Найти в Дзене

Сегодня поговорим о "зубах мудрости" они же восьмерки и третьи моляры🦷

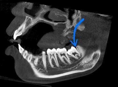
Зубы мудрости или 3 моляры обычно появляются в возрасте от 17 до 25 лет.

У большинства людей есть 4 зуба мудрости.

Однако у некоторых людей их может быть меньше.

✋🏻Классифицируются по нескольким критериям, включая их положение и состояние:

1. Полностью прорезавшиеся зубы мудрости.

Эти зубы полностью вышли из десны и могут выполнять свою жевательную функцию, если не вызывают проблем.

2. Частично прорезавшиеся зубы мудрости.

Эти зубы частично вышли из десны. Часто их положение создаёт условие для накопления бактерий, что может привести к инфекциям и воспалениям.

3. Ретенированные зубы мудрости.

Это зубы, которые не прорезались и остаются в кости. Они могут не вызывать проблем, но иногда требуют удаления, если создают давление на соседние зубы.

4. Дистопированные зубы мудрости.

Зубы могут расти под углом или в неправильном направлении, что может привести к смещению соседних зубов.

🖐🏻Каждый случай индивидуален, и состояние зубов мудрости следует обсуждать с врачом стоматологом, чтобы определить необходимость удаления или дальнейшего наблюдения.

Записывайтесь к Циленко Ольге Леонидовне по телефону +74957558820

• • • • • • • • • • • • • • •

г. Москва, Варшавское шоссе, д. 10 к. 1

• • • • • • • • • • • • • • •

https://mirdent.ru
*Имеются противопоказания, необходимо проконсультироваться со специалистом.