Добавить в корзинуПозвонить
Найти в Дзене
Radiology Hub

Разбор случая #21

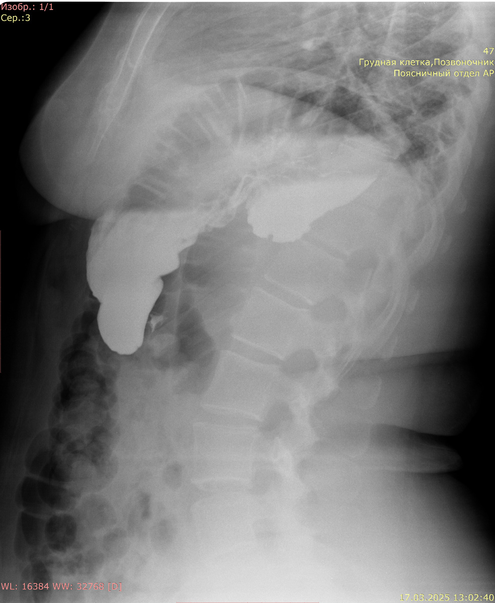
Рентгенография желудка с сульфатом Ва:
Кардиальный жом функционирует. Желудок не деформирован, объем обычный, смещаемость не нарушена. Контуры желудка ровные, отвесные, участков деформации не выявлено. Рельеф слизистой не изменен, складки не утолщены. Контраст своевременно поступает в ДПК. В положении лежа при натуживании определяется пролабирование кардиальных складок выше диафрагмы размерами 66 мм х 61 мм.
Заключение: Скользящая грыжа пищеводного отверстия диафрагмы 3-4 ст.
-2
-3
-4

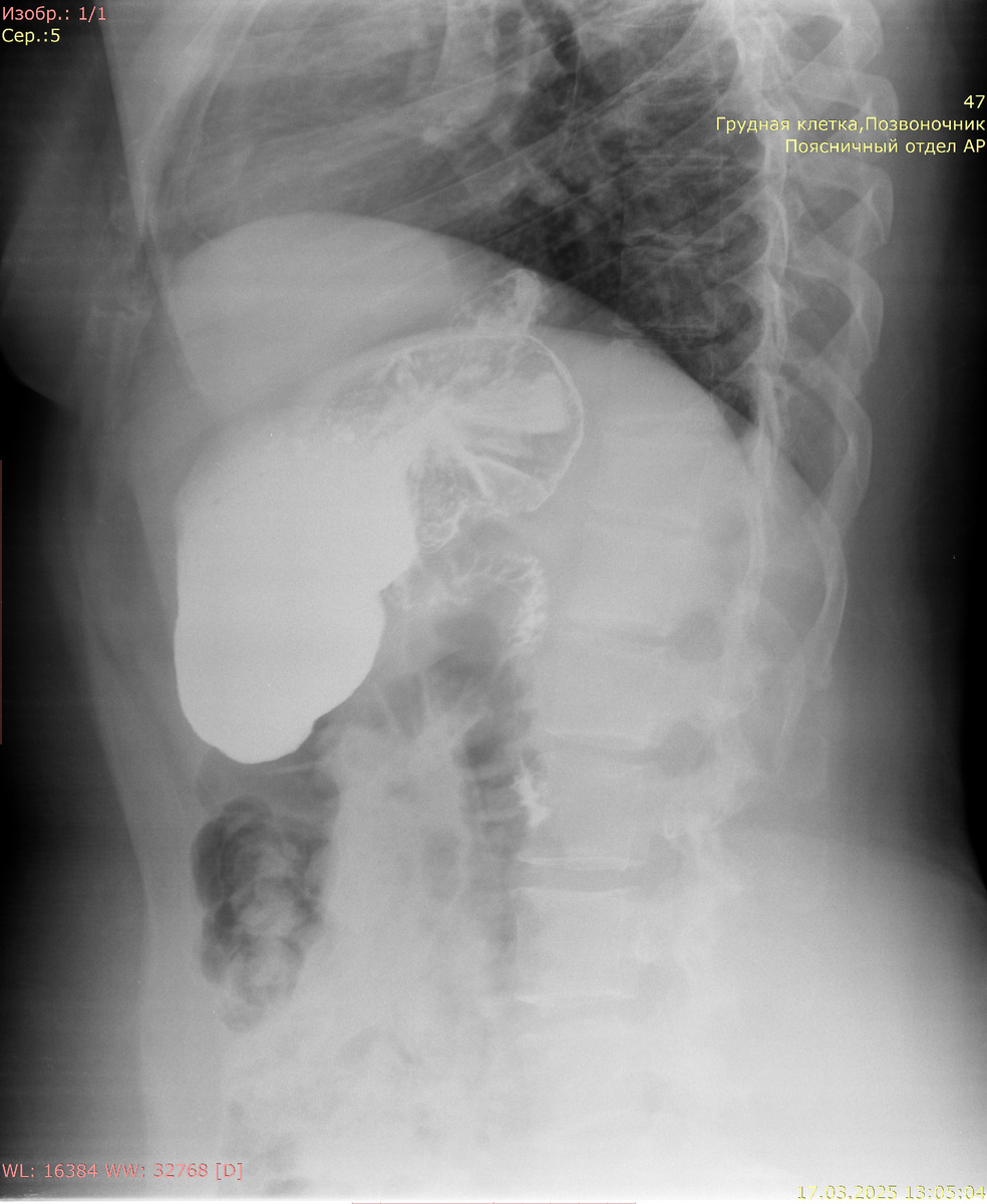
Рентгенография желудка с сульфатом Ва:

Кардиальный жом функционирует. Желудок не деформирован, объем обычный, смещаемость не нарушена. Контуры желудка ровные, отвесные, участков деформации не выявлено. Рельеф слизистой не изменен, складки не утолщены. Контраст своевременно поступает в ДПК. В положении лежа при натуживании определяется пролабирование кардиальных складок выше диафрагмы размерами 66 мм х 61 мм.

Заключение: Скользящая грыжа пищеводного отверстия диафрагмы 3-4 ст.