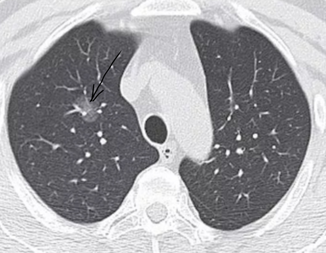
Во время прохождения диспансеризации в перечень обследований входит флюорография. К сожалению, часто она бывает малоинформативной, а лечить рак, выявленный с ее помощью, уже поздно. В снижении смертности от данного заболевания путем его раннего обнаружения. Рак лёгких является актуальной проблемой: он до сих пор остаётся одним из самых распространённых новообразований и входит в десятку причин смертности от онкологии. По мнению некоторых специалистов, к 2035 году смертность от рака лёгкого увеличится до 3 миллионов случаев в год. Это скрининговая процедура, во время которой доза Rg-излучения с помощью специальной программы составляет около 1 мЗв (для сравнения при флюорографии - около 0,5 мЗв, при цифровой - 0,3 мЗв). В данном случае протокол исследования немного изменен (уменьшена скорость вращения трубки), благодаря этому получаемая доза лучевой нагрузки снижена. Получается меньше аксиальных (поперечных) срезов, но информативность исследования не страдает. На флюорограмме рак на т
Преимущества низкодозной КТ перед обычной флюорографией
25 марта 202525 мар 2025
8
2 мин
