Π”ΠΎΠ±Π°Π²ΠΈΡ‚ΡŒ Π² ΠΊΠΎΡ€Π·ΠΈΠ½ΡƒΠŸΠΎΠ·Π²ΠΎΠ½ΠΈΡ‚ΡŒ
Найти Π² Π”Π·Π΅Π½Π΅

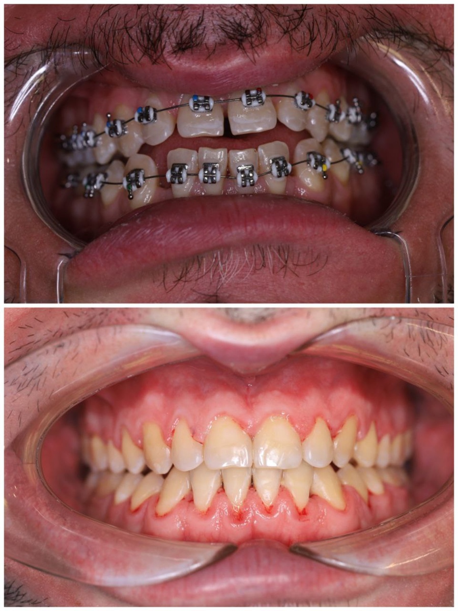
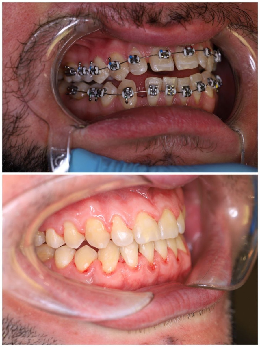
πŸ’Ž КСйс: исправлСниС прикуса ΠΈ Π·Π°ΠΊΡ€Ρ‹Ρ‚ΠΈΠ΅ ΠΏΡ€ΠΎΠΌΠ΅ΠΆΡƒΡ‚ΠΊΠΎΠ² Π·Π° 10 мСсяцСв

πŸ§” ΠŸΠ°Ρ†ΠΈΠ΅Π½Ρ‚: ΠΏΡ€ΠΈΡˆΡ‘Π» с запросом Π½Π° Π·Π°ΠΊΡ€Ρ‹Ρ‚ΠΈΠ΅ ΠΏΡ€ΠΎΠΌΠ΅ΠΆΡƒΡ‚ΠΊΠΎΠ² ΠΌΠ΅ΠΆΠ΄Ρƒ Π·ΡƒΠ±Π°ΠΌΠΈ, созданиС Ρ€ΠΎΠ²Π½ΠΎΠΉ ΠΈ эстСтичной ΡƒΠ»Ρ‹Π±ΠΊΠΈ. πŸ€·β€β™‚οΈΠžΠ΄Π½Π°ΠΊΠΎ Π²ΠΎ врСмя лСчСния Π½Π΅ всСгда соблюдал Ρ€Π΅ΠΊΠΎΠΌΠ΅Π½Π΄Π°Ρ†ΠΈΠΈ – эластики носил нСрСгулярно, Ρ‚ΠΎΠ»ΡŒΠΊΠΎ ΠΊΠΎΠ³Π΄Π° Π½Π°ΠΏΠΎΠΌΠΈΠ½Π°Π»ΠΈ. βœ… ΠŸΡ€ΠΈΠΊΡƒΡ ΠΏΡ€Π°Π²ΠΈΠ»ΡŒΠ½Ρ‹ΠΉ, смыканиС Π·ΡƒΠ±ΠΎΠ² восстановлСно βœ… ЭстСтика ΡƒΠ»Ρ‹Π±ΠΊΠΈ Π·Π½Π°Ρ‡ΠΈΡ‚Π΅Π»ΡŒΠ½ΠΎ ΡƒΠ»ΡƒΡ‡ΡˆΠΈΠ»Π°ΡΡŒ βœ… ΠŸΠ°Ρ†ΠΈΠ΅Π½Ρ‚ Π΄ΠΎΠ²ΠΎΠ»Π΅Π½ Ρ€Π΅Π·ΡƒΠ»ΡŒΡ‚Π°Ρ‚ΠΎΠΌ ΠΈ отправляСтся ΠΊ ΠΏΠ°Ρ€ΠΎΠ΄ΠΎΠ½Ρ‚ΠΎΠ»ΠΎΠ³Ρƒ для лСчСния воспалСния дёсСн БСзотвСтствСнноС ΠΎΡ‚Π½ΠΎΡˆΠ΅Π½ΠΈΠ΅ ΠΊ Π»Π΅Ρ‡Π΅Π½ΠΈΡŽ замСдляСт процСсс ΠΈ ΠΌΠΎΠΆΠ΅Ρ‚ ΠΏΠΎΠ²Π»ΠΈΡΡ‚ΡŒ Π½Π° Ρ„ΠΈΠ½Π°Π»ΡŒΠ½Ρ‹ΠΉ Ρ€Π΅Π·ΡƒΠ»ΡŒΡ‚Π°Ρ‚. Π’Π΅ΠΌ Π½Π΅ ΠΌΠ΅Π½Π΅Π΅, Π·Π° 10 мСсяцСв ΡƒΠ΄Π°Π»ΠΎΡΡŒ Π²ΠΎΡΡΡ‚Π°Π½ΠΎΠ²ΠΈΡ‚ΡŒ Ρ„ΡƒΠ½ΠΊΡ†ΠΈΡŽ Π·ΡƒΠ±ΠΎΠ² ΠΈ Π΄ΠΎΡΡ‚ΠΈΡ‡ΡŒ максимального Π²ΠΎΠ·ΠΌΠΎΠΆΠ½ΠΎΠ³ΠΎ Ρ€Π΅Π·ΡƒΠ»ΡŒΡ‚Π°Ρ‚Π° Π±Π΅Π· ΠΏΠΎΠ»Π½ΠΎΠ³ΠΎ сотрудничСства ΠΏΠ°Ρ†ΠΈΠ΅Π½Ρ‚Π°. πŸ“Έ Π”ΠΎ ΠΈ послС – Ρ€Π°Π·Π½ΠΈΡ†Π° Π·Π°ΠΌΠ΅Ρ‚Π½Π°! πŸ“© Π—Π°ΠΏΠΈΡΡ‹Π²Π°ΠΉΡ‚Π΅ΡΡŒ Π½Π° ΠΊΠΎΠ½ΡΡƒΠ»ΡŒΡ‚Π°Ρ†ΠΈΡŽ ΠΈ ΠΏΡ€ΠΎΡ…ΠΎΠ΄ΠΈΡ‚Π΅ Π»Π΅Ρ‡Π΅Π½ΠΈΠ΅ ΠΏΡ€Π°Π²ΠΈΠ»ΡŒΠ½ΠΎ! πŸ‘ͺ Π‘ любовью ΠΈ Π·Π°Π±ΠΎΡ‚ΠΎΠΉ ΠΎ вас ΠΈ Π²Π°ΡˆΠΈΡ… дСтях, ваш Π»ΡŽΠ±ΠΈΠΌΡ‹ΠΉ ΠΎΡ€Ρ‚ΠΎΠ΄ΠΎΠ½Ρ‚ ΠΈ Π³Π»Π°Π²Π½Ρ‹ΠΉ Π²Ρ€Π°Ρ‡ ΠΊΠ»ΠΈΠ½ΠΈΠΊΠΈ Π‘Π˜Π›Πš-Π‘ΠœΠΠ™Π›, Π•Π»Π΅Π½Π° ЛСщук❣️ #силксмаил #совСтотСлСнылСщук #совСтотсилксмаил #Π΅Π»Π΅Π½Π°Π»Π΅Ρ‰ΡƒΠΊ #силксмаилрСкомСндуСт
ОглавлСниС

πŸ§” ΠŸΠ°Ρ†ΠΈΠ΅Π½Ρ‚: ΠΏΡ€ΠΈΡˆΡ‘Π» с запросом Π½Π° Π·Π°ΠΊΡ€Ρ‹Ρ‚ΠΈΠ΅ ΠΏΡ€ΠΎΠΌΠ΅ΠΆΡƒΡ‚ΠΊΠΎΠ² ΠΌΠ΅ΠΆΠ΄Ρƒ Π·ΡƒΠ±Π°ΠΌΠΈ, созданиС Ρ€ΠΎΠ²Π½ΠΎΠΉ ΠΈ эстСтичной ΡƒΠ»Ρ‹Π±ΠΊΠΈ. πŸ€·β€β™‚οΈΠžΠ΄Π½Π°ΠΊΠΎ Π²ΠΎ врСмя лСчСния Π½Π΅ всСгда соблюдал Ρ€Π΅ΠΊΠΎΠΌΠ΅Π½Π΄Π°Ρ†ΠΈΠΈ – эластики носил нСрСгулярно, Ρ‚ΠΎΠ»ΡŒΠΊΠΎ ΠΊΠΎΠ³Π΄Π° Π½Π°ΠΏΠΎΠΌΠΈΠ½Π°Π»ΠΈ.

πŸ” ΠŸΡ€ΠΎΡ†Π΅ΡΡ лСчСния (10 мСсяцСв):

  • πŸ”Ή УстановлСны Π±Ρ€Π΅ΠΊΠ΅Ρ‚Ρ‹ для ΠΊΠΎΡ€Ρ€Π΅ΠΊΡ†ΠΈΠΈ прикуса ΠΈ закрытия ΠΏΡ€ΠΎΠΌΠ΅ΠΆΡƒΡ‚ΠΊΠΎΠ²
  • πŸ”Ή Из-Π·Π° нСсоблюдСния Ρ€Π΅ΠΆΠΈΠΌΠ° ношСния эластиков Π½Π΅ Π΄ΠΎ ΠΊΠΎΠ½Ρ†Π° закрылся ΠΎΠ΄ΠΈΠ½ ΠΏΡ€ΠΎΠΌΠ΅ΠΆΡƒΡ‚ΠΎΠΊ Π² Π±ΠΎΠΊΠΎΠ²ΠΎΠΌ ΠΎΡ‚Π΄Π΅Π»Π΅
  • πŸ”Ή На Ρ„ΠΈΠ½Π°Π»ΡŒΠ½ΠΎΠΌ этапС ΠΏΠ°Ρ†ΠΈΠ΅Π½Ρ‚ отказался дальшС Π½ΠΎΡΠΈΡ‚ΡŒ Π±Ρ€Π΅ΠΊΠ΅Ρ‚Ρ‹, Ρ‚Π°ΠΊ ΠΊΠ°ΠΊ Π΅Π³ΠΎ устроил ΠΏΠΎΠ»ΡƒΡ‡Π΅Π½Π½Ρ‹ΠΉ Ρ€Π΅Π·ΡƒΠ»ΡŒΡ‚Π°Ρ‚

✨ Π Π΅Π·ΡƒΠ»ΡŒΡ‚Π°Ρ‚:

βœ… ΠŸΡ€ΠΈΠΊΡƒΡ ΠΏΡ€Π°Π²ΠΈΠ»ΡŒΠ½Ρ‹ΠΉ, смыканиС Π·ΡƒΠ±ΠΎΠ² восстановлСно

βœ… ЭстСтика ΡƒΠ»Ρ‹Π±ΠΊΠΈ Π·Π½Π°Ρ‡ΠΈΡ‚Π΅Π»ΡŒΠ½ΠΎ ΡƒΠ»ΡƒΡ‡ΡˆΠΈΠ»Π°ΡΡŒ

βœ… ΠŸΠ°Ρ†ΠΈΠ΅Π½Ρ‚ Π΄ΠΎΠ²ΠΎΠ»Π΅Π½ Ρ€Π΅Π·ΡƒΠ»ΡŒΡ‚Π°Ρ‚ΠΎΠΌ ΠΈ отправляСтся ΠΊ ΠΏΠ°Ρ€ΠΎΠ΄ΠΎΠ½Ρ‚ΠΎΠ»ΠΎΠ³Ρƒ для лСчСния воспалСния дёсСн

⚠️ Π’Ρ‹Π²ΠΎΠ΄:

БСзотвСтствСнноС ΠΎΡ‚Π½ΠΎΡˆΠ΅Π½ΠΈΠ΅ ΠΊ Π»Π΅Ρ‡Π΅Π½ΠΈΡŽ замСдляСт процСсс ΠΈ ΠΌΠΎΠΆΠ΅Ρ‚ ΠΏΠΎΠ²Π»ΠΈΡΡ‚ΡŒ Π½Π° Ρ„ΠΈΠ½Π°Π»ΡŒΠ½Ρ‹ΠΉ Ρ€Π΅Π·ΡƒΠ»ΡŒΡ‚Π°Ρ‚. Π’Π΅ΠΌ Π½Π΅ ΠΌΠ΅Π½Π΅Π΅, Π·Π° 10 мСсяцСв ΡƒΠ΄Π°Π»ΠΎΡΡŒ Π²ΠΎΡΡΡ‚Π°Π½ΠΎΠ²ΠΈΡ‚ΡŒ Ρ„ΡƒΠ½ΠΊΡ†ΠΈΡŽ Π·ΡƒΠ±ΠΎΠ² ΠΈ Π΄ΠΎΡΡ‚ΠΈΡ‡ΡŒ максимального Π²ΠΎΠ·ΠΌΠΎΠΆΠ½ΠΎΠ³ΠΎ Ρ€Π΅Π·ΡƒΠ»ΡŒΡ‚Π°Ρ‚Π° Π±Π΅Π· ΠΏΠΎΠ»Π½ΠΎΠ³ΠΎ сотрудничСства ΠΏΠ°Ρ†ΠΈΠ΅Π½Ρ‚Π°.

πŸ“Έ Π”ΠΎ ΠΈ послС – Ρ€Π°Π·Π½ΠΈΡ†Π° Π·Π°ΠΌΠ΅Ρ‚Π½Π°!

πŸ“© Π—Π°ΠΏΠΈΡΡ‹Π²Π°ΠΉΡ‚Π΅ΡΡŒ Π½Π° ΠΊΠΎΠ½ΡΡƒΠ»ΡŒΡ‚Π°Ρ†ΠΈΡŽ ΠΈ ΠΏΡ€ΠΎΡ…ΠΎΠ΄ΠΈΡ‚Π΅ Π»Π΅Ρ‡Π΅Π½ΠΈΠ΅ ΠΏΡ€Π°Π²ΠΈΠ»ΡŒΠ½ΠΎ!

  • ☎️ 8 (495) 134-50-90
  • πŸ“ž 8 (916) 000-85-53

πŸ‘ͺ Π‘ любовью ΠΈ Π·Π°Π±ΠΎΡ‚ΠΎΠΉ ΠΎ вас ΠΈ Π²Π°ΡˆΠΈΡ… дСтях, ваш Π»ΡŽΠ±ΠΈΠΌΡ‹ΠΉ ΠΎΡ€Ρ‚ΠΎΠ΄ΠΎΠ½Ρ‚ ΠΈ Π³Π»Π°Π²Π½Ρ‹ΠΉ Π²Ρ€Π°Ρ‡ ΠΊΠ»ΠΈΠ½ΠΈΠΊΠΈ Π‘Π˜Π›Πš-Π‘ΠœΠΠ™Π›, Π•Π»Π΅Π½Π° ЛСщук❣️

#силксмаил #совСтотСлСнылСщук #совСтотсилксмаил #Π΅Π»Π΅Π½Π°Π»Π΅Ρ‰ΡƒΠΊ #силксмаилрСкомСндуСт