарата является катодная трубка, испускающая рентгеновские лучи (так их называли сами первооткрыватели). Луч проходит через тело пациента и улавливается расположенным за ним детектором: рентгеночувствительной пленкой или цифровой пластиной. Различные ткани поглощают рентгеновские лучи по-разному. Эти отличия позволяют получать изображения внутренних органов больного на кинопленку или на экран компьютера. Наиболее плотные структуры (кости) показаны на изображении белым цветом, более мягкие структуры, такие как мышцы и жир, показаны серым цветом, а воздушн

И другие важные вопросы о стоматологических «рентгеновских снимках» Рентгеновские снимки часто делают не один раз, а много раз во время лечения зубов. Пациенты опасаются, что это нанесет ущерб их здоровью и даже вызовет рак. Чтобы развеять их опасения, мы рассказываем им, как работает лучевая диагностика, насколько она безопасна и как часто ее можно проводить.

взято с общего доступа
взято с общего доступа

Как «рентген» может увидеть то, что скрыто? Основой любого рентгеновского аппарата является катодная трубка, испускающая рентгеновские лучи (так их называли сами первооткрыватели). Луч проходит через тело пациента и улавливается расположенным за ним детектором: рентгеночувствительной пленкой или цифровой пластиной. Различные ткани поглощают рентгеновские лучи по-разному. Эти отличия позволяют получать изображения внутренних органов больного на кинопленку или на экран компьютера. Наиболее плотные структуры (кости) показаны на изображении белым цветом, более мягкие структуры, такие как мышцы и жир, показаны серым цветом, а воздушные карманы показаны черным цветом. Нужен ли рентген во время лечения зубов? Это зависит. Фактически визуально врач может оценить состояние только видимой наддесневой части зуба, остальные ⅔ скрыты под десной. Проблемы могут возникать не только с зубами, но и с тканями вокруг корней зубов (пародонтом) и челюстной костью. Рентгеновские снимки помогают определить, все ли в порядке с этими структурами. По этим снимкам можно диагностировать, например, пародонтит (воспаление соединительной ткани в корне зуба), абсцессы, кисты или кариес, образовавшиеся под пломбами. Перед лечением стоматолог сделает рентген, чтобы спланировать будущую операцию. И в процессе, и после - следить за тем, чтобы все было сделано правильно. Людям со здоровыми зубами и низким риском возникновения проблем рекомендуется проходить полное стоматологическое обследование каждые 2-3 года в целях профилактики. Это позволит своевременно выявить скрытые патологии, не допустить их перехода в запущенные стадии. После эндодонтического лечения (лечения каналов) лучше всего каждый год делать рентген. Но вредна ли радиация? Все зависит от дозировки. К выводам об опасности ионизирующего излучения ученые пришли, изучая последствия крупных катастроф (Хиросима, Нагасаки, Чернобыль). Но в тех случаях люди получали очень высокие дозы радиации. До сих пор нет надежных исследований, которые могли бы продемонстрировать вред малых доз, особенно используемых в медицинских целях. Очевидно, что лучевая диагностика никак не влияет на наше здоровье. Или, если это так, это не так ужасно, как это часто изображается. Но есть ли пределы радиационного облучения? есть. Согласно российскому законодательству доза облучения при проведении рентгенодиагностических процедур не должна превышать 1000 мкЗв (микрозивертов) в год. Причем это правило специально направлено на пациентов, что фактически является «перестраховкой». Например, для рентгенологов, рентгенологов и многих других профессий допустимая доза облучения в 20 раз выше — 20 000 мкЗв в год. Чтобы понять, насколько велики или малы эти цифры, приведем конкретные примеры: ► Мы подвергаемся воздействию около 3000 мкЗв в год от естественных источников радиации (космические лучи и радон, выделяемый из почвы). Хотя естественные уровни радиации сильно различаются по географическим регионам. Где-то она может быть в 200 раз выше средней. ► Доза облучения при трансатлантическом перелете составляет 80 мкЗв. ► Доза облучения при маммографии (маммографии) - 400 мкЗв. Каково количество «рентгеновского» излучения в зубах? Сколько фотографий можно сделать во время лечения? В стоматологии существует несколько видов рентгенологических исследований, но все они дают небольшое количество радиации. Например, цифровая рентгенография (снимки зубов) имеет экспозицию 1–3 мкЗв. Пациенты получили дозы 13-17 мкЗв при цифровой ортотомографии и 25-30 мкЗв при пленочной. Компьютерная томография (КТ) зубных рядов дала нагрузку 45-60 мкЗв. В зависимости от допустимой дозы облучения пациенты могут пройти до 500 рентгенограмм, 80 цифровых ортотомограмм и 20 КТ в год. Частота рентгенографии определяется врачом. При необходимости рентген можно делать несколько раз в день. В любом случае доза облучения, которую он получит, невелика. Обычно он в десять раз меньше, чем рентген любого другого органа (просто потому, что другие органы больше по размеру, чем зубы). А как же рак и лучевая болезнь? Я уверен, что не заболею? О лучевой болезни можно говорить при дозах облучения выше 0,7 Зв, или 700 000 мкЗв. При дозах выше 100 000 мкЗв значительно увеличивался риск неопластического заболевания. Даже если сложить дозы облучения от естественных источников и дозы от медицинских осмотров, число все равно будет меньше. Поэтому о проблемах со здоровьем можно не беспокоиться. Говорят, красное вино защищает от радиации. 2. Можно ли его пить после рентгена? Очевидно, это миф. Ни в одном справочнике по радиационной защите не рекомендуется пить красное вино или любой другой алкоголь. Поэтому пациент сам решает, что пить, когда пить и сколько пить.