Найти в Дзене
Прайм-Стоматология

Подходят ли Вам виниры? Узнайте в этой статье!

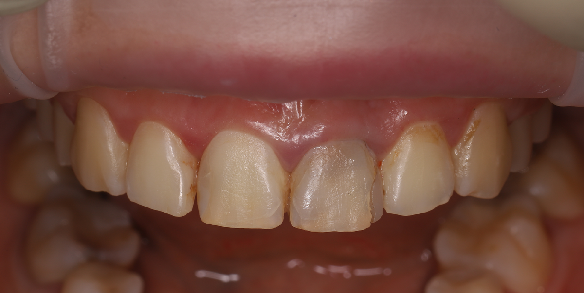
Современная стоматология быстро развивается, и одним из популярных трендов последних лет стали керамические виниры. Они помогают обрести не только красивую, но и естественную улыбку на долгие годы. Но как понять, что виниры подходят именно Вам? Давайте разберёмся!😉 Читайте в этой статье, как выглядят керамические реставрации. Итак, виниры Вам точно подходят, если у вас есть следующие эстетические недостатки зубов: ✔ сколы, трещины, неровности и другие внешние изменения, которые портят эстетику, ✔ небольшое искривление зубов, которое не требует лечения у ортодонта, ✔ тёмный оттенок эмали или наличие пятен на ней (например, флюороз - некариозное поражение зубов, возникающее из-за избыточного поступления фтора в организм), ✔ широкие промежутки между зубами (диастемы), ✔ возрастное истончение и стираемость эмали, ✔ непропорциональный размер резцов, который не удаётся исправить брекетами, ✔ повышенная чувствительность из-за излишне тонкой эмали, ✔ неровная форма или недостаточная высота

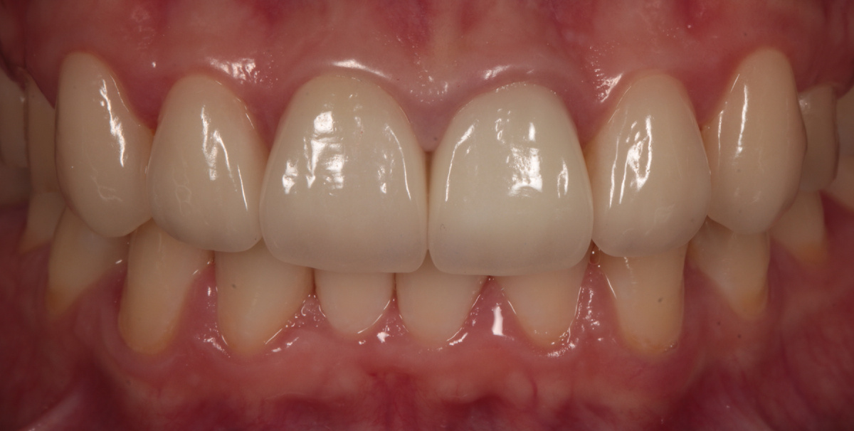
Современная стоматология быстро развивается, и одним из популярных трендов последних лет стали керамические виниры. Они помогают обрести не только красивую, но и естественную улыбку на долгие годы.

Но как понять, что виниры подходят именно Вам? Давайте разберёмся!😉

Читайте в этой статье, как выглядят керамические реставрации.

Доктора ПРАЙМа всегда стараются создать максимально естественные улыбки.
Доктора ПРАЙМа всегда стараются создать максимально естественные улыбки.

Итак, виниры Вам точно подходят, если у вас есть следующие эстетические недостатки зубов:

✔ сколы, трещины, неровности и другие внешние изменения, которые портят эстетику,

✔ небольшое искривление зубов, которое не требует лечения у ортодонта,

✔ тёмный оттенок эмали или наличие пятен на ней (например, флюороз - некариозное поражение зубов, возникающее из-за избыточного поступления фтора в организм),

✔ широкие промежутки между зубами (диастемы),

✔ возрастное истончение и стираемость эмали,

✔ непропорциональный размер резцов, который не удаётся исправить брекетами,

✔ повышенная чувствительность из-за излишне тонкой эмали,

✔ неровная форма или недостаточная высота зубов.

Нашли у себя один из этих эстетических недостатков, который Вы хотели бы исправить?

С радостью поможем Вам создать естественную и красивую улыбку!

Записаться на консультацию по установке виниров в ПРАЙМ можно по номеру (4912)292-000.

________________________________

Наши клиники в г. Рязань:

· Есенина, 110

· Советской армии, 9

· Бирюзова, 28а

· Интернациональная, 23

· Полетаева, 34 (клиника корпоративного университета)

https://www.prime-med.ru/