Найти в Дзене

Гингивит - есть риски!

Гингивит – это воспалительное заболевание десен, которое чаще всего возникает из-за скопления зубного налета и размножения болезнетворных бактерий. Оно является ранней стадией заболеваний пародонта и при отсутствии лечения может привести к более серьезному заболеванию – пародонтиту, который вызывает разрушение тканей, поддерживающих зубы. ✔️Покраснение и отечность десен ✔️Кровоточивость при чистке зубов или приеме пищи ✔️Неприятный запах изо рта ✔️Болезненность и чувствительность десен ✔️Образование налета и зубного камня 🔘Профессиональная чистка зубов у стоматолога (удаление налета и зубного камня) 🔘Улучшение гигиены полости рта – тщательная чистка зубов, использование зубной нити и антисептических ополаскивателей 🔘Применение противовоспалительных средств – гели, мази (например, «Холисал», «Метрогил Дента») 🔘Диета, богатая витаминами (особенно витамином C) 🔘Отказ от вредных привычек, таких как курение При своевременном лечении гингивит полностью обратим, но если его запустит
Оглавление

Гингивит
Гингивит

Гингивит – это воспалительное заболевание десен, которое чаще всего возникает из-за скопления зубного налета и размножения болезнетворных бактерий. Оно является ранней стадией заболеваний пародонта и при отсутствии лечения может привести к более серьезному заболеванию – пародонтиту, который вызывает разрушение тканей, поддерживающих зубы.

Причины гингивита

  • Недостаточная гигиена полости рта (неправильная чистка зубов, нерегулярное использование зубной нити)
-2

  • Образование зубного налета и зубного камня
  • Гормональные изменения (например, во время беременности или полового созревания)
  • Курение
  • Недостаток витаминов (особенно витамина C)
  • Ослабленный иммунитет
  • Хронические заболевания (диабет, авитаминоз и др.)

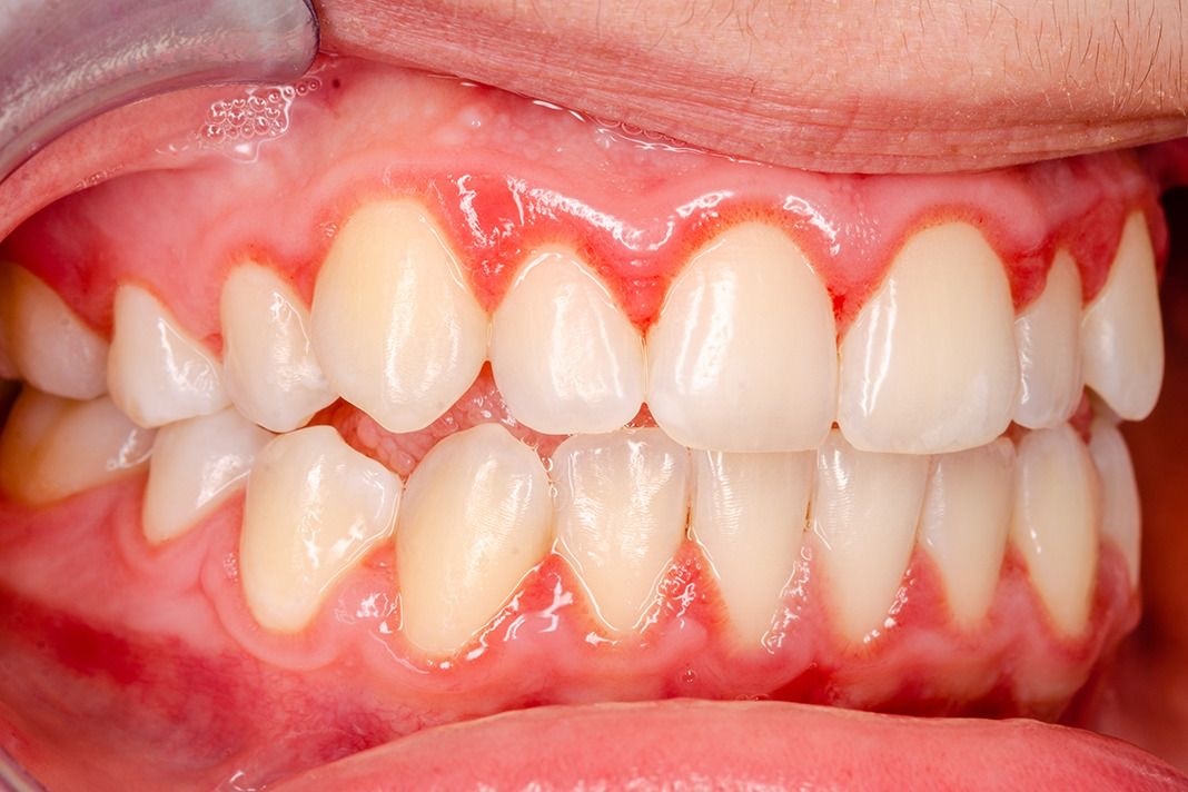
Симптомы гингивита

✔️Покраснение и отечность десен

✔️Кровоточивость при чистке зубов или приеме пищи

✔️Неприятный запах изо рта

✔️Болезненность и чувствительность десен

✔️Образование налета и зубного камня

Лечение гингивита

🔘Профессиональная чистка зубов у стоматолога (удаление налета и зубного камня)

До чистки и после
До чистки и после

🔘Улучшение гигиены полости рта – тщательная чистка зубов, использование зубной нити и антисептических ополаскивателей

🔘Применение противовоспалительных средств – гели, мази (например, «Холисал», «Метрогил Дента»)

🔘Диета, богатая витаминами (особенно витамином C)

🔘Отказ от вредных привычек, таких как курение

При своевременном лечении гингивит полностью обратим, но если его запустить, он может перерасти в пародонтит, что приведет к разрушению костной ткани и потере зубов.
-4