Добавить в корзинуПозвонить
Найти в Дзене

Низкие тромбоциты

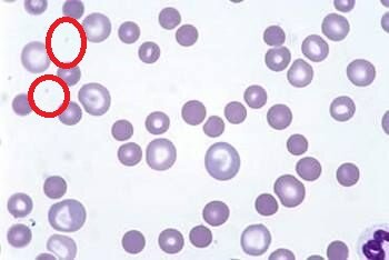
Наша кровь – удивительная штука. Если посмотреть на нее в микроскоп под большим увеличением, то, помимо крупных клеток крови, можно увидеть еще и крошечные «осколки». На картинке выше они обведены красным. Когда-то первые исследователи крови считали эти осколки просто частицами пыли, загрязняющими препарат, и только к концу 19-го века смогли распознать в них полноценные клеточные элементы, которые, как оказалось, странным образом склеиваются между собой в месте повреждения сосуда. При снижении количества тромбоцитов (тромбоцитопении) нарушается сложный механизм гемостаза – процесса, отвечающего за остановку кровотечения и нормальное состояние сосудистой стенки. Клинически это может проявляться повышенной кровоточивостью, появлением на коже характерной мелкоточечной сыпи и синячков. Если при сдаче общего анализа крови у Вас выявили тромбоцитопению, врач прежде всего назначит Вам анализ по Фонио – это когда количество тромбоцитов считает «вручную» врач-лаборант, поскольку в определенных
Оглавление

Наша кровь – удивительная штука. Если посмотреть на нее в микроскоп под большим увеличением, то, помимо крупных клеток крови, можно увидеть еще и крошечные «осколки». На картинке выше они обведены красным.

Когда-то первые исследователи крови считали эти осколки просто частицами пыли, загрязняющими препарат, и только к концу 19-го века смогли распознать в них полноценные клеточные элементы, которые, как оказалось, странным образом склеиваются между собой в месте повреждения сосуда.

  • Так началось изучение этих удивительных элементов крови, которые, даже не будучи полноценными клетками, а всего лишь частичками крупных клеток, находящихся в костном мозге (мегакариоцитов), представляют собой анатомически и функционально сложнейшие структуры, при отсутствии которых человек не проживет и нескольких дней.

При снижении количества тромбоцитов (тромбоцитопении) нарушается сложный механизм гемостаза – процесса, отвечающего за остановку кровотечения и нормальное состояние сосудистой стенки.

Клинически это может проявляться повышенной кровоточивостью, появлением на коже характерной мелкоточечной сыпи и синячков.

-2

Если при сдаче общего анализа крови у Вас выявили тромбоцитопению, врач прежде всего назначит Вам анализ по Фонио – это когда количество тромбоцитов считает «вручную» врач-лаборант, поскольку в определенных ситуациях аппарат может ошибаться с подсчетом.

И если тромбоциты действительно понижены, далее идет поиск причины.

Тромбоцитопения может быть симптомом серьезных нарушений, происходящих в организме, а не отдельным гематологическим заболеванием

Часто для верной постановки диагноза приходится действовать ступенчато – то есть идти в лабораторию и сдавать анализы, возможно, придется несколько раз. Дорогие пациенты, иногда без этого обойтись нельзя!

Вот несколько примеров, когда диагностический поиск при первично выявленном снижении тромбоцитов приводил к совершенно различным диагнозам и, соответственно, разным подходам к лечению.

Не буду брать ситуации, когда конечным диагнозом оказывались непосредственно заболевания крови, например, иммунная тромбоцитопения или острый лейкоз.

Случай первый.

Пациент 40 лет, в анализе крови тромбоциты 80 тыс/мкл (при норме от 150 до 420 тыс/мкл).

Также обращает на себя внимание низкий гемоглобин при нормальных запасах железа, большие размеры эритроцитов.

Заподозрен дефицит витаминов группы В, что и было подтверждено при дообследовании.

После лечения уровень тромбоцитов нормализовался.

Случай второй.

Исходные данные те же – пациент 42 лет, в анализе крови тромбоциты 80 тыс/мкл. Других изменений в общем анализе крови нет.

  • При осмотре обращала на себя внимание увеличенная, болезненная при пальпации печень.

Больной был направлен на дообследование, при котором был выявлен вирусный гепатит С.

Антитела, вырабатывающиеся против вируса гепатита С, за компанию атакуют и тромбоциты, что приводит к безвременной и бесславной гибели последних.

После курсов противовирусной терапии уровень тромбоцитов практически нормализовался в течение года.

Случай третий – о важности анамнеза.

При расспросе 54-летнего пациента, обратившегося в связи с тромбоцитопенией около 60 тыс/мкл, выяснилось, что он длительно принимает противосудорожный препарат, содержащий вальпроевую кислоту.

  • Если при таком лечении не контролировать концентрацию вальпроевой кислоты, можно неправильно подобрать дозу и получить передозировку препарата со всеми вытекающими токсическими эффектами, в том числе тромбоцитопенией, что и произошло в данном случае.

Концентрация вальпроевой кислоты у нашего пациента была намного выше терапевтического предела.

После подбора правильной дозы препарата уровень тромбоцитов нормализовался.

Коротко хочется сказать о тромбоцитопении при беременности.

При обнаружении тромбоцитопении у беременной женщины (речь идет о второй половине беременности) необходимо исключить два серьезных состояния – антифосфолипидный синдром и преэклампсию.

  • Помним, что есть еще гестационная тромбоцитопения – вариант нормы при беременности, не требующий лечения.

Не совсем очевидные выводы.

  1. Если Вы замечаете у себя появление кровоточивости, мелкоточечной сыпи, спонтанное (не вызванное травмой) появление синячков – нужно сдать общий анализ крови с подсчетом тромбоцитов по Фонио.
  2. Если уровень тромбоцитов ниже 30 тыс/мклнемедленно, в тот же день обратитесь к врачу! Скорее всего, потребуется срочная госпитализация
  3. Если тромбоцитопения не такая глубокая (40-120 тыс/мкл) и нет выраженных геморрагических проявлений, то обследование, скорее всего, можно будет проводить амбулаторно.

В большинстве случаев при первичном обращении по поводу тромбоцитопении стандартное обследование включает в себя:

  • подсчет по Фонио
  • основные биохимические маркеры (глюкоза, общий белок, билирубин общий + непрямой, АЛТ, АСТ, ЛДГ, ЩФ, креатинин, С-реактивный белок, а также витамин В12, фолиевую кислоту и ферритин)
  • основные показатели гемостаза (фибриноген, протромбин по Квику, ПВ, АЧТВ)
  • анализы на вирусные гепатиты и ВИЧ (HBS-Ag, анти-HCV, анти-HIV)
  • УЗИ брюшной полости с подсчетом площади селезенки
  • другие исследования - в зависимости от жалоб, анамнеза, результатов клинического осмотра и так далее

Напоследок

Вот так выглядит тромбоцит:

-3

А вот очень неполная и упрощенная схема работы этой крошки:

-4

Берегите себя!