Найти в Дзене

Что делать, если на МРТ головного мозга выявили глиоз?

Глиоз на МРТ: что это значит, как часто встречается и насколько опасен? Стоит сказать, что многие пациенты бывают не на шутку напуганы, когда видят своё заключение МРТ. В редких случаях там можно прочитать "патологии не выявлено". Чаще встречаются фразы о единичных или множественных очагах глиоза, микроангиопатии, умеренной или незначительно выраженной наружной заместительной гидроцефалии. Звучит довольно неприятно. Давайте разберёмся, во всех ли случаях стоит волноваться. Что такое глиоз? Глиоз — это защитная реакция мозга на повреждение, при котором погибшие нейроны заменяются глиальными клетками. Эти клетки выполняют вспомогательные функции, поддерживая структуру нервной ткани, но не способны передавать электрические сигналы. Однако значение глиоза зависит от причины, локализации и масштаба изменений.  Глиоз возникает как ответ на повреждение мозга различного происхождения: Инсульты (ишемический или геморрагический). Травмы (ушибы головного мозга; кстати, вопреки расхожем

Глиоз на МРТ: что это значит, как часто встречается и насколько опасен?

Стоит сказать, что многие пациенты бывают не на шутку напуганы, когда видят своё заключение МРТ.

В редких случаях там можно прочитать "патологии не выявлено".

Чаще встречаются фразы о единичных или множественных очагах глиоза, микроангиопатии, умеренной или незначительно выраженной наружной заместительной гидроцефалии.

Звучит довольно неприятно. Давайте разберёмся, во всех ли случаях стоит волноваться.

Что такое глиоз?

Глиоз — это защитная реакция мозга на повреждение, при котором погибшие нейроны заменяются глиальными клетками. Эти клетки выполняют вспомогательные функции, поддерживая структуру нервной ткани, но не способны передавать электрические сигналы. Однако значение глиоза зависит от причины, локализации и масштаба изменений. 

Глиоз возникает как ответ на повреждение мозга различного происхождения:

Инсульты (ишемический или геморрагический).
Травмы (ушибы головного мозга; кстати, вопреки расхожему мнению, ушиб мозга по степени вреда тяжелее, чем сотрясение).
Инфекции (энцефалит, менингит в случаях развития васкулита).
Хронические заболевания: например, рассеянный склероз, 
Гипоксия (кислородное голодание).
Токсические поражения (алкоголь, наркотические вещества)

Глиальные клетки формируют рубцовую ткань, изолируя поврежденную зону, но иногда процесс становится избыточным, нарушая работу здоровых нейронов.

Как глиоз видят на МРТ?

На магнитно-резонансной томографии глиоз о обнаруживается на T2-взвешенных и FLAIR-изображениях: гиперинтенсивные (белые) участки из-за повышенного содержания воды в зоне рубца.

T1-взвешенных изображениях: обычно изоинтенсивные (серые) или гипоинтенсивные (темные).

-2

Очаги чаще локализуются в белом веществе, реже — в сером.

Они могут быть различной формы и размера: от мелких точек до обширных областей.

В тексте заключения можно увидеть подобные формулировки

-3

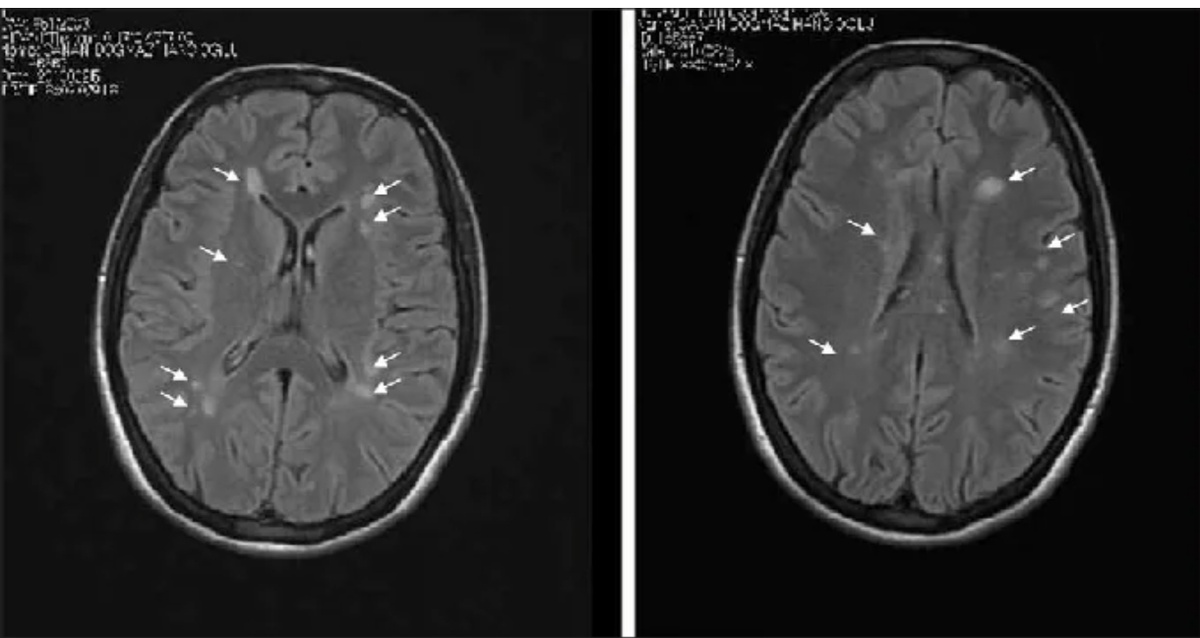
Примеры из практики:

У мужчины 65 лет после перенесённых инсультов видны очаги нарушенного кровообращения. Позднее они трансформируются в кистозно-глиозные изменения.

Множественные очаги глиоза свидетельствуют о ранее перенесённых нарушениях мозгового кровообращения, но меньшего масштаба.

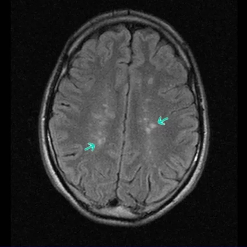
-4

А здесь представлены результаты томограммы пациентки с лёгкими когнитивными нарушениями- жалуется на снижение памяти и забывчивость.

-5

У пациентов, прошедших МРТ, глиоз обнаруживается довольно часто, а распространенность зависит от причины.

У пожилых: до 50–70% после 60 лет из-за так называемых «микроинсультов» и возрастных изменений.

После инсульта: глиоз формируется у 95% пациентов в зоне некроза.

При рассеянном склерозе: очаги обнаруживаются у 100% больных.

У детей: реже, обычно вследствие травм или врожденных патологий (например, фенилкетонурии).

Глиоз — не самостоятельный диагноз, а маркер перенесенного или текущего заболевания.

Так все-таки опасен ли глиоз?

Сам по себе глиоз не угрожает жизни, но его последствия зависят от причинной патологии, количества, размеров и локализации очагов.

Чаще встречается бессимптомное течение: единичные мелкие очаги могут не влиять на функции головного мозга.

Когнитивные нарушения: обширные поражения в лобных долях ухудшают память, внимание.

Эпилепсия: рубцовая ткань иногда становится очагом судорожной активности.

Двигательные расстройства: например, при глиозе в двигательной коре после инсульта.

Например, у одного из пациентов мужчины 55 лет глиоз в височной доле возник после травмы. Развилась височная эпилепсия, но приступы успешно контролируются препаратами.

Мифы и факты о глиозе

Миф 1: «Глиоз — это рак».

Факт: Глиоз не имеет отношения к опухолям. Это доброкачественный процесс.

Миф 2: «Глиоз всегда приводит к слабоумию».

Факт: Только множественные очаги в критических зонах могут повлиять на когнитивные функции.

Миф 3: «Глиоз можно вылечить».

Факт: Рубцовая ткань не исчезает, но терапия основного заболевания останавливает прогрессирование.

Глиоз на МРТ — это «шрам» мозга, указывающий на прошлые или текущие повреждения. Его опасность зависит от причины и масштаба. Например, единичный очаг после легкой травмы не требует лечения, тогда как множественные изменения при рассеянном склерозе нуждаются в постоянном контроле. Ключевая задача — не паниковать, а совместно с неврологом выявить и устранить факторы, провоцирующие гибель нейронов. Современная медицина предлагает методы, позволяющие замедлить или остановить процесс, сохранив качество жизни.

Важно! Прогноз определяется основным заболеванием:

При успешном лечении рассеянного склероза новые очаги не образуются, а контроль давления и холестерина снижает риск прогрессирования сосудистого глиоза.

По ссылке ниже статьи по МРТ головного мозга и УЗИ сосудов шеи. В каких случаях проходить исследование, как интерпретировать полученные данные ⬇️

Другие статьи по неврологии ⬇️

Невролог Воронцов Евгений Геннадьевич #5017384194 | Дзен

Мой канал в телеграм, где вы можете узнавать о выходе новых статей

Невролог Воронцов Евгений Геннадьевич