Добавить в корзинуПозвонить
Найти в Дзене

Клинический случай. Мелкие камни в желчном пузыре

Желчнокаменная болезнь является достаточно частой в клинике внутренних болезней. В 30-е годы английский ученый Дивер предложил для определения группы риска желчнокаменной болезни «правило пяти F»: female (женщина), fertile (имевшая беременность), forty (сорок лет), fat (полный), fair (блондинка). Конечно, с точки зрения современной гастроэнтерологии, эти положения можно принять с некоторой "натяжкой", поскольку камни обнаруживаются и в других категориях населения. Желчнокаменная болезнь опасна своими осложнениями в виде окклюзии желчных путей и развития воспаления, причем наиболее "опасными" можно считать мелкие камни, которые легко могут мигрировать из желчного пузыря в протоки, и спровоцировать приступ. Пациентка 55 лет обратилась для ультразвукового исследования по направлению хирурга для оценки состояния желчных путей. О наличии камней в желчном пузыре осведомлена. На момент исследования жалоб не предъявляет. При ультразвуковом исследовании в желчном пузыре определяются множественн
Изображение из свободного доступа
Изображение из свободного доступа

Желчнокаменная болезнь является достаточно частой в клинике внутренних болезней.

В 30-е годы английский ученый Дивер предложил для определения группы риска желчнокаменной болезни «правило пяти F»: female (женщина), fertile (имевшая беременность), forty (сорок лет), fat (полный), fair (блондинка). Конечно, с точки зрения современной гастроэнтерологии, эти положения можно принять с некоторой "натяжкой", поскольку камни обнаруживаются и в других категориях населения.

Желчнокаменная болезнь опасна своими осложнениями в виде окклюзии желчных путей и развития воспаления, причем наиболее "опасными" можно считать мелкие камни, которые легко могут мигрировать из желчного пузыря в протоки, и спровоцировать приступ.

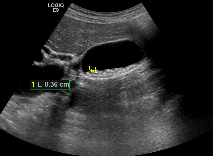
Пациентка 55 лет обратилась для ультразвукового исследования по направлению хирурга для оценки состояния желчных путей. О наличии камней в желчном пузыре осведомлена. На момент исследования жалоб не предъявляет.

При ультразвуковом исследовании в желчном пузыре определяются множественные конкременты (несколько десятков), размер которых не превышает 4 мм.

-2

Рис. 01. Мелкие камни в желчном пузыре.

Видео 02. Множественные мелкие камни в желчном пузыре.

Размер камней не превышает 4 мм, дистальные акустические тени очень бледные. При попытке исследования в режиме ЦДК отмечаются единичные участки "мерцающего" артефакта.

При выявлении мелких образований довольно часто оказывается информативным и "показательным" досмотр линейным высокочастотным датчиком.

-3

Рис. 03. Досмотр желчного пузыря линейным датчиком. Отчетливо видны мелкие камни с дистальными акустическими тенями.

Видео 04. Множественные мелкие камни в желчном пузыре при исследовании линейным высокочастотным датчиком. Необычный "слоистый" вид камней обусловлен явлением реверберации.